Tel:
+49 (0)241 95 163 153
Fax:
+49 (0)241 95 163 155
E-Mail:
orders@anticorps-enligne.fr

RMDN3 anticorps

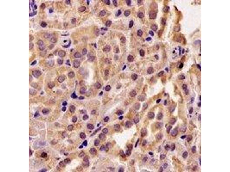
Cet anticorps Lapin Polyclonal détecte spécifiquement RMDN3 dans WB et IHC. Il présente une réactivité avec des échantillons de Humain, Souris et Rat.
N° du produit ABIN7306420
330,77 €
Plus frais de livraison 40,00 € et TVA
Destination: France
Envoi sous 17 à 20 jours ouvrables

Aperçu rapide pour RMDN3 anticorps (ABIN7306420)

Antigène

Voir toutes RMDN3 (FAM82A2) Anticorps
RMDN3 (FAM82A2) (Family with Sequence Similarity 82, Member A2 (FAM82A2))

Reactivité

  • 51
  • 15
  • 7
  • 5
  • 4
  • 4
  • 4
  • 3
  • 2
  • 1
  • 1
  • 1
Humain, Souris, Rat

Hôte

  • 49
  • 2
Lapin

Clonalité

  • 51
Polyclonal

Conjugué

  • 20
  • 3
  • 3
  • 2
  • 2
  • 2
  • 2
  • 2
  • 2
  • 2
  • 1
  • 1
  • 1
  • 1
  • 1
  • 1
  • 1
  • 1
  • 1
  • 1
  • 1
Cet anticorp RMDN3 est non-conjugé

Application

  • 30
  • 13
  • 13
  • 12
  • 8
  • 4
  • 3
  • 3
  • 3
  • 1
  • 1
  • 1
Western Blotting (WB), Immunohistochemistry (IHC)
Vous êtes ici:
Chat with us!