Tel:
+49 (0)241 95 163 153
Fax:
+49 (0)241 95 163 155
E-Mail:
orders@anticorps-enligne.fr

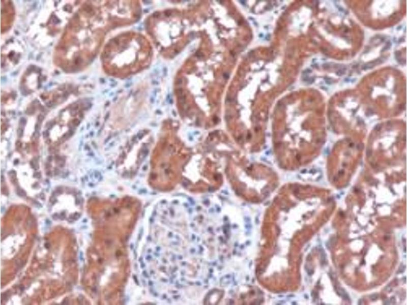
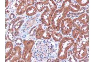
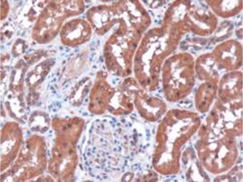
RNLS anticorps (Internal Region)

L’anticorps anti-RNLS Polyclonal Chèvre est utilisé pour la détection de RNLS dans des échantillons de Humain, Souris et Rat. Il a été validé pour WB et ELISA.
N° du produit ABIN185396
488,25 €
Plus frais de livraison 40,00 € et TVA
100 μg
Destination: France
Envoi sous 5 à 8 jours ouvrables

Aperçu rapide pour RNLS anticorps (Internal Region) (ABIN185396)

Antigène

Voir toutes RNLS Anticorps
RNLS (Renalase, FAD-Dependent Amine Oxidase (RNLS))

Reactivité

  • 69
  • 36
  • 17
  • 2
  • 2
  • 2
  • 1
  • 1
  • 1
Humain, Souris, Rat

Hôte

  • 58
  • 21
Chèvre

Clonalité

  • 48
  • 31
Polyclonal

Conjugué

  • 31
  • 10
  • 2
  • 2
  • 2
  • 2
  • 2
  • 2
  • 2
  • 1
  • 1
  • 1
  • 1
  • 1
  • 1
  • 1
  • 1
  • 1
  • 1
  • 1
  • 1
  • 1
  • 1
  • 1
  • 1
  • 1
  • 1
  • 1
  • 1
  • 1
  • 1
  • 1
  • 1
Cet anticorp RNLS est non-conjugé

Application

  • 51
  • 32
  • 14
  • 13
  • 13
  • 10
  • 10
  • 4
  • 4
  • 4
  • 3
  • 3
  • 2
  • 2
  • 2
  • 1
Western Blotting (WB), ELISA

Classe de qualité

Verified
  • Épitope

    • 15
    • 12
    • 9
    • 3
    • 2
    • 2
    • 1
    • 1
    • 1
    • 1
    • 1
    Internal Region

    Fonction

    Renalase (aa 224 to 233)

    Séquence

    VSIDNKKRNI

    Specificité

    This antibody is expected to recognise both reported isoforms (NP_001026879.2 and NP_060833.1).

     Réactivité croisée

    Boeuf (Vache), Chien, Humain, Souris, Rat

    Purification

    Purified from goat serum by ammonium sulphate precipitation followed by antigen affinity chromatography using the immunizing peptide.

    Immunogène

    Peptide with sequence C-VSIDNKKRNI, from the internal region of the protein sequence according to NP_001026879.2, NP_060833.1.

    Isotype

    IgG
  • Indications d'application

    Western Blot: Approx 38+35 kDa bands observed in Human Heart lysates, 37 kDa band observed in Mouse Heart lysates and approx 35 kDa in Rat Heart lysates (calculated MW of 37.8 and 34.9 according to Human NP_001026879.2 and NP_060833.1 resp, of 33.3 kDa accor

    Peptide ELISA: antibody detection limit dilution 1:128000.

    Restrictions

    For Research Use only
  • Format

    Liquid

    Concentration

    0.5 mg/mL

    Buffer

    Supplied at 0.5 mg/mL in Tris saline, 0.02 % sodium azide, pH 7.3 with 0.5 % bovine serum albumin.

    Agent conservateur

    Sodium azide

    Précaution d'utilisation

    This product contains Sodium azide: a POISONOUS AND HAZARDOUS SUBSTANCE which should be handled by trained staff only.

    Conseil sur la manipulation

    Minimize freezing and thawing.

    Stock

    -20 °C

    Stockage commentaire

    Aliquot and store at -20°C, with minimal freeze/thawing. A working aliquot may be refrigerated at 4°C for a few weeks and still remain viable.
  • Antigène

    RNLS (Renalase, FAD-Dependent Amine Oxidase (RNLS))

    Autre désignation

    RNLS

    Sujet

    RNLS, renalase, C10orf59, chromosome 10 open reading frame 59 , HGNC:25641, FLJ11218 , hypothetical protein LOC55328, renalase, FAD-dependent amine oxidase, RENALASE

    ID gène

    55328

    NCBI Accession

    NP_001026879, NP_060833
Vous êtes ici:
Chat with us!