Tel:
+49 (0)241 95 163 153
Fax:
+49 (0)241 95 163 155
E-Mail:
orders@anticorps-enligne.fr

DARC anticorps (N-Term)

L’anticorps anti-DARC Polyclonal Chèvre est utilisé pour la détection de DARC dans des échantillons de Humain. Il a été validé pour WB, ELISA, IHC et FACS.
N° du produit ABIN185480
488,25 €
Plus frais de livraison 40,00 € et TVA
100 μg
Destination: France
Envoi sous 5 à 8 jours ouvrables

Aperçu rapide pour DARC anticorps (N-Term) (ABIN185480)

Antigène

Voir toutes DARC Anticorps
DARC (Duffy Blood Group, Chemokine Receptor (DARC))

Reactivité

  • 53
  • 21
  • 6
Humain

Hôte

  • 41
  • 12
  • 2
  • 1
Chèvre

Clonalité

  • 32
  • 23
  • 1
Polyclonal

Conjugué

  • 30
  • 5
  • 4
  • 3
  • 3
  • 2
  • 1
  • 1
  • 1
  • 1
  • 1
  • 1
  • 1
  • 1
  • 1
Cet anticorp DARC est non-conjugé

Application

  • 35
  • 24
  • 20
  • 18
  • 14
  • 13
  • 12
  • 6
  • 3
  • 2
  • 1
Western Blotting (WB), ELISA, Immunohistochemistry (IHC), Flow Cytometry (FACS)

Classe de qualité

Verified
  • Épitope

    • 8
    • 8
    • 6
    • 4
    • 2
    • 2
    • 2
    • 1
    • 1
    • 1
    • 1
    • 1
    N-Term

    Fonction

    Duffy / FY / DARC

    Séquence

    HRAELSPSTE NSSQLDFED

    Specificité

    This antibody is expected to recognize both reported isoforms (NP_001116423.1, NP_002027.2).

     Réactivité croisée

    Humain

    Purification

    Purified from goat serum by ammonium sulphate precipitation followed by antigen affinity chromatography using the immunizing peptide.

    Immunogène

    Peptide with sequence HRAELSPSTENSSQLDFED-C, from the N Terminus of the protein sequence according to NP_001116423.1, NP_002027.2.

    Isotype

    IgG
  • Indications d'application

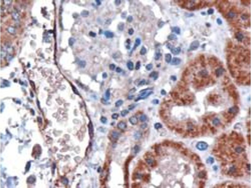
    Immunohistochemistry: In paraffin embedded Human Kidney stains epithelial cells of renal tubules and endothelial cells of vessels. The granular staining is compatible with the endoplasmic reticulum association of the protein. Recommended concentration: 3

    Western Blot: Approx 37 kDa band observed in Human Liver lysates (calculated MW of 35.6 kDa according to NP_002027.2). Recommended concentration: 0.3-1 μg/mL. Primary incubation was 1 hour.

    Peptide ELISA: antibody detection limit dilution 1:16000.

    Commentaires

    Flow cytometry: Flow cytometric analysis of HEK293 cells. Recommended concentration: 10ug/ml. A customer has reported successful staining of HEK293S-TetR transfected with DARC receptor at a dilution of 1/1000.

    Restrictions

    For Research Use only
  • Format

    Liquid

    Concentration

    0.5 mg/mL

    Buffer

    Supplied at 0.5 mg/mL in Tris saline, 0.02 % sodium azide, pH 7.3 with 0.5 % bovine serum albumin.

    Agent conservateur

    Sodium azide

    Précaution d'utilisation

    This product contains Sodium azide: a POISONOUS AND HAZARDOUS SUBSTANCE which should be handled by trained staff only.

    Conseil sur la manipulation

    Minimize freezing and thawing.

    Stock

    -20 °C

    Stockage commentaire

    Aliquot and store at -20°C, with minimal freeze/thawing. A working aliquot may be refrigerated at 4°C for a few weeks and still remain viable.
  • Antigène

    DARC (Duffy Blood Group, Chemokine Receptor (DARC))

    Autre désignation

    ACKR1

    Sujet

    FY, DARC, HGNC:4035, Duffy blood group, CCBP1, GPD, CTA-134P22.3, CD234, FY, OTTHUMP00000060081, Duffy blood group, chemokine receptor, Duffy blood group antigen, Glycoprotein D, Dfy, GpFy, WBCQ1, Fy glycoprotein, OTTHUMP00000035293, OTTHUMP00000035294

    ID gène

    2532

    NCBI Accession

    NP_001116423, NP_002027
Vous êtes ici:
Chat with us!