USP7 anticorps (AA 1-50)
Aperçu rapide pour USP7 anticorps (AA 1-50) (ABIN2629791)
Antigène
Voir toutes USP7 AnticorpsReactivité
Hôte
Clonalité
Conjugué
Application
-
-
Épitope
- AA 1-50
-
Specificité
- Region between residues 1 and 50 of human Ubiquitin Specific Peptidase 7 using the numbering given in entry NP_003461.1 (GeneID 7874).
-
Purification
- Immunoaffinity purified
-
Isotype
- IgG
-
-
-
-
Indications d'application
-
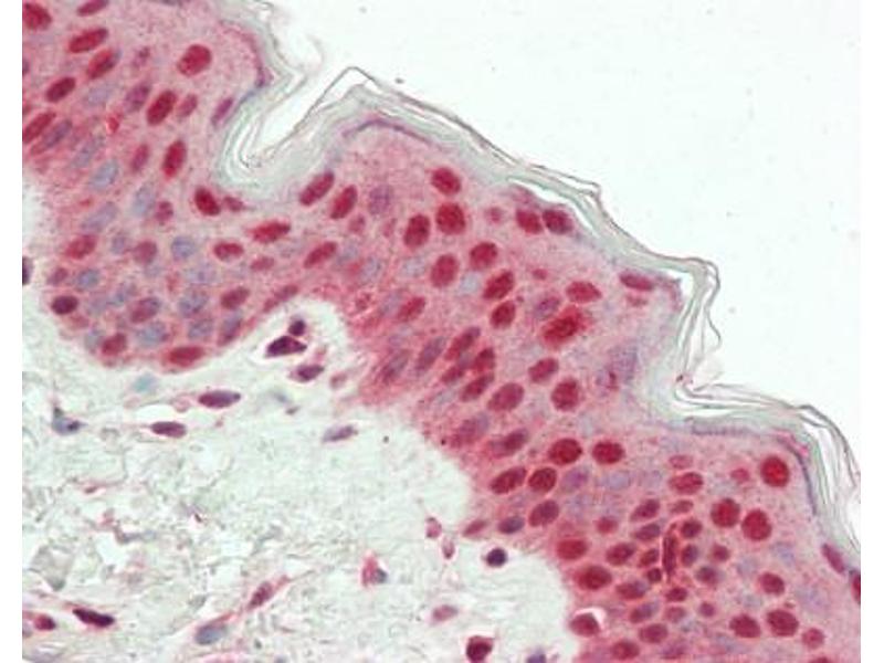
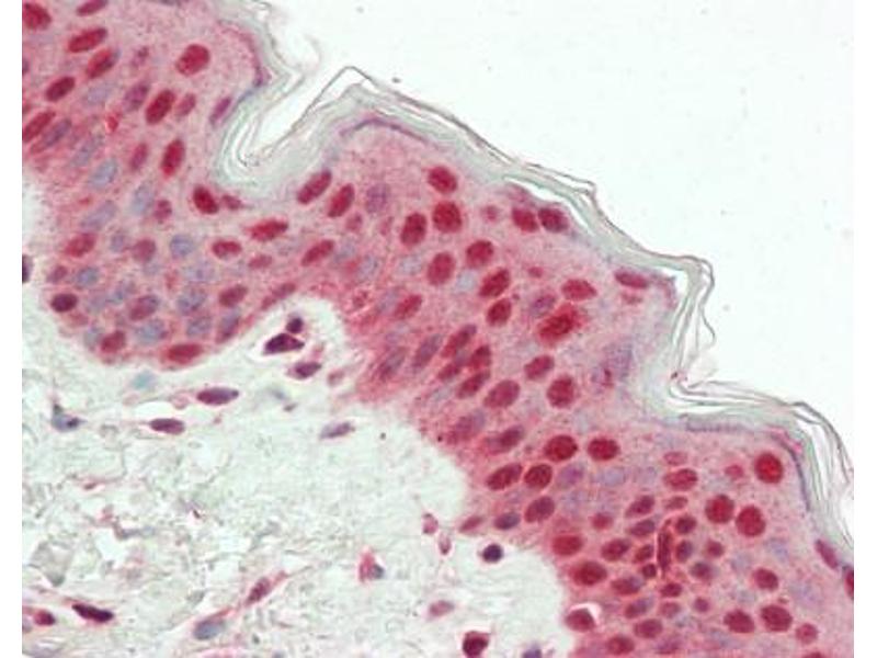
Approved: IF (1:250 - 1:1000), IHC, IHC-P (5 μg/mL), IP (1 - 4 μg/mg lysate), PLA (1:1000 - 1:20000), WB (1:1000 - 1:10000)
Usage: Immunohistochemistry: Many tissues will not require epitope retrieval. However to boost weak staining epitope retrieval with citrate buffer pH 6.0 isrecommended for FFPE tissue sections. Human controls: Breast Carcinoma, Colon Carcinoma, Lung Adenocarcinoma, Ovarian Carcinoma, Prostate Carcinoma, Stomach Adenocarcinoma, Testicular Seminoma. -
Commentaires
-
Target Species of Antibody: Human
-
Restrictions
- For Research Use only
-
-
-
Format
- Liquid
-
Concentration
- Lot specific
-
Buffer
- Tris-citrate/phosphate buffer, pH 7-8, 0.09 % sodium azide.
-
Agent conservateur
- Sodium azide
-
Précaution d'utilisation
- This product contains Sodium azide: a POISONOUS AND HAZARDOUS SUBSTANCE which should be handled by trained staff only.
-
Stock
- 4 °C
-
Stockage commentaire
- Store at 2-8°C for up to 1 year.
-
Date de péremption
- 12 months
-
-
- USP7 (Ubiquitin Specific Peptidase 7 (Herpes Virus-Associated) (USP7))
-
Autre désignation
- USP7 / HAUSP
-
Sujet
-
Name/Gene ID: USP7
Subfamily: Cysteine C19
Family: Protease
Synonyms: USP7, Deubiquitinating enzyme 7, HAUSP, TEF1, Ubiquitin specific protease 7, Ubiquitin thioesterase 7 -
ID gène
- 7874
Antigène
-