RFNG anticorps (AA 68-312)
Aperçu rapide pour RFNG anticorps (AA 68-312) (ABIN1860440)
Antigène
Reactivité
Hôte
Clonalité
Conjugué
Application
-
-
Épitope
- AA 68-312
-
Fonction
- Polyclonal Antibody to O-Fucosylpeptide-3-Beta-N-Acetylglucosaminyltransferase (RFNG)
-
Specificité
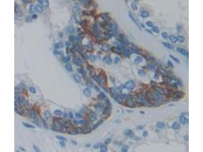
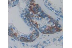
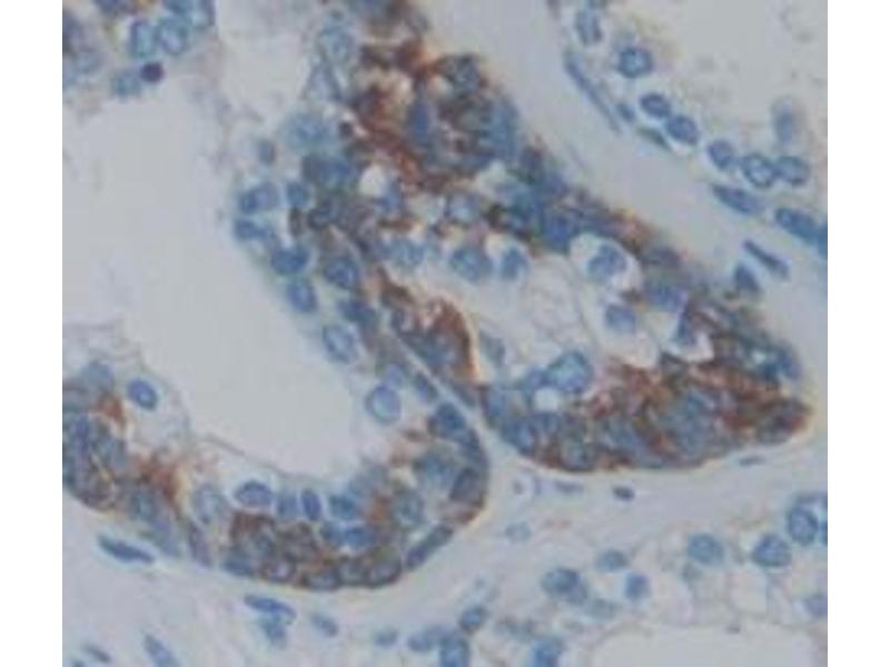
- The antibody is a rabbit polyclonal antibody raised against RFNG. It has been selected for its ability to recognize RFNG in immunohistochemical staining and western blotting.
-
Réactivité croisée
- Souris
-
Purification
- Antigen-specific affinity chromatography followed by Protein A affinity chromatography
-
Immunogène
- RFNG (Lys68-Val312)
-
Isotype
- IgG
-
-
-
-
Indications d'application
- Western blotting: 0.2-2 μg/mL,1:250-2500 Immunohistochemistry: 5-20 μg/mL,1:25-100 Immunocytochemistry: 5-20 μg/mL,1:25-100 Optimal working dilutions must be determined by end user.
-
Commentaires
-
The thermal stability is described by the loss rate. The loss rate was determined by accelerated thermal degradation test, that is, incubate the protein at 37°C for 48h, and no obvious degradation and precipitation were observed. The loss rate is less than 5% within the expiration date under appropriate storage condition.
-
Restrictions
- For Research Use only
-
-
-
Format
- Liquid
-
Concentration
- 500 μg/mL
-
Buffer
- PBS, pH 7.4, containing 0.01 % SKL, 1 mM DTT, 5 % Trehalose and Proclin300.
-
Agent conservateur
- Dithiothreitol (DTT), ProClin
-
Précaution d'utilisation
- WARNING: Reagents contain sodium azide. Sodium azide is very toxic if ingested or inhaled. Avoid contact with skin, eyes, or clothing. Wear eye or face protection when handling. If skin or eye contact occurs, wash with copious amounts of water. If ingested or inhaled, contact a physician immediately. Sodium azide yields toxic hydrazoic acid under acidic conditions. Dilute azide-containing compounds in running water before discarding to avoid accumulation of potentially explosive deposits in lead or copper plumbing.
-
Conseil sur la manipulation
- Avoid repeated freeze-thaw cycles.
-
Stock
- 4 °C,-20 °C
-
Stockage commentaire
- Store at 4°C for frequent use. Stored at -20°C in a manual defrost freezer for two year without detectable loss of activity. Avoid repeated freeze-thaw cycles.
-
Date de péremption
- 12 months
-
-
- RFNG (RFNG O-Fucosylpeptide 3-beta-N-Acetylglucosaminyltransferase (RFNG))
-
Autre désignation
- RFNG
-
Sujet
- Radical Fringe Homolog, Beta-1,3-N-acetylglucosaminyltransferase radical fringe
-
Pathways
- Signalisation Notch
Antigène
-