Tel:
+49 (0)241 95 163 153
Fax:
+49 (0)241 95 163 155
E-Mail:
orders@anticorps-enligne.fr

LIPE anticorps (Center)

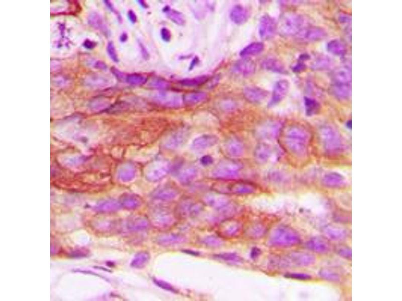
L’anticorps anti-LIPE Polyclonal Lapin est utilisé pour la détection de LIPE dans des échantillons de Humain, Souris, Rat et Singe. Il a été validé pour WB et IHC.
N° du produit ABIN7296194
330,77 €
Plus frais de livraison 40,00 € et TVA
Destination: France
Envoi sous 17 à 20 jours ouvrables

Aperçu rapide pour LIPE anticorps (Center) (ABIN7296194)

Antigène

Voir toutes LIPE Anticorps
LIPE (Lipase, Hormone-Sensitive (LIPE))

Reactivité

  • 71
  • 57
  • 53
  • 1
  • 1
Humain, Souris, Rat, Singe

Hôte

  • 85
  • 5
  • 3
  • 1
Lapin

Clonalité

  • 80
  • 14
Polyclonal

Conjugué

  • 51
  • 6
  • 3
  • 3
  • 3
  • 3
  • 3
  • 3
  • 3
  • 3
  • 1
  • 1
  • 1
  • 1
  • 1
  • 1
  • 1
  • 1
  • 1
  • 1
  • 1
  • 1
  • 1
Cet anticorp LIPE est non-conjugé

Application

  • 71
  • 38
  • 31
  • 15
  • 14
  • 14
  • 10
  • 7
  • 7
  • 4
  • 4
  • 2
  • 1
Western Blotting (WB), Immunohistochemistry (IHC)
  • Épitope

    • 15
    • 14
    • 11
    • 8
    • 6
    • 5
    • 5
    • 4
    • 3
    • 2
    • 2
    • 2
    • 2
    • 1
    • 1
    • 1
    • 1
    • 1
    • 1
    • 1
    • 1
    • 1
    • 1
    • 1
    • 1
    • 1
    • 1
    • 1
    • 1
    Center

    Fonction

    Rabbit polyclonal antibody to HSL

    Specificité

    Recognizes endogenous levels of HSL protein.

    Attributs du produit

    Rabbit polyclonal antibody to HSL

    Purification

    The antibody was purified by immunogen affinity chromatography.

    Immunogène

    KLH-conjugated synthetic peptide encompassing a sequence within the center region of human HSL. The exact sequence is proprietary.
  • Indications d'application

    WB (1/500 - 1/1000), IH (1/50 - 1/100)

    Restrictions

    For Research Use only
  • Format

    Liquid

    Buffer

    Liquid in 0.42 % Potassium phosphate, 0.87 % Sodium chloride, pH 7.3, 30 % glycerol, and 0.01 % sodium azide.

    Agent conservateur

    Sodium azide

    Précaution d'utilisation

    This product contains Sodium azide: a POISONOUS AND HAZARDOUS SUBSTANCE which should be handled by trained staff only.

    Stock

    -20 °C

    Stockage commentaire

    Shipped at 4°C. Upon delivery aliquot and store at -20°C for one year. Avoid freeze/thaw cycles.

    Date de péremption

    12 months
  • Antigène

    LIPE (Lipase, Hormone-Sensitive (LIPE))

    Autre désignation

    HSL

    Sujet

    Hormone-sensitive lipase, HSL

    ID gène

    3991

    UniProt

    Q05469

    Pathways

    AMPK Signaling, Monocarboxylic Acid Catabolic Process, Lipid Metabolism
Vous êtes ici:
Chat with us!