PRPSAP2 anticorps
Aperçu rapide pour PRPSAP2 anticorps (ABIN2856518)
Antigène
Voir toutes PRPSAP2 AnticorpsReactivité
Hôte
Clonalité
Conjugué
Application
-
-
Réactivité croisée
- Hamster, Humain, Souris
-
Attributs du produit
-
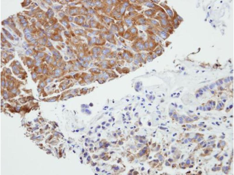
Rabbit Polyclonal antibody to PRPSAP2 (phosphoribosyl pyrophosphate synthetase-associated protein 2)
PRPSAP2 antibody [N1C3] -
Purification
- Purified by antigen-affinity chromatography.
-
Immunogène
- Recombinant protein encompassing a sequence within the center region of human PRPSAP2. The exact sequence is proprietary.
-
Isotype
- IgG
-
-
-
-
Indications d'application
- WB: 1:500-1:3000. ICC/IF: 1:100-1:1000. IHC-P: 1:100-1:1000. Optimal dilutions/concentrations should be determined by the researcher. Not tested in other applications.
-
Commentaires
-
Positive Control: Mouse liver , HeLaS3
-
Restrictions
- For Research Use only
-
-
-
Format
- Liquid
-
Concentration
- 1 mg/mL
-
Buffer
- 0.1M Tris-Glycine ( pH 7), 10 % Glycerol, 0.01 % Thimerosal
-
Agent conservateur
- Thimerosal (Merthiolate)
-
Précaution d'utilisation
- This product contains Thimerosal (Merthiolate): a POISONOUS AND HAZARDOUS SUBSTANCE which should be handled by trained staff only.
-
Stock
- 4 °C,-20 °C
-
Stockage commentaire
- Store as concentrated solution. Centrifuge briefly prior to opening vial. For short-term storage (1-2 weeks), store at 4°C. For long-term storage, aliquot and store at -20°C or below. Avoid multiple freeze-thaw cycles.
-
-
- PRPSAP2 (phosphoribosyl Pyrophosphate Synthetase-Associated Protein 2 (PRPSAP2))
-
Autre désignation
- phosphoribosyl pyrophosphate synthetase associated protein 2
-
Sujet
-
The enzyme phosphoribosylpyrophosphate synthetase (PRS) catalyzes the formation of phosphoribosylpyrophosphate which is a substrate for synthesis of purine and pyrimidine nucleotides, histidine, tryptophan and NAD. PRS exists as a complex with two catalytic subunits and two associated subunits. This gene encodes a non-catalytic associated subunit of PRS.
-
Poids moléculaire
- 41 kDa
-
ID gène
- 5636
-
UniProt
- O60256
Antigène
-