Tel:
+49 (0)241 95 163 153
Fax:
+49 (0)241 95 163 155
E-Mail:
orders@anticorps-enligne.fr

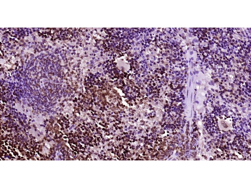
NK-1.1/CD161c anticorps (AA 101-200)

Cité dans 3 publications. Cet anticorps anti-NK-1.1/CD161c Polyclonal Lapin (ABIN2172711) détecte spécifiquement NK-1.1/CD161c dans FACS, WB, IF (cc), IHC (p) et ELISA. L’anticorps est réactif avec des échantillons de Souris et Humain.
N° du produit ABIN2172711
357,70 €
Plus frais de livraison 40,00 € et TVA
100 μL
Destination: France
Envoi sous 8 à 12 jours ouvrables

Aperçu rapide pour NK-1.1/CD161c anticorps (AA 101-200) (ABIN2172711)

Antigène

NK-1.1/CD161c (NK-1.1)

Reactivité

  • 68
  • 15
  • 1
Souris, Humain

Hôte

  • 49
  • 16
  • 4
Lapin

Clonalité

  • 52
  • 15
  • 2
Polyclonal

Conjugué

  • 14
  • 6
  • 6
  • 5
  • 5
  • 4
  • 2
  • 2
  • 2
  • 2
  • 2
  • 1
  • 1
  • 1
  • 1
  • 1
  • 1
  • 1
  • 1
  • 1
  • 1
  • 1
  • 1
  • 1
  • 1
  • 1
  • 1
  • 1
  • 1
  • 1
Cet anticorp NK-1.1/CD161c est non-conjugé

Application

  • 60
  • 16
  • 12
  • 11
  • 8
  • 6
  • 5
  • 5
  • 3
  • 3
  • 3
  • 3
  • 3
  • 2
  • 1
  • 1
  • 1
  • 1
  • 1
  • 1
  • 1
Flow Cytometry (FACS), Western Blotting (WB), Immunofluorescence (Cultured Cells) (IF (cc)), Immunohistochemistry (Paraffin-embedded Sections) (IHC (p)), ELISA
  • Épitope

    • 15
    • 1
    AA 101-200

     Réactivité croisée

    Humain, Souris

    Homologie

    Rat

    Purification

    Purified by Protein A.

    Immunogène

    KLH conjugated synthetic peptide derived from mouse CD161/NK1.1

    Isotype

    IgG
  • Indications d'application

    WB 1:300-5000
    ELISA 1:500-1000
    FCM 1:20-100
    IHC-P 1:200-400
    IF(ICC) 1:50-200

    Restrictions

    For Research Use only
  • Format

    Liquid

    Concentration

    1 μg/μL

    Buffer

    0.01M TBS( pH 7.4) with 1 % BSA, 0.02 % Proclin300 and 50 % Glycerol.

    Agent conservateur

    ProClin

    Précaution d'utilisation

    This product contains ProClin: a POISONOUS AND HAZARDOUS SUBSTANCE, which should be handled by trained staff only.

    Stock

    4 °C,-20 °C

    Stockage commentaire

    Shipped at 4°C. Store at -20°C for one year. Avoid repeated freeze/thaw cycles.

    Date de péremption

    12 months
  • Liu, Lu, Chen, Zhang, Wang, Li, Zhang: "B-cell leukemia/lymphoma 10 promotes angiogenesis in an experimental corneal neovascularization model." dans: Eye (London, England), Vol. 32, Issue 7, pp. 1220-1231, (2019) (PubMed).

    Cheekatla, Tripathi, Venkatasubramanian, Nathella, Paidipally, Ishibashi, Welch, Tvinnereim, Ikebe, Valluri, Babu, Kornfeld, Vankayalapati: "NK-CD11c+ Cell Crosstalk in Diabetes Enhances IL-6-Mediated Inflammation during Mycobacterium tuberculosis Infection." dans: PLoS pathogens, Vol. 12, Issue 10, pp. e1005972, (2016) (PubMed).

  • Antigène

    NK-1.1/CD161c (NK-1.1)

    Autre désignation

    CD161c/NK1.1

    Sujet

    Synonyms: Nk1, Ly59, Nk-1, CD161, Ly-59, Ly55c, NK1.1, NKRP1, Nk1.2, NK-RP1, Nk-1.2, Nkrp1c, ly-55c, NKRP14, AI462337, NKR-P1.9, Killer cell lectin-like receptor subfamily B member 1C, CD161 antigen-like family member C, Lymphocyte antigen 55c, NKR-P1C, Natural killer cell surface protein P1-4, NKR-P1 4, CD161c, Klrb1c

    Background: Plays a stimulatory role on natural killer (NK) cells cytotoxicity. Activation by cross-linking of the receptor induces Ca(2+) mobilization and interferon-gamma production.

    ID gène

    17059

    UniProt

    P27814
Vous êtes ici:
Chat with us!