×
Pour une meilleure utilisation, nous vous conseillons d’activer Javascript dans votre navigateur.
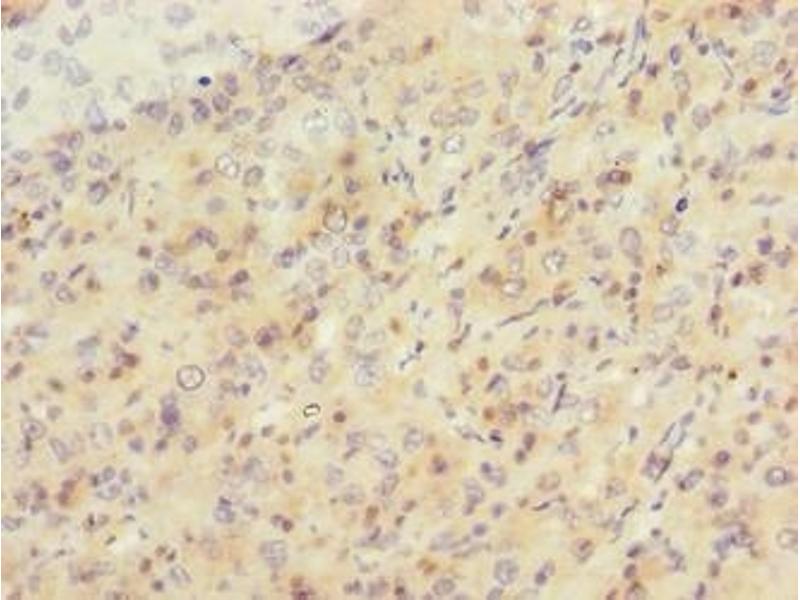
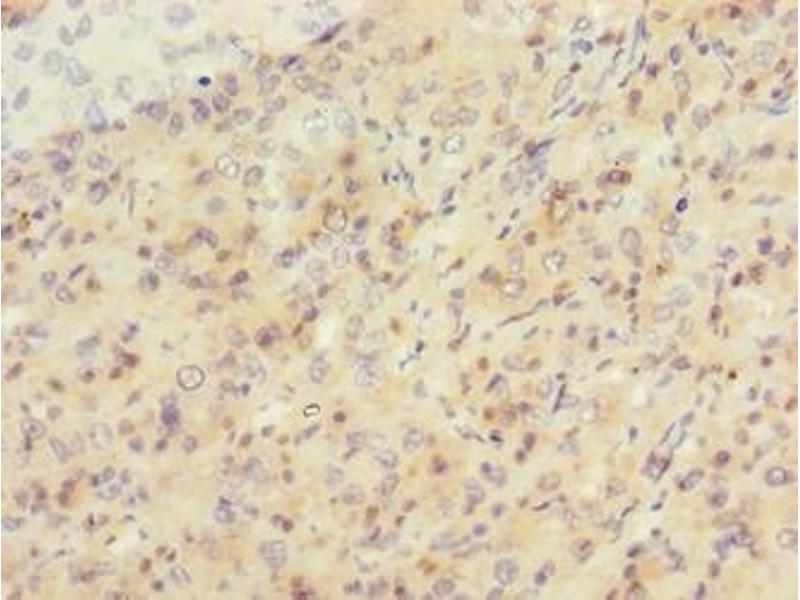
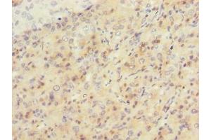
SIPA1L2 anticorps (AA 522-778)
Cet anticorps anti-SIPA1L2 Polyclonal Lapin (ABIN7169695) détecte spécifiquement SIPA1L2 dans ELISA et IHC.
L’anticorps est réactif avec des échantillons de Humain.
N° du produit ABIN7169695
328,90 €
Plus frais de livraison 40,00 € et TVA
50 μg ABIN7360438
100 μg ABIN7169695
50 μg ABIN7360438
100 μg ABIN7169695
Envoi sous 11 à 15 jours ouvrables
Aperçu rapide pour SIPA1L2 anticorps (AA 522-778) (ABIN7169695)
Antigène
SIPA1L2
(Signal-Induced Proliferation-Associated 1 Like 2 (SIPA1L2))
Reactivité
Toutes les réactivités sur SIPA1L2 Anticorps
Humain
Hôte
Toutes les hôtes sur SIPA1L2 Anticorps
Lapin
Clonalité
Toutes les clonalités sur SIPA1L2 Anticorps
Polyclonal
Conjugué
Tous les conjugués à travers SIPA1L2 Anticorps
Cet anticorp SIPA1L2 est non-conjugé
Application
Tous les applications à travers SIPA1L2 Anticorps.
ELISA, Immunohistochemistry (IHC)
Détail du produit anti-SIPA1L2 anticorps
(cache)
Épitope
Tous les épitopes à travers SIPA1L2 Anticorps.
AA 522-778
Fonction
SIPA1L2 Antibody
Purification
Protein G purified
Pureté
>95 %
Immunogène
Recombinant Human Signal-induced proliferation-associated 1-like protein 2 protein (522-778AA)
Isotype
IgG
Alternatives
(show)
Information d'application
(cache)
Indications d'application
Optimal working dilution should be determined by the investigator.
Restrictions
For Research Use only
Stockage
(cache)
Format
Liquid
Buffer
Preservative: 0.03 % Proclin 300 Constituents: 50 % Glycerol, 0.01M PBS, PH 7.4
Agent conservateur
ProClin
Précaution d'utilisation
This product contains ProClin: a POISONOUS AND HAZARDOUS SUBSTANCE which should be handled by trained staff only.
Stock
-20 °C,-80 °C
Stockage commentaire
Upon receipt, store at -20°C or -80°C. Avoid repeated freeze.
Détails sur SIPA1L2
(cache)
Antigène
SIPA1L2
(Signal-Induced Proliferation-Associated 1 Like 2 (SIPA1L2))
Autre désignation
SIPA1L2
Sujet
SIPA1L2 antibody, KIAA1389 antibody, Signal-induced proliferation-associated 1-like protein 2 antibody, SIPA1-like protein 2 antibody
UniProt
Q9P2F8
Vus récemment
(cache)
Chat with us , powered by LiveChat