Tel:
+49 (0)241 95 163 153
Fax:
+49 (0)241 95 163 155
E-Mail:
orders@anticorps-enligne.fr

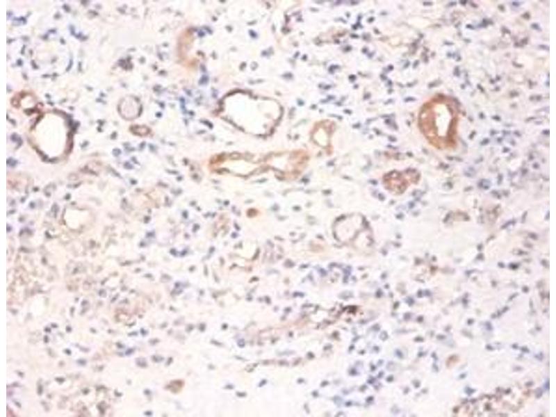
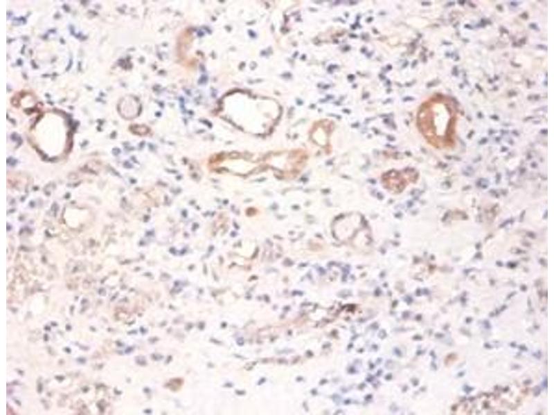
Pyruvate Kinase, Muscle (PKM) anticorps

Cet anticorps Lapin Polyclonal détecte spécifiquement Pyruvate Kinase, Muscle dans IHC, ELISA et IHC (p). Il présente une réactivité avec des échantillons de Humain.
N° du produit ABIN2581511
678,59 €
Plus frais de livraison 40,00 € et TVA
Destination: France
Envoi sous 15 à 20 jours ouvrables

Aperçu rapide pour Pyruvate Kinase, Muscle (PKM) anticorps (ABIN2581511)

Antigène

Voir toutes Pyruvate Kinase, Muscle (PKM) Anticorps
Pyruvate Kinase, Muscle (PKM)

Reactivité

  • 29
  • 18
  • 12
  • 5
  • 5
  • 4
  • 2
  • 2
  • 2
  • 1
  • 1
  • 1
  • 1
  • 1
  • 1
  • 1
  • 1
  • 1
Humain

Hôte

  • 28
  • 4
  • 1
Lapin

Clonalité

  • 32
  • 1
Polyclonal

Conjugué

  • 21
  • 3
  • 3
  • 2
  • 2
  • 2
Inconjugué

Application

  • 33
  • 18
  • 17
  • 12
  • 7
  • 4
  • 3
  • 1
  • 1
  • 1
Immunohistochemistry (IHC), ELISA, Immunohistochemistry (Paraffin-embedded Sections) (IHC (p))
  • Specificité

    Human PKM / Pyruvate Kinase

    Purification

    Caprylic acid and ammonium sulfate precipitation

    Immunogène

    Recombinant human Pyruvate kinase PKM protein.

    Type of Immunogen: Recombinant protein

    Isotype

    IgG
  • Indications d'application

    Optimal working dilution should be determined by the investigator.

    Commentaires

    Target Species of Antibody: Human

    Restrictions

    For Research Use only
  • Format

    Liquid

    Concentration

    Lot specific

    Buffer

    PBS,  pH 7.4, 0.03 % Proclin 300, 50 % glycerol.

    Agent conservateur

    ProClin

    Précaution d'utilisation

    This product contains ProClin: a POISONOUS AND HAZARDOUS SUBSTANCE which should be handled by trained staff only.

    Conseil sur la manipulation

    Avoid freeze-thaw cycles.

    Stock

    -20 °C,-80 °C

    Stockage commentaire

    Aliquot and store at -20°C or -80°C. Avoid freeze-thaw cycles.
  • Antigène

    Pyruvate Kinase, Muscle (PKM)

    Autre désignation

    PKM / Pyruvate Kinase, Muscle

    Sujet

    Name/Gene ID: PKM

    Synonyms: PKM, p58, PK3, PKM2, Pyruvate Kinase, Pyruvate kinase 2/3, Pyruvate kinase, m1, Pyruvate kinase, muscle, TCB, Tumor M2-PK, OIP-3, OIP3, Opa-interacting protein 3, CTHBP, PK, muscle type, PK2, Pyruvate kinase isozymes M1/M2, Pyruvate kinase muscle isozyme, THBP1

    ID gène

    5315

    Pathways

    L'effet Warburg
Vous êtes ici:
Chat with us!