Tel:
+49 (0)241 95 163 153
Fax:
+49 (0)241 95 163 155
E-Mail:
orders@anticorps-enligne.fr

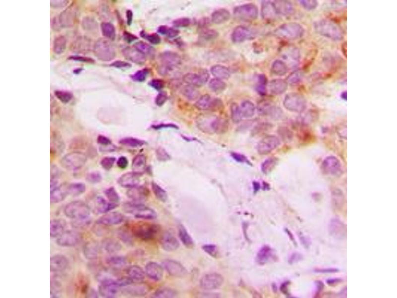
MRPL42 anticorps (Center)

L’anticorps anti-MRPL42 Polyclonal Lapin est utilisé pour la détection de MRPL42 dans des échantillons de Humain et Souris. Il a été validé pour WB.
N° du produit ABIN7301004
330,77 €
Plus frais de livraison 40,00 € et TVA
Destination: France
Envoi sous 17 à 20 jours ouvrables

Aperçu rapide pour MRPL42 anticorps (Center) (ABIN7301004)

Antigène

Voir toutes MRPL42 Anticorps
MRPL42 (Mitochondrial Ribosomal Protein L42 (MRPL42))

Reactivité

Humain, Souris

Hôte

  • 16
  • 13
Lapin

Clonalité

  • 18
  • 11
Polyclonal

Conjugué

  • 12
  • 2
  • 2
  • 2
  • 2
  • 2
  • 2
  • 2
  • 2
  • 1
Cet anticorp MRPL42 est non-conjugé

Application

  • 10
  • 9
  • 6
  • 4
  • 2
  • 2
  • 1
Western Blotting (WB)
  • Épitope

    • 5
    • 3
    • 2
    • 1
    • 1
    • 1
    Center

    Fonction

    Rabbit polyclonal antibody to MRPS32

    Specificité

    Recognizes endogenous levels of MRPS32 protein.

    Attributs du produit

    Rabbit polyclonal antibody to MRPS32

    Purification

    The antibody was purified by immunogen affinity chromatography.

    Immunogène

    KLH-conjugated synthetic peptide encompassing a sequence within the center region of human MRPS32. The exact sequence is proprietary.
  • Indications d'application

    WB (1/500 - 1/1000)

    Restrictions

    For Research Use only
  • Format

    Liquid

    Buffer

    Liquid in 0.42 % Potassium phosphate, 0.87 % Sodium chloride, pH 7.3, 30 % glycerol, and 0.01 % sodium azide.

    Agent conservateur

    Sodium azide

    Précaution d'utilisation

    This product contains Sodium azide: a POISONOUS AND HAZARDOUS SUBSTANCE which should be handled by trained staff only.

    Stock

    -20 °C

    Stockage commentaire

    Shipped at 4°C. Upon delivery aliquot and store at -20°C for one year. Avoid freeze/thaw cycles.

    Date de péremption

    12 months
  • Antigène

    MRPL42 (Mitochondrial Ribosomal Protein L42 (MRPL42))

    Autre désignation

    MRPS32

    Sujet

    MRPL31, MRPS32, RPML31, 39S ribosomal protein L42, mitochondrial, L42mt, MRP-L42, 28S ribosomal protein S32, mitochondrial, MRP-S32, S32mt, 39S ribosomal protein L31, mitochondrial, L31mt, MRP-L31

    ID gène

    28977, 67270

    UniProt

    Q9Y6G3
Vous êtes ici:
Chat with us!