Tel:
+49 (0)241 95 163 153
Fax:
+49 (0)241 95 163 155
E-Mail:
orders@anticorps-enligne.fr

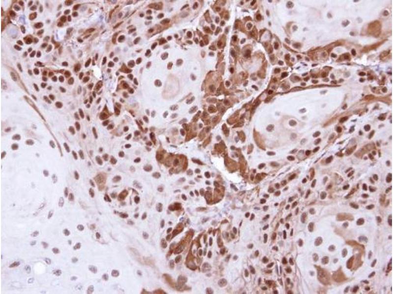
DDB1 anticorps (C-Term)

L’anticorps anti-DDB1 Polyclonal Lapin est utilisé pour la détection de DDB1 dans des échantillons de Humain. Il a été validé pour WB, IF, ICC et IHC (p).
N° du produit ABIN2857079
583,17 €
Plus frais de livraison 40,00 € et TVA
100 μL
Destination: France
Envoi sous 7 à 10 jours ouvrables

Aperçu rapide pour DDB1 anticorps (C-Term) (ABIN2857079)

Antigène

Voir toutes DDB1 Anticorps
DDB1 (Damage Specific DNA Binding Protein 1 (DDB1))

Reactivité

  • 59
  • 36
  • 32
  • 2
  • 2
  • 1
  • 1
  • 1
  • 1
Humain

Hôte

  • 49
  • 9
  • 1
Lapin

Clonalité

  • 36
  • 23
Polyclonal

Conjugué

  • 39
  • 3
  • 2
  • 2
  • 2
  • 2
  • 2
  • 2
  • 2
  • 1
  • 1
  • 1
Cet anticorp DDB1 est non-conjugé

Application

  • 44
  • 26
  • 24
  • 17
  • 15
  • 11
  • 10
  • 3
  • 2
  • 2
  • 2
  • 2
  • 1
  • 1
Western Blotting (WB), Immunofluorescence (IF), Immunocytochemistry (ICC), Immunohistochemistry (Paraffin-embedded Sections) (IHC (p))

Classe de qualité

KO Validated
  • Épitope

    • 9
    • 5
    • 2
    • 2
    • 1
    • 1
    • 1
    • 1
    • 1
    • 1
    • 1
    • 1
    • 1
    C-Term

     Réactivité croisée

    Humain, Souris, Rat

    Attributs du produit

    Rabbit Polyclonal antibody to DDB1 (damage-specific DNA binding protein 1, 127 kDa)
    DDB1 antibody

    Purification

    Purified by antigen-affinity chromatography.

    Immunogène

    Recombinant protein encompassing a sequence within the C-terminus region of human DDB1. The exact sequence is proprietary.

    Isotype

    IgG
  • Indications d'application

    WB: 1:500-1:10000. ICC/IF: 1:100-1:1000. IHC-P: 1:100-1:1000. Optimal dilutions/concentrations should be determined by the researcher. Not tested in other applications.

    Commentaires

    Positive Control: NIH-3T3 , Mouse brain , PC-12 , Rat2 , rat brain , 293T

    Validation: KO/KD

    Restrictions

    For Research Use only
  • Format

    Liquid

    Concentration

    0.34 mg/mL

    Buffer

    1XPBS ( pH 7), 1 % BSA, 20 % Glycerol, 0.025 % ProClin 300

    Agent conservateur

    ProClin

    Précaution d'utilisation

    This product contains ProClin: a POISONOUS AND HAZARDOUS SUBSTANCE which should be handled by trained staff only.

    Stock

    4 °C,-20 °C

    Stockage commentaire

    Store as concentrated solution. Centrifuge briefly prior to opening vial. For short-term storage (1-2 weeks), store at 4°C. For long-term storage, aliquot and store at -20°C or below. Avoid multiple freeze-thaw cycles.
  • Antigène

    DDB1 (Damage Specific DNA Binding Protein 1 (DDB1))

    Autre désignation

    damage specific DNA binding protein 1

    Sujet

    This gene encodes the large subunit of DNA damage-binding protein which is a heterodimer composed of a large and a small subunit. This protein functions in nucleotide-excision repair. Its defective activity causes the repair defect in the patients with xeroderma pigmentosum complementation group E (XPE). However, it remains for mutation analysis to demonstrate whether the defect in XPE patients is in this gene or the gene encoding the small subunit. In addition, Best vitelliform mascular dystrophy is mapped to the same region as this gene on 11q, but no sequence alternations of this gene are demonstrated in Best disease patients.

    Cellular Localization: Cytoplasm , Nucleus

    Poids moléculaire

    127 kDa

    ID gène

    1642

    UniProt

    Q16531

    Pathways

    Réparation de l'ADN
Vous êtes ici:
Chat with us!