Tel:
+49 (0)241 95 163 153
Fax:
+49 (0)241 95 163 155
E-Mail:
orders@anticorps-enligne.fr

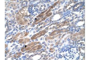
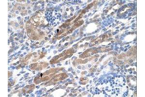
KIAA0319 anticorps (N-Term)

Cet anticorps anti-KIAA0319 Polyclonal Lapin (ABIN2782838) détecte spécifiquement KIAA0319 dans WB et IHC. L’anticorps est réactif avec des échantillons de Humain, Souris, Rat, Boeuf (Vache), Porc et Cheval.
N° du produit ABIN2782838
470,22 €
Plus frais de livraison 40,00 € et TVA
Destination: France
Envoi sous 6 à 9 jours ouvrables

Aperçu rapide pour KIAA0319 anticorps (N-Term) (ABIN2782838)

Antigène

Voir toutes KIAA0319 Anticorps
KIAA0319

Reactivité

Humain, Souris, Rat, Boeuf (Vache), Porc, Cheval

Hôte

  • 31
  • 2
Lapin

Clonalité

  • 33
Polyclonal

Conjugué

  • 9
  • 3
  • 3
  • 3
  • 1
  • 1
  • 1
  • 1
  • 1
  • 1
  • 1
  • 1
  • 1
  • 1
  • 1
  • 1
  • 1
  • 1
  • 1
Cet anticorp KIAA0319 est non-conjugé

Application

  • 23
  • 13
  • 13
  • 13
  • 5
  • 4
  • 3
  • 2
  • 1
Western Blotting (WB), Immunohistochemistry (IHC)
  • Épitope

    • 15
    • 8
    • 2
    • 1
    • 1
    N-Term

    Séquence

    EEMSEYSDDY RELEKDLLQP SGKQEPRGSA EYTDWGLLPG SEGAFNSSVG

    Homologie

    Cow: 86%, Horse: 86%, Human: 100%, Mouse: 79%, Pig: 93%, Rat: 79%

    Attributs du produit

    This is a rabbit polyclonal antibody against KIAA0319. It was validated on Western Blot and immunohistochemistry.

    Purification

    Protein A purified

    Immunogène

    The immunogen is a synthetic peptide directed towards the N terminal region of human KIAA0319
  • Indications d'application

    Optimal working dilutions should be determined experimentally by the investigator.

    Commentaires

    Antigen size: 511 AA

    Restrictions

    For Research Use only
  • Format

    Liquid

    Concentration

    Lot specific

    Buffer

    Liquid. Purified antibody supplied in 1x PBS buffer with 0.09 % (w/v) sodium azide and 2 % sucrose.

    Agent conservateur

    Sodium azide

    Précaution d'utilisation

    This product contains Sodium azide: a POISONOUS AND HAZARDOUS SUBSTANCE which should be handled by trained staff only.

    Conseil sur la manipulation

    Avoid repeated freeze-thaw cycles.

    Stock

    -20 °C

    Stockage commentaire

    For short term use, store at 2-8°C up to 1 week. For long term storage, store at -20°C in small aliquots to prevent freeze-thaw cycles.
  • Antigène

    KIAA0319

    Autre désignation

    KIAA0319

    Sujet

    KIAA0319 has been strongly associated with developmental dyslexia.
    Alias Symbols: DLX2, DYLX2, DYX2, MGC176717
    Protein Interaction Partner: SH2B1, FEM1B,
    Protein Size: 511

    Poids moléculaire

    56 kDa

    ID gène

    9856

    NCBI Accession

    NM_001168374

    UniProt

    Q5VV43
Vous êtes ici:
Chat with us!