Tel:
+49 (0)241 95 163 153
Fax:
+49 (0)241 95 163 155
E-Mail:
orders@anticorps-enligne.fr

ATG4D anticorps (Center)

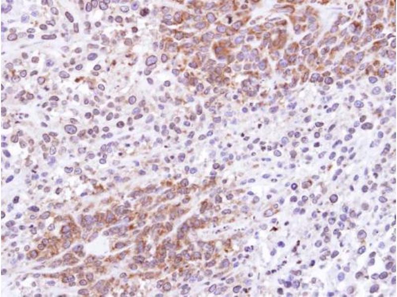
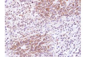
L’anticorps anti-ATG4D Polyclonal Lapin est utilisé pour la détection de ATG4D dans des échantillons de Humain et Souris. Il a été validé pour IHC (p).
N° du produit ABIN2856260
583,17 €
Plus frais de livraison 40,00 € et TVA
100 μL
Destination: France
Envoi sous 7 à 10 jours ouvrables

Aperçu rapide pour ATG4D anticorps (Center) (ABIN2856260)

Antigène

Voir toutes ATG4D Anticorps
ATG4D (Autophagy related 4D Cysteine Peptidase (ATG4D))

Reactivité

  • 46
  • 42
  • 3
  • 2
  • 2
  • 2
  • 1
  • 1
  • 1
Humain, Souris

Hôte

  • 66
  • 10
  • 1
Lapin

Clonalité

  • 67
  • 10
Polyclonal

Conjugué

  • 29
  • 6
  • 5
  • 5
  • 2
  • 2
  • 2
  • 2
  • 2
  • 2
  • 2
  • 2
  • 2
  • 2
  • 2
  • 2
  • 2
  • 1
  • 1
  • 1
  • 1
  • 1
  • 1
Cet anticorp ATG4D est non-conjugé

Application

  • 65
  • 28
  • 26
  • 26
  • 15
  • 10
  • 7
  • 6
  • 6
  • 2
  • 1
  • 1
Immunohistochemistry (Paraffin-embedded Sections) (IHC (p))
  • Épitope

    • 15
    • 15
    • 7
    • 7
    • 4
    • 3
    • 2
    • 2
    • 2
    • 2
    • 1
    • 1
    • 1
    • 1
    • 1
    • 1
    • 1
    • 1
    • 1
    Center

     Réactivité croisée

    Boeuf (Vache), Porc, Rat (Rattus)

    Réactivité croisée (Details)

    Mouse (95 %), Pig (97 %), Rat (95 %), Bovine (98 %)

    Attributs du produit

    Rabbit polyclonal antibody to ATG4D (ATG4 autophagy related 4 homolog D (S. cerevisiae))
    ATG4D antibody [N3C3]

    Purification

    Purified by antigen-affinity chromatography.

    Immunogène

    Recombinant protein encompassing a sequence within the center region of human ATG4D. The exact sequence is proprietary.

    Isotype

    IgG
  • Indications d'application

    Suggested dilution Reference IHC (Formalin-fixed paraffin-embedded sections) 1:100-1:1000* Not tested in other applications. *Optimal dilutions/concentrations should be determined by the researcher.Suggested dilutionReferenceIHC (Formalin-fixed paraffin-embedded sections)1:100-1:1000*

    Restrictions

    For Research Use only
  • Format

    Liquid

    Concentration

    0.52 mg/mL

    Buffer

    1XPBS, 1 % BSA, 20 % Glycerol ( pH 7). 0.01 % Thimerosal was added as a preservative.

    Agent conservateur

    Thimerosal (Merthiolate)

    Précaution d'utilisation

    This product contains Thimerosal (Merthiolate): a POISONOUS AND HAZARDOUS SUBSTANCE which should be handled by trained staff only.

    Stock

    -20 °C

    Stockage commentaire

    Keep as concentrated solution. Aliquot and store at -20°C or below. Avoid multiple freeze-thaw cycles.
  • Antigène

    ATG4D (Autophagy related 4D Cysteine Peptidase (ATG4D))

    Autre désignation

    ATG4D

    Sujet

    Autophagy is the process by which endogenous proteins and damaged organelles are destroyed intracellularly. Autophagy is postulated to be essential for cell homeostasis and cell remodeling during differentiation, metamorphosis, non-apoptotic cell death, and aging. Reduced levels of autophagy have been described in some malignant tumors, and a role for autophagy in controlling the unregulated cell growth linked to cancer has been proposed. This gene encodes a member of the autophagin protein family. The encoded protein is also designated as a member of the C-54 family of cysteine proteases.

    Cellular Localization: Cytoplasm

    Poids moléculaire

    53 kDa

    ID gène

    84971

    Pathways

    Autophagy
Vous êtes ici:
Chat with us!