EMP2 anticorps (AA 100-129)
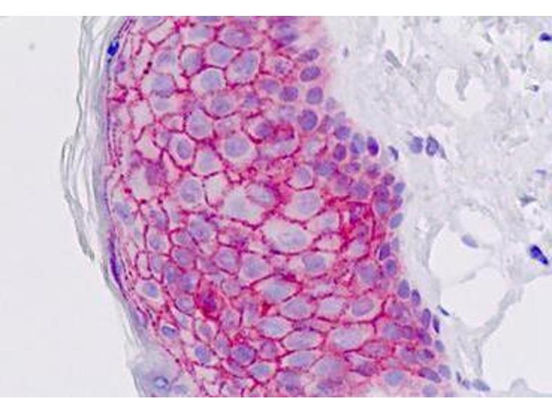
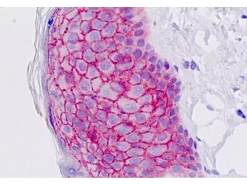
Aperçu rapide pour EMP2 anticorps (AA 100-129) (ABIN1978795)
Antigène
Reactivité
Hôte
Clonalité
Conjugué
Application
-
-
Épitope
- AA 100-129
-
Specificité
- This EMP2 antibody is generated from rabbits immunized with a KLH conjugated synthetic peptide between 100-129 amino acids from the C-terminal region of human EMP2.
-
Purification
- Protein A purified
-
-
-
-
Indications d'application
- Approved: IHC, IHC-P (10 μg/mL), WB (1:1000)
-
Commentaires
-
Target Species of Antibody: Human
-
Restrictions
- For Research Use only
-
-
-
Format
- Liquid
-
Concentration
- Lot specific
-
Buffer
- PBS, 0.09 % sodium azide
-
Agent conservateur
- Sodium azide
-
Précaution d'utilisation
- This product contains Sodium azide: a POISONOUS AND HAZARDOUS SUBSTANCE which should be handled by trained staff only.
-
Stock
- 4 °C,-20 °C
-
Stockage commentaire
- Maintain refrigerated at 2-8°C for up to 6 months. For long term storage store at -20°C.
-
Date de péremption
- 6 months
-
-
- EMP2 (Epithelial Membrane Protein 2 (EMP2))
-
Autre désignation
- EMP2
-
Sujet
-
Name/Gene ID: EMP2
Synonyms: EMP2, EMP-2, Epithelial membrane protein 2, XMP, Protein XMP -
ID gène
- 2013
-
UniProt
- P54851
Antigène
-