Tel:
+49 (0)241 95 163 153
Fax:
+49 (0)241 95 163 155
E-Mail:
orders@anticorps-enligne.fr

CD147 anticorps

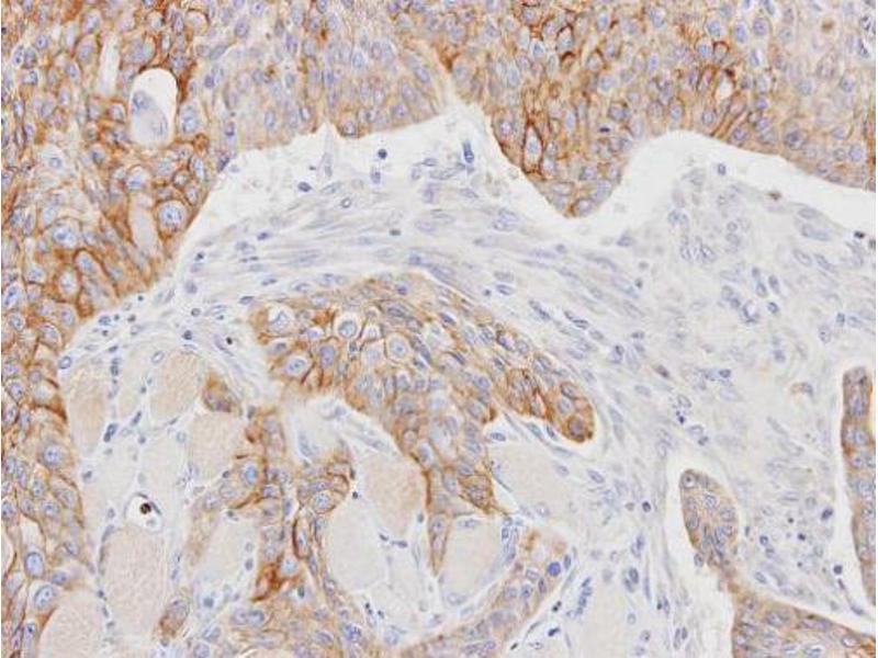
L’anticorps anti-CD147 Polyclonal Lapin est utilisé pour la détection de CD147 dans des échantillons de Humain. Il a été validé pour WB et IHC (p).
N° du produit ABIN2854895
583,17 €
Plus frais de livraison 40,00 € et TVA
100 μL
Destination: France
Envoi sous 7 à 10 jours ouvrables

Aperçu rapide pour CD147 anticorps (ABIN2854895)

Antigène

Voir toutes CD147 (BSG) Anticorps
CD147 (BSG) (Basigin (Ok Blood Group) (BSG))

Reactivité

  • 248
  • 96
  • 73
  • 17
  • 6
  • 4
  • 4
  • 4
  • 2
  • 2
  • 2
  • 1
  • 1
  • 1
  • 1
  • 1
  • 1
Humain

Hôte

  • 141
  • 128
  • 9
  • 7
  • 1
Lapin

Clonalité

  • 204
  • 74
  • 6
Polyclonal

Conjugué

  • 150
  • 16
  • 16
  • 13
  • 8
  • 8
  • 8
  • 6
  • 6
  • 6
  • 6
  • 4
  • 4
  • 3
  • 2
  • 1
  • 1
  • 1
  • 1
  • 1
  • 1
  • 1
  • 1
  • 1
  • 1
  • 1
  • 1
  • 1
  • 1
  • 1
  • 1
  • 1
  • 1
  • 1
  • 1
  • 1
  • 1
  • 1
  • 1
  • 1
  • 1
  • 1
  • 1
Cet anticorp CD147 est non-conjugé

Application

  • 172
  • 127
  • 117
  • 75
  • 45
  • 42
  • 30
  • 24
  • 14
  • 13
  • 11
  • 7
  • 7
  • 4
  • 3
  • 2
  • 2
  • 2
  • 2
  • 2
  • 2
  • 2
  • 2
  • 1
  • 1
  • 1
Western Blotting (WB), Immunohistochemistry (Paraffin-embedded Sections) (IHC (p))
  •  Réactivité croisée

    Humain

    Attributs du produit

    Rabbit Polyclonal antibody to CD147 (basigin (Ok blood group))
    CD147 antibody [N2C3]

    Purification

    Purified by antigen-affinity chromatography.

    Immunogène

    Recombinant protein encompassing a sequence within the center region of human CD147. The exact sequence is proprietary.

    Isotype

    IgG
  • Indications d'application

    WB: 1:500-1:3000. IHC-P: 1:100-1:1000. Optimal dilutions/concentrations should be determined by the researcher. Not tested in other applications.

    Commentaires

    Positive Control: K562 membrane extract

    Validation: Orthogonal

    Restrictions

    For Research Use only
  • Format

    Liquid

    Concentration

    1 mg/mL

    Buffer

    0.1M Tris-Glycine ( pH 7), 10 % Glycerol, 0.01 % Thimerosal

    Agent conservateur

    Thimerosal (Merthiolate)

    Précaution d'utilisation

    This product contains Thimerosal (Merthiolate): a POISONOUS AND HAZARDOUS SUBSTANCE which should be handled by trained staff only.

    Stock

    4 °C,-20 °C

    Stockage commentaire

    Store as concentrated solution. Centrifuge briefly prior to opening vial. For short-term storage (1-2 weeks), store at 4°C. For long-term storage, aliquot and store at -20°C or below. Avoid multiple freeze-thaw cycles.
  • Antigène

    CD147 (BSG) (Basigin (Ok Blood Group) (BSG))

    Autre désignation

    basigin (Ok blood group)

    Sujet

    The protein encoded by this gene is a plasma membrane protein that is important in spermatogenesis, embryo implantation, neural network formation, and tumor progression. The encoded protein is also a member of the immunoglobulin superfamily. Multiple transcript variants encoding different isoforms have been found for this gene.

    Cellular Localization: Cell membrane, Single-pass type I membrane protein , Melanosome , Cell membrane , Melanosome

    Poids moléculaire

    42 kDa

    ID gène

    682

    UniProt

    P35613

    Pathways

    S100 Proteins
Vous êtes ici:
Chat with us!