Tel:
+49 (0)241 95 163 153
Fax:
+49 (0)241 95 163 155
E-Mail:
orders@anticorps-enligne.fr

Glucose-6-Phosphate Dehydrogenase anticorps

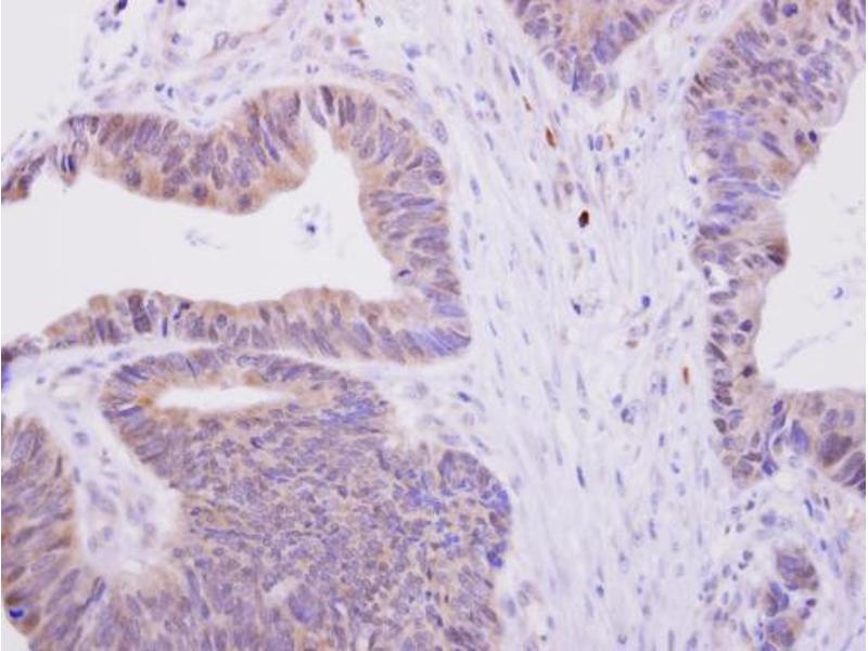
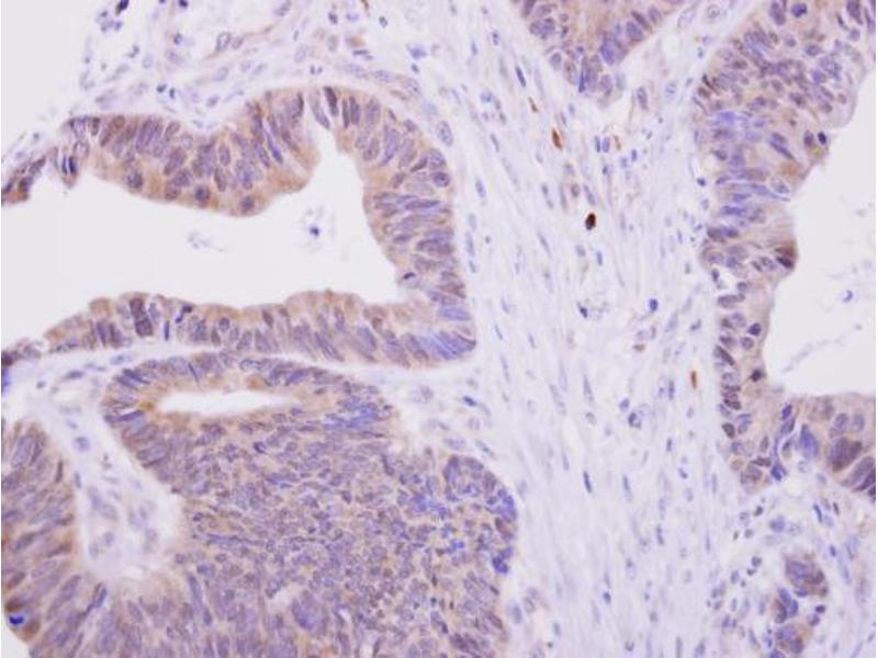
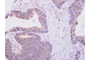
Cet anticorps anti-Glucose-6-Phosphate Dehydrogenase Polyclonal Lapin (ABIN2855070) détecte spécifiquement Glucose-6-Phosphate Dehydrogenase dans WB et IHC (p). L’anticorps est réactif avec des échantillons de Humain.
N° du produit ABIN2855070
583,17 €
Plus frais de livraison 40,00 € et TVA
100 μL
Destination: France
Envoi sous 7 à 10 jours ouvrables

