Tel:
+49 (0)241 95 163 153
Fax:
+49 (0)241 95 163 155
E-Mail:
orders@anticorps-enligne.fr

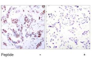
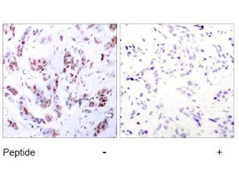
MEF2A anticorps (Thr312)

Cet anticorps Lapin Polyclonal détecte spécifiquement MEF2A dans WB et IHC (p). Il présente une réactivité avec des échantillons de Humain et Souris.
N° du produit ABIN197164
606,15 €
Plus frais de livraison 40,00 € et TVA
Destination: France
Envoi sous 17 jours ouvrables

Aperçu rapide pour MEF2A anticorps (Thr312) (ABIN197164)

Antigène

Voir toutes MEF2A Anticorps
MEF2A (Myocyte Enhancer Factor 2A (MEF2A))

Reactivité

  • 146
  • 121
  • 105
  • 10
  • 9
  • 8
  • 8
  • 8
  • 6
  • 6
  • 5
  • 5
  • 4
  • 3
  • 2
  • 2
  • 1
Humain, Souris

Hôte

  • 142
  • 7
Lapin

Clonalité

  • 112
  • 37
Polyclonal

Conjugué

  • 69
  • 8
  • 6
  • 6
  • 6
  • 6
  • 6
  • 6
  • 4
  • 4
  • 2
  • 2
  • 2
  • 2
  • 2
  • 2
  • 2
  • 2
  • 2
  • 2
  • 2
  • 2
  • 2
  • 1
  • 1
Cet anticorp MEF2A est non-conjugé

Application

  • 110
  • 46
  • 38
  • 38
  • 27
  • 26
  • 25
  • 18
  • 8
  • 6
  • 3
  • 1
  • 1
  • 1
  • 1
Western Blotting (WB), Immunohistochemistry (Paraffin-embedded Sections) (IHC (p))
  • Épitope

    • 26
    • 23
    • 16
    • 8
    • 5
    • 4
    • 4
    • 4
    • 3
    • 3
    • 3
    • 2
    • 2
    • 1
    • 1
    • 1
    • 1
    • 1
    • 1
    • 1
    • 1
    • 1
    • 1
    • 1
    • 1
    • 1
    • 1
    • 1
    • 1
    • 1
    • 1
    • 1
    • 1
    Thr312

    Specificité

    MEF2A antibody detects endogenous levels of total MEF2A protein.

    Purification

    Affinity-chromatography using epitope-specific immunogen

    Immunogène

    The antiserum was produced against synthesized non-phosphopeptide derived from human MEF2A around the phosphorylation site of threonine 312 (L-A-TP-P-V).
  • Indications d'application

    Western Blot: 1: 500approx. 1: 1000. Immunohistochemistry: 1: 50approx. 1: 100.
    Other applications not tested.
    Optimal dilutions are dependent on conditions and should be determined by the user.

    Restrictions

    For Research Use only
  • Concentration

    1.0 mg/mL

    Buffer

    PBS(without Mg2+ and Ca2+), pH 7.4 containing 150 mM NaCl, 0.02 % sodium azide and 50 % glycerol

    Agent conservateur

    Sodium azide

    Précaution d'utilisation

    This product contains sodium azide: a POISONOUS AND HAZARDOUS SUBSTANCE which should be handled by trained staff only.

    Conseil sur la manipulation

    Avoid repeated freezing and thawing.

    Stock

    -20 °C
  • Antigène

    MEF2A (Myocyte Enhancer Factor 2A (MEF2A))

    Autre désignation

    MEF2A

    Sujet

    MEF2A (myocyte specific enhancer factor 2) belongs to a family of DNA binding regulatory proteins. The MEF2 family of transcription factors is highly expressed in the brain when neurons undergo dendritic maturation and synapse formation. MEF2A is especially abundant in granule neurons of the cerebellar cortex throughout the period of synaptogenesis. MEF2A also has key roles in cardiac and skeletal muscle development.Synonyms: MEF2, Myocyte-specific enhancer factor 2A, Serum response factor-like protein 1

    ID gène

    4205

    NCBI Accession

    NP_001124398

    UniProt

    Q02078

    Pathways

    Neurotrophin Signaling Pathway, Activation of Innate immune Response, Carbohydrate Homeostasis, Chromatin Binding, Regulation of Muscle Cell Differentiation, Toll-Like Receptors Cascades
Vous êtes ici:
Chat with us!