INPP5K anticorps (AA 183-430)
Aperçu rapide pour INPP5K anticorps (AA 183-430) (ABIN1905386)
Antigène
Voir toutes INPP5K AnticorpsReactivité
Hôte
Clonalité
Conjugué
Application
-
-
Épitope
- AA 183-430
-
Specificité
- Human INPP5K / SKIP.
-
Purification
- Affinity purified
-
Immunogène
-
A recombinant human INPP5K protein 183-430aa (BC004362).
Type of Immunogen: Recombinant protein
-
-
-
-
Indications d'application
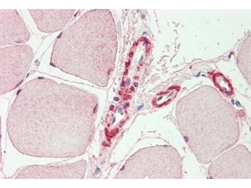
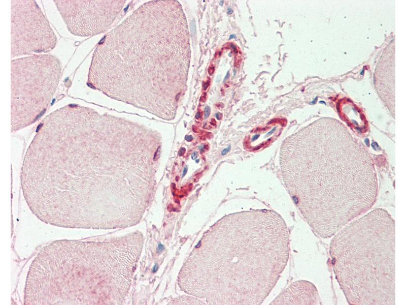
- Approved: ELISA (1:20000 - 1:80000), IHC, IHC-P (10 μg/mL), WB (1:500 - 1:1000)
-
Commentaires
-
Target Species of Antibody: Human
-
Restrictions
- For Research Use only
-
-
-
Format
- Liquid
-
Concentration
- Lot specific
-
Buffer
- PBS, pH 7.4, 0.02 % sodium azide
-
Agent conservateur
- Sodium azide
-
Précaution d'utilisation
- This product contains Sodium azide: a POISONOUS AND HAZARDOUS SUBSTANCE which should be handled by trained staff only.
-
Stock
- -20 °C
-
Stockage commentaire
- Store at -20°C for up to 1 year.
-
Date de péremption
- 12 months
-
-
- INPP5K (Inositol Polyphosphate-5-Phosphatase K (INPP5K))
-
Autre désignation
- INPP5K / SKIP
-
Sujet
-
Name/Gene ID: INPP5K
Family: Inositol phosphatase
Synonyms: INPP5K, SKIP, PPS -
ID gène
- 51763
-
Pathways
- Carbohydrate Homeostasis, Regulation of Carbohydrate Metabolic Process
Antigène
-