×
Pour une meilleure utilisation, nous vous conseillons d’activer Javascript dans votre navigateur.
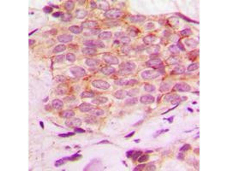
Mammaglobin A anticorps (Center)
Cet anticorps anti-Mammaglobin A Polyclonal Lapin (ABIN7296292) détecte spécifiquement Mammaglobin A dans WB, IHC et IF.
L’anticorps est réactif avec des échantillons de Humain, Rat et Souris.
N° du produit ABIN7296292
330,77 €
Plus frais de livraison 40,00 € et TVA
30 μL ABIN7296293
50 μL ABIN7681032
100 μL ABIN7296292
200 μL ABIN2706503
30 μL ABIN7296293
50 μL ABIN7681032
100 μL ABIN7296292
200 μL ABIN2706503
Envoi sous 17 à 20 jours ouvrables
Aperçu rapide pour Mammaglobin A anticorps (Center) (ABIN7296292)
Antigène
Voir toutes Mammaglobin A (SCGB2A2) Anticorps
Mammaglobin A (SCGB2A2)
(Secretoglobin, Family 2A, Member 2 (SCGB2A2))
Reactivité
Toutes les réactivités sur Mammaglobin A Anticorps
Humain, Rat, Souris
Hôte
Toutes les hôtes sur Mammaglobin A Anticorps
Lapin
Clonalité
Toutes les clonalités sur Mammaglobin A Anticorps
Polyclonal
Conjugué
Tous les conjugués à travers Mammaglobin A Anticorps
Cet anticorp Mammaglobin A est non-conjugé
Application
Tous les applications à travers Mammaglobin A Anticorps.
Western Blotting (WB), Immunohistochemistry (IHC), Immunofluorescence (IF)
Détail du produit anti-Mammaglobin A anticorps
(cache)
Épitope
Tous les épitopes à travers Mammaglobin A Anticorps.
Center
Fonction
Rabbit polyclonal antibody to Mammaglobin A
Specificité
Recognizes endogenous levels of Mammaglobin A protein.
Attributs du produit
Rabbit polyclonal antibody to Mammaglobin A
Purification
The antibody was purified by immunogen affinity chromatography.
Immunogène
KLH-conjugated synthetic peptide encompassing a sequence within the center region of human Mammaglobin A. The exact sequence is proprietary.
Alternatives
(show)
Information d'application
(cache)
Indications d'application
WB (1/500 - 1/1000), IH (1/100 - 1/200), IF/IC (1/100 - 1/500)
Restrictions
For Research Use only
Stockage
(cache)
Format
Liquid
Buffer
Liquid in 0.42 % Potassium phosphate, 0.87 % Sodium chloride, pH 7.3, 30 % glycerol, and 0.01 % sodium azide.
Agent conservateur
Sodium azide
Précaution d'utilisation
This product contains Sodium azide: a POISONOUS AND HAZARDOUS SUBSTANCE which should be handled by trained staff only.
Stock
-20 °C
Stockage commentaire
Shipped at 4°C. Upon delivery aliquot and store at -20°C for one year. Avoid freeze/thaw cycles.
Date de péremption
12 months
Détails sur Mammaglobin A
(cache)
Antigène
Mammaglobin A (SCGB2A2)
(Secretoglobin, Family 2A, Member 2 (SCGB2A2))
Autre désignation
Mammaglobin A
Sujet
MGB1, UGB2, Mammaglobin-A, Mammaglobin-1, Secretoglobin family 2A member 2
ID gène
4250, 361725
UniProt
Q13296
Vus récemment
(cache)
Chat with us , powered by LiveChat