Tel:
+49 (0)241 95 163 153
Fax:
+49 (0)241 95 163 155
E-Mail:
orders@anticorps-enligne.fr

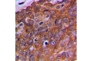
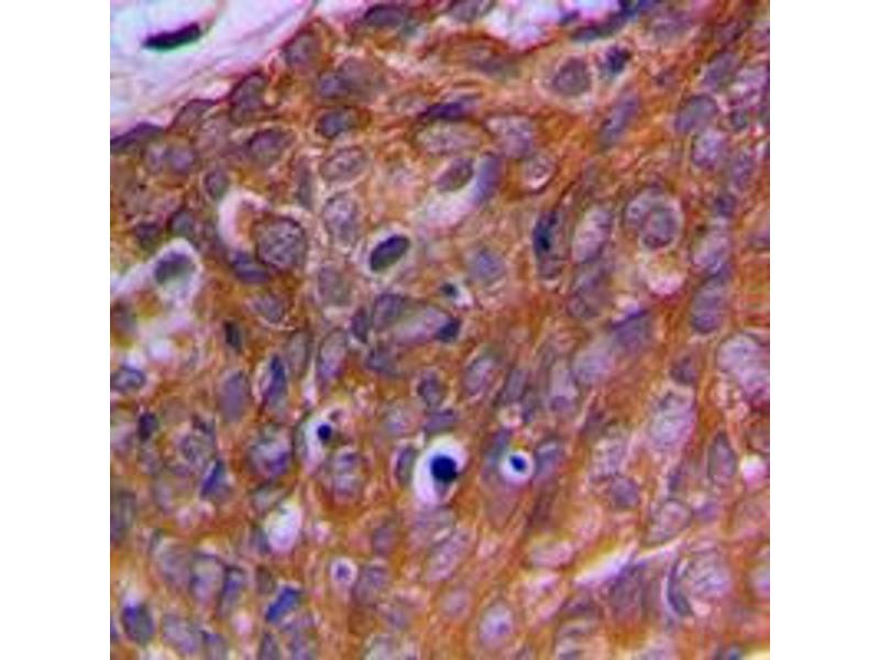
OAZ1 anticorps (N-Term)

Cet anticorps Lapin Polyclonal détecte spécifiquement OAZ1 dans IHC et WB. Il présente une réactivité avec des échantillons de Humain, Souris et Rat.
N° du produit ABIN7301090
330,77 €
Plus frais de livraison 40,00 € et TVA
Destination: France
Envoi sous 17 à 20 jours ouvrables

Aperçu rapide pour OAZ1 anticorps (N-Term) (ABIN7301090)

Antigène

Voir toutes OAZ1 Anticorps
OAZ1 (Ornithine Decarboxylase Antizyme 1 (OAZ1))

Reactivité

Humain, Souris, Rat

Hôte

  • 19
  • 1
Lapin

Clonalité

  • 20
Polyclonal

Conjugué

  • 13
  • 1
  • 1
  • 1
  • 1
  • 1
  • 1
  • 1
Cet anticorp OAZ1 est non-conjugé

Application

  • 9
  • 8
  • 7
  • 1
  • 1
Immunohistochemistry (IHC), Western Blotting (WB)
  • Épitope

    • 5
    • 2
    • 2
    • 1
    • 1
    • 1
    • 1
    N-Term

    Fonction

    Rabbit polyclonal antibody to OAZ1

    Specificité

    Recognizes endogenous levels of OAZ1 protein.

    Attributs du produit

    Rabbit polyclonal antibody to OAZ1

    Purification

    The antibody was purified by immunogen affinity chromatography.

    Immunogène

    KLH-conjugated synthetic peptide encompassing a sequence within the N-term region of human OAZ1. The exact sequence is proprietary.
  • Indications d'application

    WB (1/500 - 1/1000), IH (1/100 - 1/200)

    Restrictions

    For Research Use only
  • Format

    Liquid

    Buffer

    Liquid in 0.42 % Potassium phosphate, 0.87 % Sodium chloride, pH 7.3, 30 % glycerol, and 0.01 % sodium azide.

    Agent conservateur

    Sodium azide

    Précaution d'utilisation

    This product contains Sodium azide: a POISONOUS AND HAZARDOUS SUBSTANCE which should be handled by trained staff only.

    Stock

    -20 °C

    Stockage commentaire

    Shipped at 4°C. Upon delivery aliquot and store at -20°C for one year. Avoid freeze/thaw cycles.

    Date de péremption

    12 months
  • Antigène

    OAZ1 (Ornithine Decarboxylase Antizyme 1 (OAZ1))

    Autre désignation

    OAZ1

    Sujet

    OAZ, Ornithine decarboxylase antizyme 1, ODC-Az

    ID gène

    4946, 18245, 25502

    UniProt

    P54368
Vous êtes ici:
Chat with us!