Tel:
+49 (0)241 95 163 153
Fax:
+49 (0)241 95 163 155
E-Mail:
orders@anticorps-enligne.fr

RPL22 anticorps (C-Term)

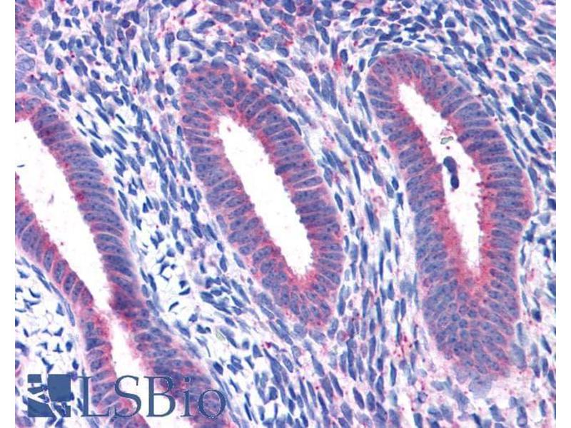
L’anticorps anti-RPL22 Polyclonal Chèvre est utilisé pour la détection de RPL22 dans des échantillons de Humain. Il a été validé pour IHC et ELISA.
N° du produit ABIN238580
488,25 €
Plus frais de livraison 40,00 € et TVA
100 μg
Destination: France
Envoi sous 5 à 8 jours ouvrables

Aperçu rapide pour RPL22 anticorps (C-Term) (ABIN238580)

Antigène

Voir toutes RPL22 Anticorps
RPL22 (Ribosomal Protein L22 (RPL22))

Reactivité

  • 28
  • 24
  • 16
  • 4
  • 4
  • 4
  • 3
  • 3
  • 3
  • 3
  • 3
  • 2
  • 2
  • 1
Humain

Hôte

  • 30
Chèvre

Clonalité

  • 30
Polyclonal

Conjugué

  • 18
  • 2
  • 1
  • 1
  • 1
  • 1
  • 1
  • 1
  • 1
  • 1
  • 1
  • 1
Cet anticorp RPL22 est non-conjugé

Application

  • 16
  • 12
  • 8
  • 2
  • 1
Immunohistochemistry (IHC), ELISA

Classe de qualité

Verified
  • Épitope

    • 8
    • 5
    • 2
    • 2
    • 1
    • 1
    • 1
    • 1
    • 1
    • 1
    C-Term

    Fonction

    Ribosomal protein L22

    Séquence

    SKESYELRYF QINQ

     Réactivité croisée

    Humain, Souris, Rat

    Purification

    Purified from goat serum by ammonium sulphate precipitation followed by antigen affinity chromatography using the immunizing peptide.

    Immunogène

    Peptide with sequence C-SKESYELRYFQINQ, from the C Terminus of the protein sequence according to NP_000974.1.

    Isotype

    IgG
  • Indications d'application

    Immunohistochemistry: In paraffin embedded Human Brain (Cortex) shows cytoplasm staining in neuronal bodies. Recommended concentration: 3-6 μg/mL. Paraffin embedded Human Thyroid, Uterus and Testis. Recommended concentration: 3.75 μg/mL.

    Western Blot: Preliminary experiments gave bands at approx 17-18 kDa and 25 kDa in Human Liver lysates after 0.5 μg/mL antibody staining. Please note that currently we cannot find an explanation in the literature for the bands we observe given the calculate

    Peptide ELISA: antibody detection limit dilution 1:16000.

    Restrictions

    For Research Use only
  • Format

    Liquid

    Concentration

    0.5 mg/mL

    Buffer

    Supplied at 0.5 mg/mL in Tris saline, 0.02 % sodium azide, pH 7.3 with 0.5 % bovine serum albumin.

    Agent conservateur

    Sodium azide

    Précaution d'utilisation

    This product contains Sodium azide: a POISONOUS AND HAZARDOUS SUBSTANCE which should be handled by trained staff only.

    Conseil sur la manipulation

    Minimize freezing and thawing.

    Stock

    -20 °C

    Stockage commentaire

    Aliquot and store at -20°C, with minimal freeze/thawing. A working aliquot may be refrigerated at 4°C for a few weeks and still remain viable.
  • Antigène

    RPL22 (Ribosomal Protein L22 (RPL22))

    Autre désignation

    RPL22

    Sujet

    RPL22, ribosomal protein L22, EAP, HBP15, HBP15/L22, 60S ribosomal protein L22, EBER-associated protein, Epstein-Barr virus small RNA-associated protein, Epstein-Barr-encoded RNA-associated protein, heparin-binding protein 15, heparin-binding protein HBp1

    ID gène

    6146, 19934, 81768

    NCBI Accession

    NP_000974
Vous êtes ici:
Chat with us!