Tel:
+49 (0)241 95 163 153
Fax:
+49 (0)241 95 163 155
E-Mail:
orders@anticorps-enligne.fr

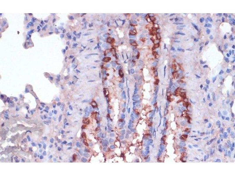
RPL22 anticorps

Cet anticorps Lapin Polyclonal détecte spécifiquement RPL22 dans IHC. Il présente une réactivité avec des échantillons de Humain, Souris et Rat.
N° du produit ABIN7264757
630,00 €
Plus frais de livraison 40,00 € et TVA
Destination: France
Envoi sous 9 à 13 jours ouvrables

Aperçu rapide pour RPL22 anticorps (ABIN7264757)

Antigène

Voir toutes RPL22 Anticorps
RPL22 (Ribosomal Protein L22 (RPL22))

Reactivité

  • 28
  • 23
  • 15
  • 4
  • 4
  • 4
  • 3
  • 3
  • 3
  • 3
  • 3
  • 2
  • 2
  • 1
Humain, Souris, Rat

Hôte

  • 29
  • 1
Lapin

Clonalité

  • 30
Polyclonal

Conjugué

  • 18
  • 2
  • 1
  • 1
  • 1
  • 1
  • 1
  • 1
  • 1
  • 1
  • 1
  • 1
Cet anticorp RPL22 est non-conjugé

Application

  • 16
  • 13
  • 9
  • 2
  • 1
Immunohistochemistry (IHC)
  • Attributs du produit

    Polyclonal Antibody

    Purification

    Affinity purification

    Immunogène

    Recombinant fusion protein of human RPL22 (NP_000974.1).

    Isotype

    IgG
  • Indications d'application

    IHC 1:50-1:100

    Restrictions

    For Research Use only
  • Format

    Liquid

    Concentration

    1 mg/mL

    Buffer

    PBS with 0.02 % sodium azide, 50 % glycerol, pH 7.3

    Agent conservateur

    Sodium azide

    Précaution d'utilisation

    This product contains Sodium azide: a POISONOUS AND HAZARDOUS SUBSTANCE which should be handled by trained staff only.

    Stock

    -20 °C

    Stockage commentaire

    Store at -20°C. Avoid freeze / thaw cycles.
  • Antigène

    RPL22 (Ribosomal Protein L22 (RPL22))

    Autre désignation

    RPL22

    Sujet

    Ribosomes, the organelles that catalyze protein synthesis, consist of a small 40S subunit and a large 60S subunit. Together these subunits are composed of 4 RNA species and approximately 80 structurally distinct proteins. This gene encodes a cytoplasmic ribosomal protein that is a component of the 60S subunit. The protein belongs to the L22E family of ribosomal proteins. Its initiating methionine residue is post-translationally removed. The protein can bind specifically to Epstein-Barr virus-encoded RNAs (EBERs) 1 and 2. The mouse protein has been shown to be capable of binding to heparin. Transcript variants utilizing alternative polyA signals exist. As is typical for genes encoding ribosomal proteins, there are multiple processed pseudogenes of this gene dispersed through the genome. It was previously thought that this gene mapped to 3q26 and that it was fused to the acute myeloid leukemia 1 (AML1) gene located at 21q22 in some therapy-related myelodysplastic syndrome patients with 3,21 translocations, however, these fusions actually involve a ribosomal protein L22 pseudogene located at 3q26, and this gene actually maps to 1p36.3-p36.2.

    ID gène

    6146

    UniProt

    P35268
Vous êtes ici:
Chat with us!