Tel:
+49 (0)241 95 163 153
Fax:
+49 (0)241 95 163 155
E-Mail:
orders@anticorps-enligne.fr

TIMELESS anticorps (N-Term)

Cet anticorps Lapin Polyclonal détecte spécifiquement TIMELESS dans WB, IF, ICC et IHC (p). Il présente une réactivité avec des échantillons de Humain.
N° du produit ABIN2855809
583,17 €
Plus frais de livraison 40,00 € et TVA
100 μL
Destination: France
Envoi sous 7 à 10 jours ouvrables

Aperçu rapide pour TIMELESS anticorps (N-Term) (ABIN2855809)

Antigène

Voir toutes TIMELESS Anticorps
TIMELESS (Timeless Homolog (TIMELESS))

Reactivité

  • 44
  • 16
  • 13
  • 9
  • 7
  • 6
  • 5
  • 5
  • 4
  • 4
  • 2
  • 1
  • 1
  • 1
  • 1
  • 1
Humain

Hôte

  • 44
  • 3
  • 1
Lapin

Clonalité

  • 34
  • 14
Polyclonal

Conjugué

  • 32
  • 4
  • 3
  • 1
  • 1
  • 1
  • 1
  • 1
  • 1
  • 1
  • 1
  • 1
Cet anticorp TIMELESS est non-conjugé

Application

  • 40
  • 19
  • 15
  • 15
  • 11
  • 9
  • 3
  • 2
  • 1
  • 1
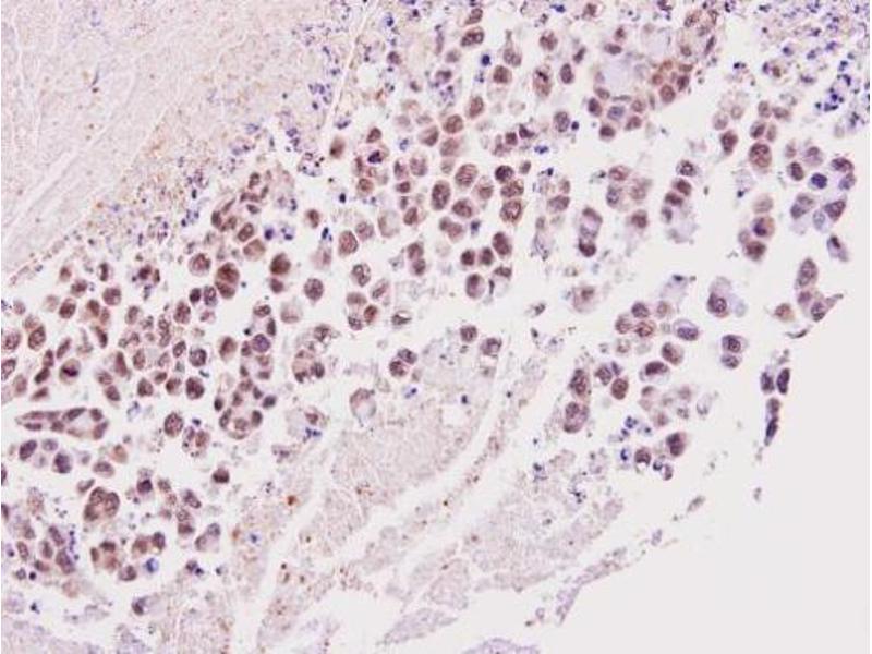
Western Blotting (WB), Immunofluorescence (IF), Immunocytochemistry (ICC), Immunohistochemistry (Paraffin-embedded Sections) (IHC (p))
  • Épitope

    • 7
    • 6
    • 5
    • 4
    • 2
    • 2
    • 1
    • 1
    • 1
    N-Term

     Réactivité croisée

    Souris, Rat (Rattus)

    Réactivité croisée (Details)

    Mouse (91 %), Rat (91 %)

    Attributs du produit

    Rabbit Polyclonal antibody to Timeless (timeless homolog (Drosophila))
    Timeless antibody [N1N2], N-term

    Purification

    Purified by antigen-affinity chromatography.

    Immunogène

    Recombinant protein encompassing a sequence within the N-terminus region of human TIMELESS. The exact sequence is proprietary.

    Isotype

    IgG
  • Indications d'application

    Suggested dilution Reference ICC/IF 1:100-1:1000* IHC (Formalin-fixed paraffin-embedded sections) 1:100-1:1000* Western blot 1:500-1:3000* Not tested in other applications. *Optimal dilutions/concentrations should be determined by the researcher.Suggested dilutionReferenceICC/IF1:100-1:1000* IHC (Formalin-fixed paraffin-embedded sections)1:100-1:1000* Western blot1:500-1:3000*

    Commentaires

    Positive Control: 293T , A431 , H1299 , HeLaS3 , HepG2 , Raji

    Restrictions

    For Research Use only
  • Format

    Liquid

    Concentration

    1 mg/mL

    Buffer

    0.1M Tris, 0.1M Glycine, 10 % Glycerol ( pH 7). 0.01 % Thimerosal was added as a preservative.

    Agent conservateur

    Thimerosal (Merthiolate)

    Précaution d'utilisation

    This product contains Thimerosal (Merthiolate): a POISONOUS AND HAZARDOUS SUBSTANCE which should be handled by trained staff only.

    Stock

    -20 °C

    Stockage commentaire

    Keep as concentrated solution. Aliquot and store at -20°C or below. Avoid multiple freeze-thaw cycles.
  • Antigène

    TIMELESS (Timeless Homolog (TIMELESS))

    Autre désignation

    Timeless

    Sujet

    Required for normal progression of S-phase. Involved in the circadian rhythm autoregulatory loop. Negatively regulates CLOCK-NPAS2/BMAL1-induced transactivation of PER1 possibly via translocation of PER1 into the nucleus. Promotes TIPIN nuclear localiZation. Involved in cell survival after DNA damage or replication stress. May be specifically required for the ATR-CHK1 pathway in the replication checkpoint induced by hydroxyurea or ultraviolet light. May also play an important role in epithelial cell morphogenesis and formation of branching tubules.

    Cellular Localization: Nucleus

    Poids moléculaire

    139 kDa

    ID gène

    8914

    Pathways

    Protein targeting to Nucleus, Photoperiodism
Vous êtes ici:
Chat with us!