VPS25 anticorps (N-Term)
Aperçu rapide pour VPS25 anticorps (N-Term) (ABIN337136)
Antigène
Voir toutes VPS25 AnticorpsReactivité
Hôte
Clonalité
Conjugué
Application
-
-
Épitope
- N-Term
-
Specificité
- Synthetic peptide corresponding to N-terminal residues of human VPS25(Vacuolar protein sorting protein 25).
-
Purification
- Immunoaffinity purified
-
Immunogène
-
Synthetic peptide from human VPS25.
Type of Immunogen: Synthetic peptide
-
-
-
-
Indications d'application
-
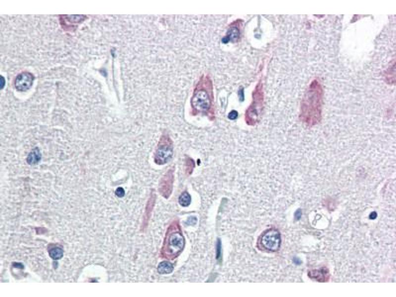
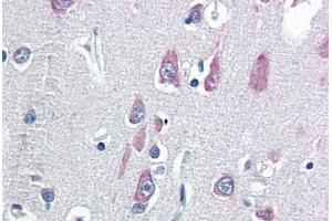
Approved: ELISA, IHC, IHC-P (5 μg/mL), WB (1 μg/mL)
Usage: Immunohistochemistry: This antibody was validated for use in immunohistochemistry on a panel of 21 formalin-fixed, paraffin-embedded (FFPE) human tissues after heat induced antigen retrieval in pH 6.0 citrate buffer. After incubation with the primary antibody, slides were incubated with biotinylated secondary antibody, followed by alkaline phosphatase-streptavidin and chromogen. The stained slides were evaluated by a pathologist to confirm staining specificity. The optimal working concentration for this antibody was determined to be 5 μg/mL. -
Commentaires
-
Target Species of Antibody: Human
-
Restrictions
- For Research Use only
-
-
-
Format
- Liquid
-
Concentration
- Lot specific
-
Buffer
- PBS, 0.01 % sodium azide, 50 % glycerol.
-
Agent conservateur
- Sodium azide
-
Précaution d'utilisation
- This product contains Sodium azide: a POISONOUS AND HAZARDOUS SUBSTANCE which should be handled by trained staff only.
-
Conseil sur la manipulation
- Avoid repeated freezing and thawing.
-
Stock
- 4 °C,-20 °C
-
Stockage commentaire
- 4°C or -20°C, Avoid freeze-thaw cycles.
-
-
- VPS25 (Vacuolar Protein-Sorting-Associated Protein 25 (VPS25))
-
Autre désignation
- VPS25
-
Sujet
-
Name/Gene ID: VPS25
Synonyms: VPS25, DERP9, EAP20, ESCRT-II complex subunit VPS25, FAP20, HVps25 -
ID gène
- 84313
-
UniProt
- Q9BRG1
Antigène
-