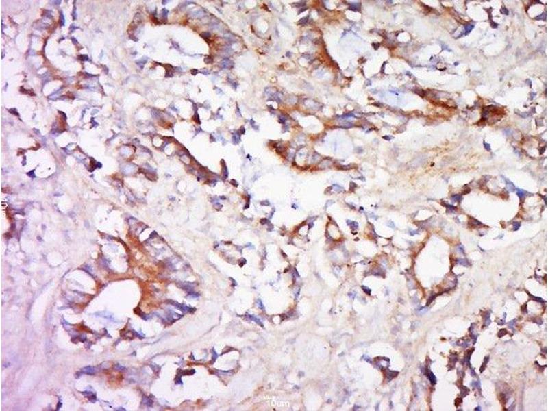
SIPA1L2 anticorps (AA 251-350)
Aperçu rapide pour SIPA1L2 anticorps (AA 251-350) (ABIN2179231)
Antigène
Reactivité
Hôte
Clonalité
Conjugué
Application
-
-
Épitope
- AA 251-350
-
Réactivité croisée
- Humain, Souris, Rat
-
Purification
- Purified by Protein A.
-
Immunogène
- KLH conjugated synthetic peptide derived from human SIPA1L2
-
Isotype
- IgG
-
-
-
-
Indications d'application
-
WB 1:300-5000
IHC-P 1:200-400
IF(IHC-P) 1:50-200 -
Restrictions
- For Research Use only
-
-
-
Format
- Liquid
-
Concentration
- 1 μg/μL
-
Buffer
- 0.01M TBS( pH 7.4) with 1 % BSA, 0.02 % Proclin300 and 50 % Glycerol.
-
Agent conservateur
- ProClin
-
Précaution d'utilisation
- This product contains ProClin: a POISONOUS AND HAZARDOUS SUBSTANCE, which should be handled by trained staff only.
-
Stock
- 4 °C,-20 °C
-
Stockage commentaire
- Shipped at 4°C. Store at -20°C for one year. Avoid repeated freeze/thaw cycles.
-
Date de péremption
- 12 months
-
-
- SIPA1L2 (Signal-Induced Proliferation-Associated 1 Like 2 (SIPA1L2))
-
Autre désignation
- SIPA1L2
-
Sujet
-
Synonyms: SI1L2_HUMAN, Signal induced proliferation associated 1 like protein 2, Signal-induced proliferation-associated 1-like protein 2, SIPA1 like protein 2, SIPA1-like protein 2, SIPA1L2, SPAL2, KIAA1389.
Background: SIPA1L2
-
ID gène
- 57568
-
UniProt
- A0A6Q8PH54
Antigène
-