×
Pour une meilleure utilisation, nous vous conseillons d’activer Javascript dans votre navigateur.
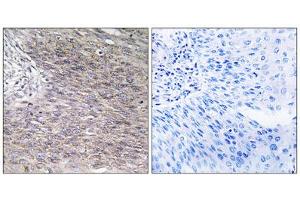
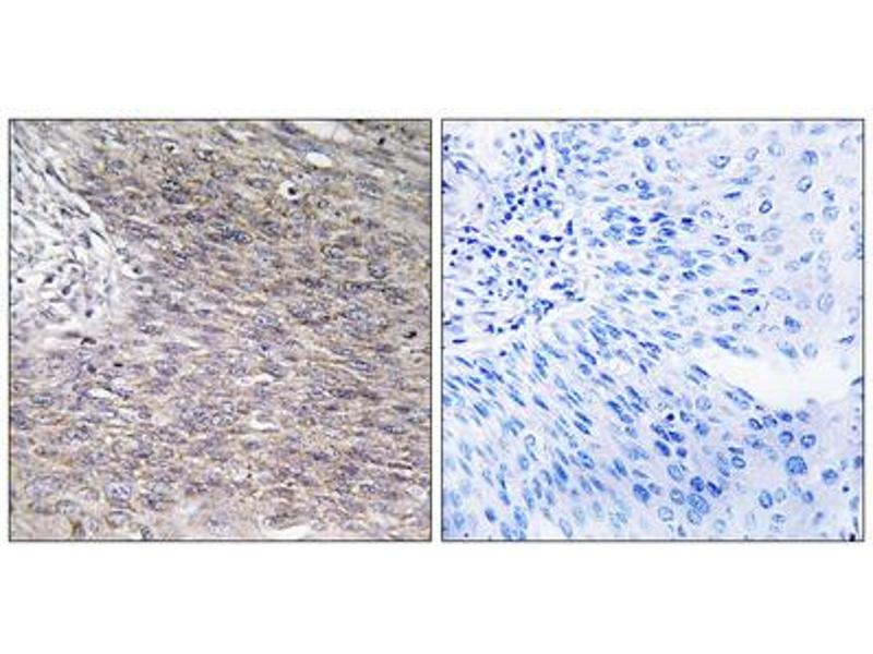
CHPF anticorps (C-Term)
Cet anticorps anti-CHPF Polyclonal Lapin (ABIN1851108) détecte spécifiquement CHPF dans WB, IHC, ELISA et IF/ICC.
L’anticorps est réactif avec des échantillons de Humain, Souris et Rat.
N° du produit ABIN1851108
453,66 €
Plus frais de livraison 40,00 € et TVA
1 mL ABIN5977530
100 μL ABIN1851108
200 μL ABIN1851109
300 μL ABIN6300431
1 mL ABIN5977530
100 μL ABIN1851108
200 μL ABIN1851109
300 μL ABIN6300431
Envoi sous 7 à 13 jours ouvrables
Aperçu rapide pour CHPF anticorps (C-Term) (ABIN1851108)
Antigène
Voir toutes CHPF Anticorps
CHPF
(Chondroitin Polymerizing Factor (CHPF))
Reactivité
Toutes les réactivités sur CHPF Anticorps
Humain, Souris, Rat
Hôte
Toutes les hôtes sur CHPF Anticorps
Lapin
Clonalité
Toutes les clonalités sur CHPF Anticorps
Polyclonal
Conjugué
Tous les conjugués à travers CHPF Anticorps
Cet anticorp CHPF est non-conjugé
Application
Tous les applications à travers CHPF Anticorps.
Western Blotting (WB), Immunohistochemistry (IHC), ELISA, Immunofluorescence (fixed cells) (IF/ICC)
Chat with us , powered by LiveChat