RGS18 anticorps (C-Term)
Aperçu rapide pour RGS18 anticorps (C-Term) (ABIN185237)
Antigène
Voir toutes RGS18 AnticorpsReactivité
Hôte
Clonalité
Conjugué
Application
Classe de qualité
-
-
Épitope
- C-Term
-
Fonction
- RGS18
-
Séquence
- CNEFQDVQSD VAIWL
-
Réactivité croisée
- Humain
-
Purification
- Purified from goat serum by ammonium sulphate precipitation followed by antigen affinity chromatography using the immunizing peptide.
-
Immunogène
- Peptide with sequence CNEFQDVQSDVAIWL, from the C Terminus of the protein sequence according to NP_570138.1.
-
Isotype
- IgG
-
-
-
-
Indications d'application
-
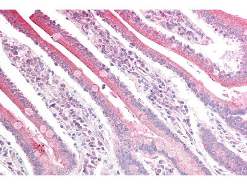
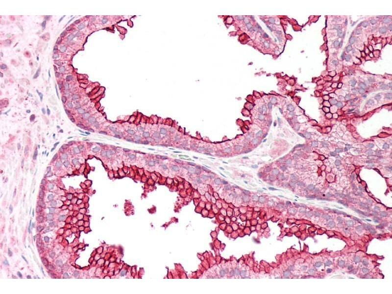
Immunohistochemistry: Paraffin embedded Human Prostate and Small Intestine. Recommended concentration: 5 μg/mL.
Western Blot: Approx 28 kDa band observed in Human Peripheral Blood Mononucleocytes (lymphocytes) lysates (calculated MW of 27.6 kDa according to NP_570138.1). Recommended concentration: 1-3 μg/mL. Primary incubation was 1 hour.
Peptide ELISA: antibody detection limit dilution 1:16000.
-
Restrictions
- For Research Use only
-
-
-
Format
- Liquid
-
Concentration
- 0.5 mg/mL
-
Buffer
- Supplied at 0.5 mg/mL in Tris saline, 0.02 % sodium azide, pH 7.3 with 0.5 % bovine serum albumin.
-
Agent conservateur
- Sodium azide
-
Précaution d'utilisation
- This product contains Sodium azide: a POISONOUS AND HAZARDOUS SUBSTANCE which should be handled by trained staff only.
-
Conseil sur la manipulation
- Minimize freezing and thawing.
-
Stock
- -20 °C
-
Stockage commentaire
- Aliquot and store at -20°C, with minimal freeze/thawing. A working aliquot may be refrigerated at 4°C for a few weeks and still remain viable.
-
-
- RGS18 (Regulator of G-Protein Signalling 18 (RGS18))
-
Autre désignation
- RGS18
-
Sujet
- RGS18, RGS13, regulator of G-protein signalling 18, regulator of G-protein signaling 13, RP11-142L4.1, regulator of G-protein signalling 13
-
ID gène
- 64407
-
NCBI Accession
- NP_570138
-
Pathways
- Myometrial Relaxation and Contraction, Regulation of G-Protein Coupled Receptor Protein Signaling
Antigène
-