GRP78 anticorps (PerCP)
Aperçu rapide pour GRP78 anticorps (PerCP) (ABIN2482420)
Antigène
Voir toutes GRP78 (HSPA5) AnticorpsReactivité
Hôte
Clonalité
Conjugué
Application
Clone
-
-
Specificité
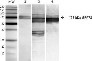
- Detects ~78 kDa.
-
Réactivité croisée
- Humain, Souris, Rat
-
Purification
- Protein G Purified
-
Immunogène
- Full-length recombinant rat GRP78
-
Isotype
- IgG1 kappa
-
-
-
-
Indications d'application
-
- WB (1:1000)
- ICC/IF (1:100)
- optimal dilutions for assays should be determined by the user.
-
Commentaires
-
1 μg/ml of ABIN2482420 was sufficient for detection of GRP78 in 20 μg of HEK-293 lysate by colorimetric immunoblot analysis using Goat anti-mouse IgG:HRP as the secondary antibody.
-
Restrictions
- For Research Use only
-
-
-
Format
- Liquid
-
Concentration
- 1 mg/mL
-
Buffer
- PBS pH 7.4, 50 % glycerol, 0.09 % sodium azide, Storage buffer may change when conjugated
-
Agent conservateur
- Sodium azide
-
Précaution d'utilisation
- This product contains Sodium azide: a POISONOUS AND HAZARDOUS SUBSTANCE which should be handled by trained staff only.
-
Stock
- 4 °C
-
Stockage commentaire
- Conjugated antibodies should be stored at 4°C
-
-
- GRP78 (HSPA5) (Heat Shock 70kDa Protein 5 (Glucose-Regulated Protein, 78kDa) (HSPA5))
-
Autre désignation
- GRP78
-
Sujet
- GRP78 is a ubiquitously expressed, 78- kDa glucose-regulated protein, and is commonly referred to as an immunoglobin chain binding protein (BiP). The BiP proteins are categorized as stress response proteins because they play an important role in the proper folding and assembly of nascent protein and in the scavenging of misfolded proteins in the endoplasmic reticulum lumen. Translation of BiP is directed by an internal ribosomal entry site (IRES) in the 5' nontranslated region of the BiP mRNA. BiP IRES activity increases when cells are heat stressed (1). GRP78 is also critical for maintenance of cell homeostasis and the prevention of apoptosis (2). Luo et al. have provided findings that suggest GRP78 is essential for embryonic cell growth and pluripotent cell survival (3). In terms of diseases, GRP78 has been shown to be a reliable biomarker of hypoglycemia, to serve a neuroprotective function in neurons exposed to glutamate and oxidative stress (4), and its protein levels are reduced in the brains of Alzheimer's patients (5). Also, the induction of the GRP78 protein that results in severe glucose and oxygen deprivation could possible lead to drug resistance to anti-tumor drugs (6, 7).
-
ID gène
- 25617
-
NCBI Accession
- NP_037215
-
UniProt
- P06761
-
Pathways
- Thyroid Hormone Synthesis, ER-Nucleus Signaling
Antigène
-