FANCF anticorps
Aperçu rapide pour FANCF anticorps (ABIN214309)
Antigène
Voir toutes FANCF AnticorpsReactivité
Hôte
Clonalité
Conjugué
Application
-
-
Specificité
- An internal amino acid sequence of human FANCF.
-
Purification
- Immunoaffinity purified
-
Immunogène
-
Synthetic peptide from human FANCF.
Type of Immunogen: Synthetic peptide
-
-
-
-
Indications d'application
-
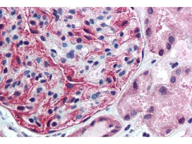
Approved: ELISA (1:15000 - 1:60000), IF, IHC, IHC-P (2.5 μg/mL), WB
Usage: Immunohistochemistry: This antibody was validated for use in immunohistochemistry on a panel of 21 formalin-fixed, paraffin-embedded (FFPE) human tissues after heat induced antigen retrieval in pH 6.0 citrate buffer. After incubation with the primary antibody, slides were incubated with biotinylated secondary antibody, followed by alkaline phosphatase-streptavidin and chromogen. The stained slides were evaluated by a pathologist to confirm staining specificity. The optimal working concentration for this antibody was determined to be 2.5 μg/mL. -
Commentaires
-
Target Species of Antibody: Human
-
Restrictions
- For Research Use only
-
-
-
Format
- Liquid
-
Concentration
- Lot specific
-
Buffer
- 0.02 M potassium phosphate, 0.15 M sodium chloride, pH 7.2, 0.01 % sodium azide.
-
Agent conservateur
- Sodium azide
-
Précaution d'utilisation
- This product contains Sodium azide: a POISONOUS AND HAZARDOUS SUBSTANCE which should be handled by trained staff only.
-
Conseil sur la manipulation
- Avoid repeated freezing and thawing.
-
Stock
- 4 °C,-20 °C
-
Stockage commentaire
- 4°C or -20°C, Avoid freeze-thaw cycles.
-
-
- FANCF (Fanconi Anemia, Complementation Group F (FANCF))
-
Autre désignation
- FANCF
-
Sujet
-
Name/Gene ID: FANCF
Synonyms: FANCF, Fanconi anemia group F protein, Protein FACF, FAF -
ID gène
- 2188
-
UniProt
- Q9NPI8
-
Pathways
- Réparation de l'ADN
Antigène
-