Tel:
+49 (0)241 95 163 153
Fax:
+49 (0)241 95 163 155
E-Mail:
orders@anticorps-enligne.fr

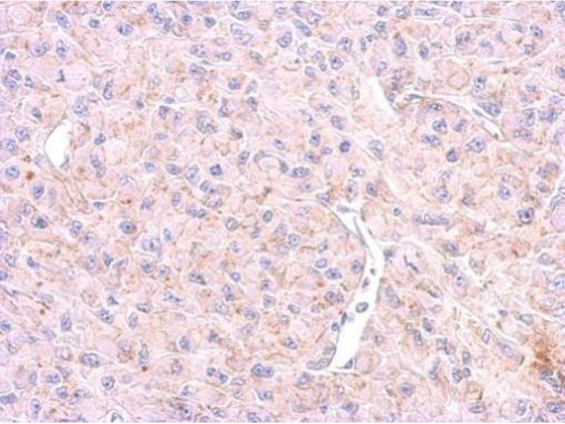
HTR1F anticorps (C-Term)

L’anticorps anti-HTR1F Polyclonal Lapin est utilisé pour la détection de HTR1F dans des échantillons de Humain. Il a été validé pour WB et IHC (p).
N° du produit ABIN2854712
765,00 €
Plus frais de livraison 40,00 € et TVA
100 μL
Destination: France
Envoi sous 7 à 10 jours ouvrables

Aperçu rapide pour HTR1F anticorps (C-Term) (ABIN2854712)

Antigène

Voir toutes HTR1F Anticorps
HTR1F (5-Hydroxytryptamine (serotonin) Receptor 1F (HTR1F))

Reactivité

  • 43
  • 28
  • 26
  • 7
  • 6
  • 6
  • 4
  • 4
  • 3
  • 2
  • 1
  • 1
  • 1
  • 1
  • 1
Humain

Hôte

  • 42
  • 1
Lapin

Clonalité

  • 43
Polyclonal

Conjugué

  • 19
  • 1
  • 1
  • 1
  • 1
  • 1
  • 1
  • 1
  • 1
  • 1
  • 1
  • 1
  • 1
  • 1
  • 1
  • 1
  • 1
  • 1
  • 1
  • 1
  • 1
  • 1
  • 1
  • 1
  • 1
Cet anticorp HTR1F est non-conjugé

Application

  • 29
  • 13
  • 13
  • 10
  • 8
  • 5
  • 3
  • 2
  • 1
Western Blotting (WB), Immunohistochemistry (Paraffin-embedded Sections) (IHC (p))
  • Épitope

    • 15
    • 6
    • 2
    • 2
    • 2
    • 1
    • 1
    • 1
    • 1
    • 1
    • 1
    • 1
    C-Term

     Réactivité croisée

    Humain

    Attributs du produit

    Rabbit Polyclonal antibody to 5-HT1F receptor
    5-HT1F receptor antibody [C2C3], C-term

    Purification

    Purified by antigen-affinity chromatography.

    Immunogène

    Carrier-protein conjugated synthetic peptide encompassing a sequence within the C-terminus region of human 5-HT1F receptor. The exact sequence is proprietary.

    Isotype

    IgG
  • Indications d'application

    WB: 1:500-1:3000. IHC-P: 1:100-1:1000. Optimal dilutions/concentrations should be determined by the researcher. Not tested in other applications.

    Commentaires

    Positive Control: A431

    Restrictions

    For Research Use only
  • Format

    Liquid

    Concentration

    0.77 mg/mL

    Buffer

    1XPBS ( pH 7), 10 % Glycerol, 0.01 % Thimerosal

    Agent conservateur

    Thimerosal (Merthiolate)

    Précaution d'utilisation

    This product contains Thimerosal (Merthiolate): a POISONOUS AND HAZARDOUS SUBSTANCE which should be handled by trained staff only.

    Stock

    4 °C,-20 °C

    Stockage commentaire

    Store as concentrated solution. Centrifuge briefly prior to opening vial. For short-term storage (1-2 weeks), store at 4°C. For long-term storage, aliquot and store at -20°C or below. Avoid multiple freeze-thaw cycles.
  • Antigène

    HTR1F (5-Hydroxytryptamine (serotonin) Receptor 1F (HTR1F))

    Autre désignation

    5-hydroxytryptamine receptor 1F

    Sujet

    This is one of the several different receptors for 5-hydroxytryptamine (serotonin), a biogenic hormone that functions as a neurotransmitter, a hormone, and a mitogen. The activity of this receptor is mediated by G proteins that inhibit adenylate cyclase activity.

    Cellular Localization: Cell membrane

    Poids moléculaire

    42 kDa

    ID gène

    3355

    UniProt

    P30939

    Pathways

    Signalistation JAK/STAT
Vous êtes ici:
Chat with us!