PRMT5 anticorps (AA 21-70)
Aperçu rapide pour PRMT5 anticorps (AA 21-70) (ABIN203229)
Antigène
Voir toutes PRMT5 AnticorpsReactivité
Hôte
Clonalité
Conjugué
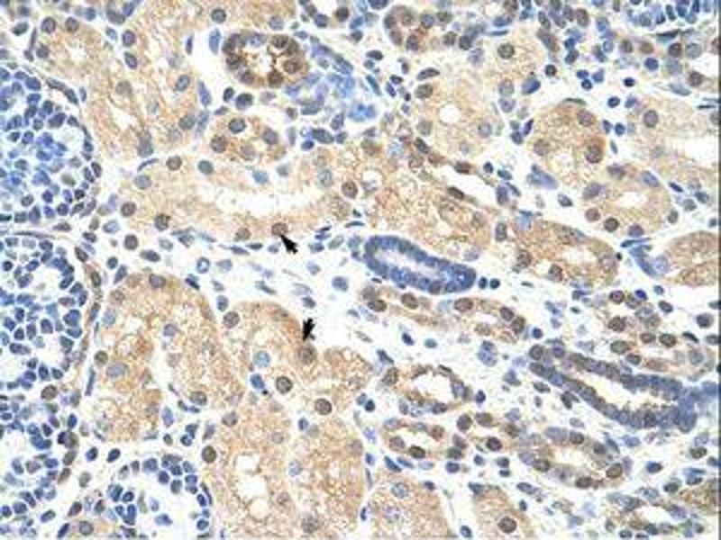
Application
-
-
Épitope
- AA 21-70
-
Specificité
- Human PRMT5
-
Homologie
- Percent identity by BLAST analysis: Human, Rat, Dog, Rabbit, Horse, Pig (100%) Bovine, Xenopus (92%).
-
Purification
- Protein A purified
-
Immunogène
-
Synthetic peptide located between aa21-70 of human PRMT5 (O14744, NP_001034708). Percent identity by BLAST analysis: Human, Chimpanzee, Gorilla, Orangutan, Gibbon, Monkey, Galago, Marmoset, Mouse, Rat, Elephant, Dog, Bat, Rabbit, Horse, Pig, Guinea pig (100%), Bovine, Xenopus (92%), Opossum (85%), Medaka (84%).
Type of Immunogen: Synthetic peptide -
Isotype
- IgG
-
-
-
-
Indications d'application
- Approved: IHC, IHC-P, WB (2.5 μg/mL)
-
Commentaires
-
Target Species of Antibody: Human
-
Restrictions
- For Research Use only
-
-
-
Format
- Lyophilized
-
Reconstitution
- After adding water, will consist of PBS buffer with 2 % sucrose
-
Concentration
- Lot specific
-
Buffer
- Lyophilized from PBS with 2 % sucrose
-
Conseil sur la manipulation
- Avoid repeat freeze-thaw cycles.
-
Stock
- 4 °C,-20 °C
-
Stockage commentaire
-
Long term: -20°C, the use of 50% glycerol is recommended if storing aliquots in -20°C for long term use (up to 1 year)
Short term (less than 1 week): 4°C. Avoid freeze-thaw cycles.
-
-
- PRMT5 (Protein Arginine Methyltransferase 5 (PRMT5))
-
Autre désignation
- PRMT5
-
Sujet
-
Name/Gene ID: PRMT5
Synonyms: PRMT5, 72 kDa ICln-binding protein, HRMT1L5, JBP1, Jak-binding protein 1, IBP72, SKB1Hs, SKB1, SKB1 homolog, Skb1 (S. pombe) homolog, SKB1 homolog (S. pombe) -
ID gène
- 10419
-
NCBI Accession
- NP_001034708
-
UniProt
- O14744
-
Pathways
- Chromatin Binding, Regulation of Muscle Cell Differentiation, Ribonucleoprotein Complex Subunit Organization, Skeletal Muscle Fiber Development
Antigène
-