Tel:
+49 (0)241 95 163 153
Fax:
+49 (0)241 95 163 155
E-Mail:
orders@anticorps-enligne.fr

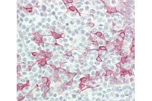
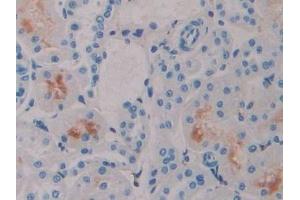
IFNA4 anticorps (C-Term)

Cet anticorps anti-IFNA4 Polyclonal Lapin (ABIN2788555) détecte spécifiquement IFNA4 dans WB. L’anticorps est réactif avec des échantillons de Humain, Boeuf (Vache), Chévre, Porc et Mouton.
N° du produit ABIN2788555
534,11 €
Plus frais de livraison 40,00 € et TVA
Destination: France
Envoi sous 6 à 9 jours ouvrables

Aperçu rapide pour IFNA4 anticorps (C-Term) (ABIN2788555)

Antigène

Voir toutes IFNA4 (IFNa4) Anticorps
IFNA4 (IFNa4) (Interferon, alpha 4 (IFNa4))

Reactivité

Humain, Boeuf (Vache), Chévre, Porc, Mouton

Hôte

  • 19
  • 3
Lapin

Clonalité

  • 21
  • 1
Polyclonal

Conjugué

  • 16
  • 3
  • 2
  • 1
Cet anticorp IFNA4 est non-conjugé

Application

  • 18
  • 8
  • 8
  • 3
  • 3
  • 2
  • 1
  • 1
  • 1
Western Blotting (WB)
  • Épitope

    • 6
    • 4
    • 3
    • 2
    • 2
    • 1
    • 1
    C-Term

    Séquence

    ILAVRKYFQR ITLYLTEKKY SPCAWEVVRA EIMRSLSFST NLQKRLRRKD

    Homologie

    Cow: 83%, Goat: 83%, Human: 100%, Pig: 83%, Sheep: 83%

    Attributs du produit

    This is a rabbit polyclonal antibody against IFNA4. It was validated on Western Blot.

    Purification

    Affinity Purified

    Immunogène

    The immunogen is a synthetic peptide directed towards the C-terminal region of Human IFNA4
  • Indications d'application

    Optimal working dilutions should be determined experimentally by the investigator.

    Commentaires

    Antigen size: 189 AA

    Restrictions

    For Research Use only
  • Format

    Liquid

    Concentration

    Lot specific

    Buffer

    Liquid. Purified antibody supplied in 1x PBS buffer with 0.09 % (w/v) sodium azide and 2 % sucrose.

    Agent conservateur

    Sodium azide

    Précaution d'utilisation

    This product contains Sodium azide: a POISONOUS AND HAZARDOUS SUBSTANCE which should be handled by trained staff only.

    Conseil sur la manipulation

    Avoid repeated freeze-thaw cycles.

    Stock

    -20 °C

    Stockage commentaire

    For short term use, store at 2-8°C up to 1 week. For long term storage, store at -20°C in small aliquots to prevent freeze-thaw cycles.
  • Antigène

    IFNA4 (IFNa4) (Interferon, alpha 4 (IFNa4))

    Autre désignation

    IFNA4

    Sujet

    IFNA4 is produced by macrophages, IFN-alpha have antiviral activities. Interferon stimulates the production of two enzymes: a protein kinase and an oligoadenylate synthetase.
    Alias Symbols: INFA4, MGC142200
    Protein Interaction Partner: ALDOA,
    Protein Size: 189

    Poids moléculaire

    21 kDa

    ID gène

    3441

    NCBI Accession

    NM_021068, NP_066546

    UniProt

    P05014

    Pathways

    Signalistation JAK/STAT, Hepatitis C
Vous êtes ici:
Chat with us!