CHCHD2 anticorps (AA 96-130)
Aperçu rapide pour CHCHD2 anticorps (AA 96-130) (ABIN2172962)
Antigène
Reactivité
Hôte
Clonalité
Conjugué
Application
-
-
Épitope
- AA 96-130
-
Réactivité croisée
- Souris
-
Homologie
- Human,Rat,Dog,Pig,Horse,Chicken,Rabbit,Guinea Pig
-
Purification
- Purified by Protein A.
-
Immunogène
- KLH conjugated synthetic peptide derived from human CHCHD2 (96-130aa)
-
Isotype
- IgG
-
-
-
-
Indications d'application
-
WB 1:300-5000
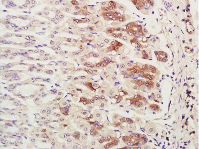
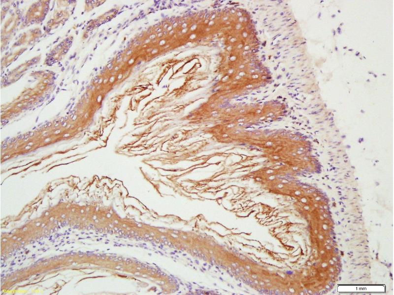
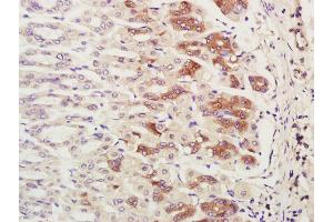
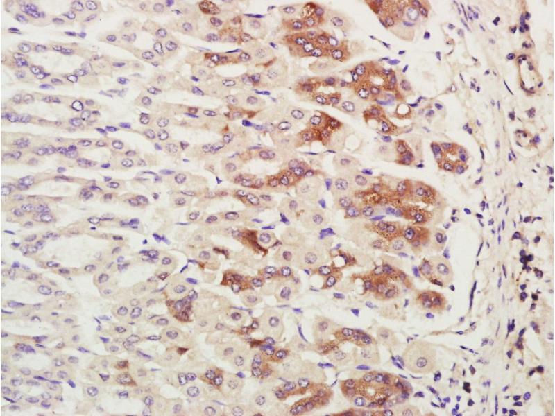
IHC-P 1:200-400
IHC-F 1:100-500 -
Restrictions
- For Research Use only
-
-
-
Format
- Liquid
-
Concentration
- 1 μg/μL
-
Buffer
- 0.01M TBS( pH 7.4) with 1 % BSA, 0.02 % Proclin300 and 50 % Glycerol.
-
Agent conservateur
- ProClin
-
Précaution d'utilisation
- This product contains ProClin: a POISONOUS AND HAZARDOUS SUBSTANCE, which should be handled by trained staff only.
-
Stock
- 4 °C,-20 °C
-
Stockage commentaire
- Shipped at 4°C. Store at -20°C for one year. Avoid repeated freeze/thaw cycles.
-
Date de péremption
- 12 months
-
-
- CHCHD2 (Coiled-Coil-Helix-Coiled-Coil-Helix Domain Containing 2 (CHCHD2))
-
Autre désignation
- Chchd2
-
Sujet
-
Synonyms: mitochondrial, 16.7kD protein, Aging Associated Gene 10 Protein, Aging-associated gene 10 protein, C7orf17, CHCH2_HUMAN, CHCHD 2, CHCHD2, Coiled Coil Helix Coiled Coil Helix Domain Containing 2, Coiled coil helix coiled coil helix domain containing protein 2, mitochondrial, Coiled-coil-helix-coiled-coil-helix domain-containing protein 2, HCV NS2 trans regulated protein, HCV NS2 trans-regulated protein, NS2TP.
Background: CHCHD2
-
ID gène
- 51142
Antigène
-