VPS25 anticorps (Internal Region)
Aperçu rapide pour VPS25 anticorps (Internal Region) (ABIN185544)
Antigène
Voir toutes VPS25 AnticorpsReactivité
Hôte
Clonalité
Conjugué
Application
Classe de qualité
-
-
Épitope
- Internal Region
-
Fonction
- VPS25
-
Séquence
- QPNVDTRQKQ
-
Réactivité croisée
- Chien, Humain, Souris, Rat
-
Purification
- Purified from goat serum by ammonium sulphate precipitation followed by antigen affinity chromatography using the immunizing peptide.
-
Immunogène
- Peptide with sequence C-QPNVDTRQKQ, from the internal region of the protein sequence according to NP_115729.1.
-
Isotype
- IgG
-
-
-
-
Indications d'application
-
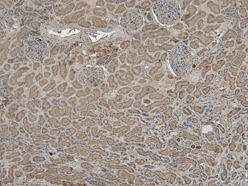
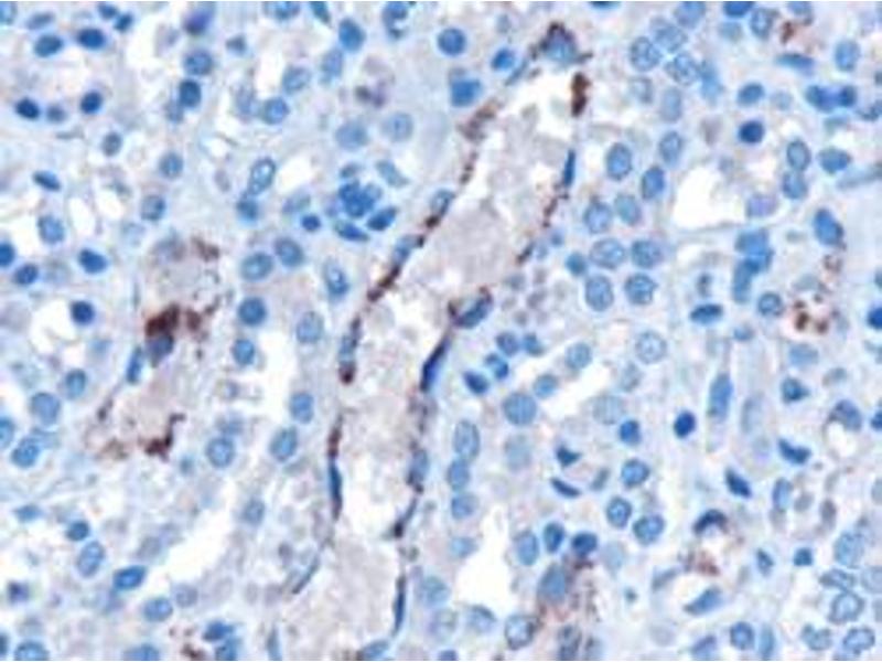
Immunohistochemistry: Paraffin embedded Human Kidney. Recommended concentration: 6-8 μg/mL.
Western Blot: Approx. 22 kDa band observed in Rat Kidney lysates (calculated MW of 20.7 kDa according to human NP_115729.1). Recommended concentration: 0.3-1 μg/mL. Primary incubation was 1 hour.
Peptide ELISA: antibody detection limit dilution 1:32000.
-
Restrictions
- For Research Use only
-
-
-
Format
- Liquid
-
Concentration
- 0.5 mg/mL
-
Buffer
- Supplied at 0.5 mg/mL in Tris saline, 0.02 % sodium azide, pH 7.3 with 0.5 % bovine serum albumin.
-
Agent conservateur
- Sodium azide
-
Précaution d'utilisation
- This product contains Sodium azide: a POISONOUS AND HAZARDOUS SUBSTANCE which should be handled by trained staff only.
-
Conseil sur la manipulation
- Minimize freezing and thawing.
-
Stock
- -20 °C
-
Stockage commentaire
- Aliquot and store at -20°C, with minimal freeze/thawing. A working aliquot may be refrigerated at 4°C for a few weeks and still remain viable.
-
-
- VPS25 (Vacuolar Protein-Sorting-Associated Protein 25 (VPS25))
-
Autre désignation
- VPS25
-
Sujet
- VPS25, vacuolar protein sorting 25 (yeast), HGNC:28122, DERP9, EAP20, MGC10540, vacuolar protein sorting 25, vacuolar protein sorting 25 homolog (S. cerevisiae), FAP20
-
ID gène
- 84313
-
NCBI Accession
- NP_115729
Antigène
-