Tel:
+49 (0)241 95 163 153
Fax:
+49 (0)241 95 163 155
E-Mail:
orders@anticorps-enligne.fr

RBM4B anticorps (C-Term)

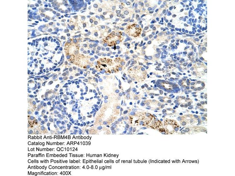
Cet anticorps anti-RBM4B Polyclonal Lapin (ABIN2776587) détecte spécifiquement RBM4B dans WB et IHC. L’anticorps est réactif avec des échantillons de Humain, Souris, Rat, Boeuf (Vache), Cheval, Porc, Chien, Chévre, Cobaye et Lapin.
N° du produit ABIN2776587
470,22 €
Plus frais de livraison 40,00 € et TVA
Destination: France
Envoi sous 6 à 9 jours ouvrables

Aperçu rapide pour RBM4B anticorps (C-Term) (ABIN2776587)

Antigène

Voir toutes RBM4B Anticorps
RBM4B (RNA Binding Motif Protein 4B (RBM4B))

Reactivité

Humain, Souris, Rat, Boeuf (Vache), Cheval, Porc, Chien, Chévre, Cobaye, Lapin

Hôte

  • 7
Lapin

Clonalité

  • 7
Polyclonal

Conjugué

  • 7
Cet anticorp RBM4B est non-conjugé

Application

  • 7
  • 2
  • 2
  • 1
  • 1
Western Blotting (WB), Immunohistochemistry (IHC)
  • Épitope

    • 1
    • 1
    • 1
    C-Term

    Séquence

    AAAATTSSYY GRDRSPLRRA AAMLPTVGEG YGYGPESELS QASAATRNSL

    Homologie

    Cow: 100%, Dog: 93%, Goat: 85%, Guinea Pig: 93%, Horse: 100%, Human: 100%, Mouse: 86%, Pig: 100%, Rabbit: 93%, Rat: 86%

    Attributs du produit

    This is a rabbit polyclonal antibody against RBM4B. It was validated on Western Blot and immunohistochemistry.

    Purification

    Protein A purified

    Immunogène

    The immunogen is a synthetic peptide directed towards the C terminal region of human RBM4B
  • Indications d'application

    Optimal working dilutions should be determined experimentally by the investigator.

    Commentaires

    Antigen size: 359 AA

    Restrictions

    For Research Use only
  • Format

    Liquid

    Concentration

    Lot specific

    Buffer

    Liquid. Purified antibody supplied in 1x PBS buffer with 0.09 % (w/v) sodium azide and 2 % sucrose.

    Agent conservateur

    Sodium azide

    Précaution d'utilisation

    This product contains Sodium azide: a POISONOUS AND HAZARDOUS SUBSTANCE which should be handled by trained staff only.

    Conseil sur la manipulation

    Avoid repeated freeze-thaw cycles.

    Stock

    -20 °C

    Stockage commentaire

    For short term use, store at 2-8°C up to 1 week. For long term storage, store at -20°C in small aliquots to prevent freeze-thaw cycles.
  • Antigène

    RBM4B (RNA Binding Motif Protein 4B (RBM4B))

    Autre désignation

    RBM4B

    Sujet

    RBM4B contains 1 CCHC-type zinc finger and 2 RRM (RNA recognition motif) domains. It may play a role in alternative splice site selection during pre-mRNA processing.
    Alias Symbols: RBM30, RBM4L, ZCRB3B, ZCCHC15
    Protein Interaction Partner: HNRNPUL1, DZIP3, SUMO2, SUZ12, SMYD1, UBC, APP, CUL3, ELAVL1, APC, MRPS9, POLR2M, HNRNPM,
    Protein Size: 359

    Poids moléculaire

    39 kDa

    ID gène

    83759

    NCBI Accession

    NM_031492, NP_113680

    UniProt

    Q9BQ04

    Pathways

    Photoperiodism
Vous êtes ici:
Chat with us!