×
Pour une meilleure utilisation, nous vous conseillons d’activer Javascript dans votre navigateur.
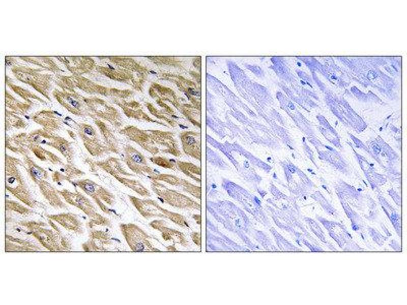
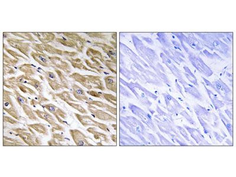
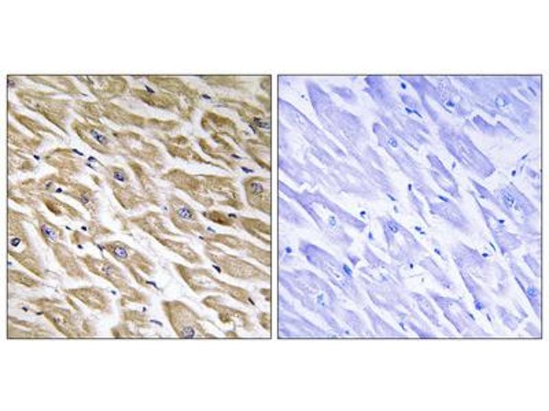
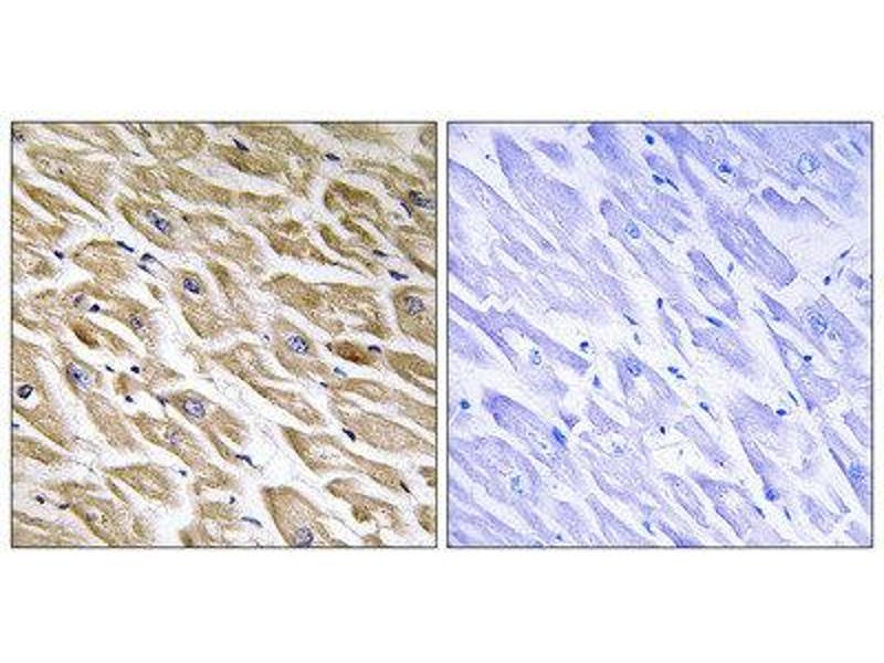
MRPL39 anticorps (C-Term)
Cet anticorps anti-MRPL39 Polyclonal Lapin (ABIN1851576) détecte spécifiquement MRPL39 dans WB, IHC et ELISA.
L’anticorps est réactif avec des échantillons de Humain.
N° du produit ABIN1851576
453,66 €
Plus frais de livraison 40,00 € et TVA
1 mL ABIN5977734
100 μL ABIN1851576
200 μL ABIN1851577
300 μL ABIN6300635
1 mL ABIN5977734
100 μL ABIN1851576
200 μL ABIN1851577
300 μL ABIN6300635
Envoi sous 7 à 13 jours ouvrables
Aperçu rapide pour MRPL39 anticorps (C-Term) (ABIN1851576)
Antigène
Voir toutes MRPL39 Anticorps
MRPL39
(Mitochondrial Ribosomal Protein L39 (MRPL39))
Reactivité
Toutes les réactivités sur MRPL39 Anticorps
Humain
Hôte
Toutes les hôtes sur MRPL39 Anticorps
Lapin
Clonalité
Toutes les clonalités sur MRPL39 Anticorps
Polyclonal
Conjugué
Tous les conjugués à travers MRPL39 Anticorps
Cet anticorp MRPL39 est non-conjugé
Application
Tous les applications à travers MRPL39 Anticorps.
Western Blotting (WB), Immunohistochemistry (IHC), ELISA
Détail du produit anti-MRPL39 anticorps
(cache)
Épitope
Tous les épitopes à travers MRPL39 Anticorps.
C-Term
Specificité
Rabbit polyclonal antibody against MRPL39 protein.
Purification
The antibody was affinity-purified from rabbit antiserum by affinity-chromatography using epitope-specific immunogen
Immunogène
The antiserum was produced against synthesized peptide derived from C-terminal of human MRPL39.
Alternatives
(show)
Information d'application
(cache)
Restrictions
For Research Use only
Stockage
(cache)
Stock
-20 °C
Stockage commentaire
Aliquot and store at -20 °C. Avoid repeated freeze/thaw cycles.
Détails sur MRPL39
(cache)
Antigène
MRPL39
(Mitochondrial Ribosomal Protein L39 (MRPL39))
Autre désignation
MRPL39
UniProt
Q9NYK5
Vus récemment
(cache)
Chat with us , powered by LiveChat