Aperçu rapide pour Glucose-6-Phosphate Dehydrogenase anticorps (ABIN2855070)

Antigène

Voir toutes Glucose-6-Phosphate Dehydrogenase (G6PD) Anticorps
Glucose-6-Phosphate Dehydrogenase (G6PD)

Reactivité

  • 111
  • 55
  • 32
  • 9
  • 7
  • 6
  • 4
  • 4
  • 3
  • 3
  • 2
  • 2
  • 2
  • 2
  • 2
  • 1
Humain

Hôte

  • 139
  • 14
  • 12
Lapin

Clonalité

  • 123
  • 42
Polyclonal

Conjugué

  • 78
  • 24
  • 9
  • 6
  • 4
  • 4
  • 4
  • 4
  • 4
  • 4
  • 3
  • 3
  • 2
  • 2
  • 2
  • 1
  • 1
  • 1
  • 1
  • 1
  • 1
  • 1
  • 1
  • 1
  • 1
  • 1
  • 1
Cet anticorp Glucose-6-Phosphate Dehydrogenase est non-conjugé

Application

  • 123
  • 67
  • 52
  • 40
  • 27
  • 23
  • 16
  • 14
  • 14
  • 14
  • 9
  • 8
  • 8
  • 7
  • 5
  • 4
  • 3
Western Blotting (WB), Immunohistochemistry (Paraffin-embedded Sections) (IHC (p))
  •  Réactivité croisée

    Humain, Souris

    Attributs du produit

    Rabbit Polyclonal antibody to H6PD (hexose-6-phosphate dehydrogenase (glucose 1-dehydrogenase))
    H6PD antibody [N2N3]

    Purification

    Purified by antigen-affinity chromatography.

    Immunogène

    Recombinant protein encompassing a sequence within the center region of human H6PD. The exact sequence is proprietary.

    Isotype

    IgG
  • Indications d'application

    WB: 1:500-1:3000. IHC-P: 1:100-1:1000. Optimal dilutions/concentrations should be determined by the researcher. Not tested in other applications.

    Commentaires

    Positive Control: HepG2 , Mouse liver

    Restrictions

    For Research Use only
  • Format

    Liquid

    Concentration

    0.59 mg/mL

    Buffer

    0.1M Tris-Glycine ( pH 7), 10 % Glycerol, 0.01 % Thimerosal

    Agent conservateur

    Thimerosal (Merthiolate)

    Précaution d'utilisation

    This product contains Thimerosal (Merthiolate): a POISONOUS AND HAZARDOUS SUBSTANCE which should be handled by trained staff only.

    Stock

    4 °C,-20 °C

    Stockage commentaire

    Store as concentrated solution. Centrifuge briefly prior to opening vial. For short-term storage (1-2 weeks), store at 4°C. For long-term storage, aliquot and store at -20°C or below. Avoid multiple freeze-thaw cycles.
  • Antigène

    Glucose-6-Phosphate Dehydrogenase (G6PD)

    Autre désignation

    hexose-6-phosphate dehydrogenase/glucose 1-dehydrogenase

    Sujet

    There are 2 forms of glucose-6-phosphate dehydrogenase. G form is X-linked and H form, encoded by this gene, is autosomally linked. This H form shows activity with other hexose-6-phosphates, especially galactose-6-phosphate, whereas the G form is specific for glucose-6-phosphate. Both forms are present in most tissues, but H form is not found in red cells.

    Cellular Localization: Endoplasmic reticulum lumen

    Poids moléculaire

    89 kDa

    ID gène

    9563

    UniProt

    O95479

    Pathways

    Regulation of Systemic Arterial Blood Pressure by Hormones
Vous êtes ici:
Chat with us!