HSBP1 anticorps
Aperçu rapide pour HSBP1 anticorps (ABIN2606906)
Antigène
Voir toutes HSBP1 AnticorpsReactivité
Hôte
Clonalité
Conjugué
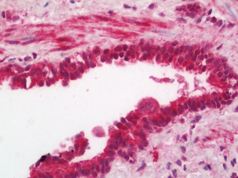
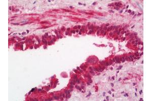
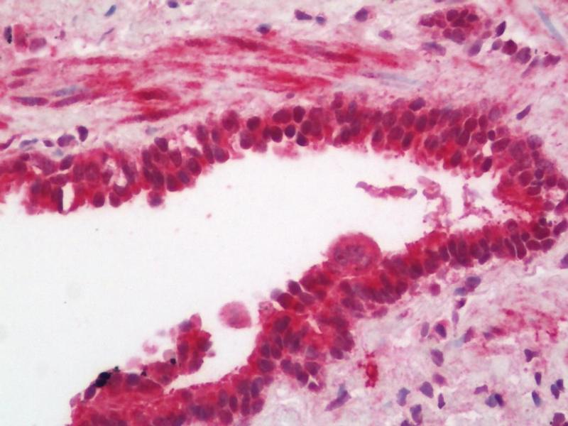
Application
-
-
Specificité
- Human HSBP1
-
Purification
- Caprylic acid and ammonium sulfate precipitation
-
Immunogène
-
Recombinant human Heat shock factor-binding protein 1 protein.
Type of Immunogen: Recombinant protein -
Isotype
- IgG
-
-
-
-
Indications d'application
- Approved: ELISA, IHC, IHC-P (10 μg/mL), WB
-
Commentaires
-
Target Species of Antibody: Human
-
Restrictions
- For Research Use only
-
-
-
Format
- Liquid
-
Concentration
- Lot specific
-
Buffer
- PBS, pH 7.4, 0.03 % Proclin 300, 50 % glycerol.
-
Agent conservateur
- ProClin
-
Précaution d'utilisation
- This product contains ProClin: a POISONOUS AND HAZARDOUS SUBSTANCE which should be handled by trained staff only.
-
Conseil sur la manipulation
- Avoid repeat freeze-thaw cycles.
-
Stock
- 4 °C,-20 °C
-
Stockage commentaire
- Short term: 4°C. Long term: Store at -20°C. Avoid freeze-thaw cycles.
-
-
- HSBP1 (Heat Shock Factor Binding Protein 1 (HSBP1))
-
Autre désignation
- HSBP1
-
Sujet
-
Name/Gene ID: HSBP1
Synonyms: HSBP1, nasopharyngeal carcinoma-associated antigen 13 -
ID gène
- 3281
-
Pathways
- SARS-CoV-2 Protein Interactome
Antigène
-