EIF4H anticorps (AA 31-130)
Aperçu rapide pour EIF4H anticorps (AA 31-130) (ABIN2559623)
Antigène
Voir toutes EIF4H AnticorpsReactivité
Hôte
Clonalité
Conjugué
Application
-
-
Épitope
- AA 31-130
-
Réactivité croisée
- Humain
-
Homologie
- Mouse,Rat,Dog,Cow,Sheep,Pig,Horse,Rabbit
-
Purification
- Purified by Protein A.
-
Immunogène
- KLH conjugated synthetic peptide derived from human eIF4H
-
Isotype
- IgG
-
-
-
-
Indications d'application
-
ELISA 1:500-1000
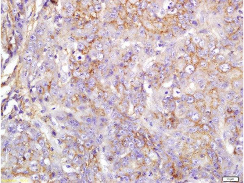
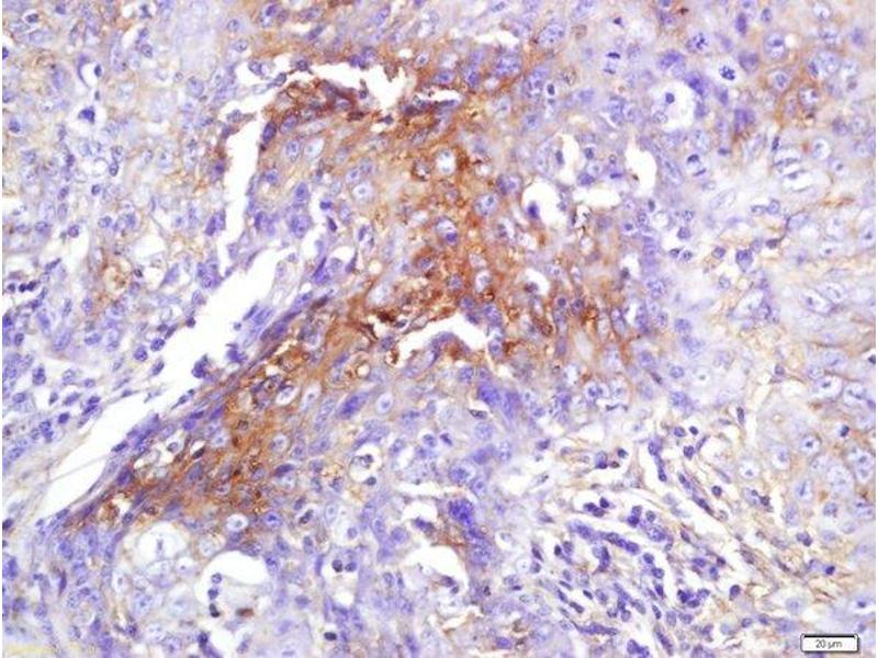
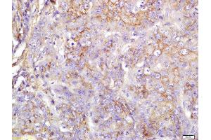
IHC-P 1:200-400
IHC-F 1:100-500
IF(IHC-P) 1:50-200
IF(IHC-F) 1:50-200
IF(ICC) 1:50-200
ICC 1:100-500 -
Restrictions
- For Research Use only
-
-
-
Format
- Liquid
-
Concentration
- 1 μg/μL
-
Buffer
- 0.01M TBS( pH 7.4) with 1 % BSA, 0.02 % Proclin300 and 50 % Glycerol.
-
Agent conservateur
- ProClin
-
Précaution d'utilisation
- This product contains ProClin: a POISONOUS AND HAZARDOUS SUBSTANCE, which should be handled by trained staff only.
-
Stock
- 4 °C,-20 °C
-
Stockage commentaire
- Shipped at 4°C. Store at -20°C for one year. Avoid repeated freeze/thaw cycles.
-
Date de péremption
- 12 months
-
-
- EIF4H (Eukaryotic Translation Initiation Factor 4H (EIF4H))
-
Autre désignation
- eIF4H
-
Sujet
-
Synonyms: WSCR1, WBSCR1, eIF-4H, Eukaryotic translation initiation factor 4H, Williams-Beuren syndrome chromosomal region 1 protein, EIF4H, KIAA0038
Background: Stimulates the RNA helicase activity of EIF4A in the translation initiation complex. Binds weakly mRNA.
-
ID gène
- 7458
-
UniProt
- Q15056
-
Pathways
- SARS-CoV-2 Protein Interactome
Antigène
-