Tel:
+49 (0)241 95 163 153
Fax:
+49 (0)241 95 163 155
E-Mail:
orders@anticorps-enligne.fr

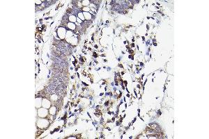
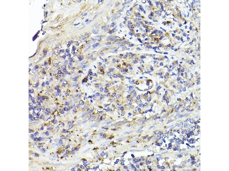
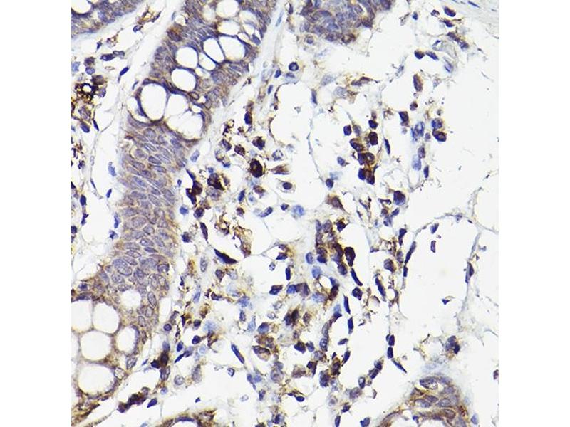
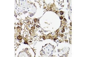
IL-6 Receptor anticorps (AA 20-320)

L’anticorps anti-IL-6 Receptor Polyclonal Lapin est utilisé pour la détection de IL-6 Receptor dans des échantillons de Humain. Il a été validé pour WB et IHC.
N° du produit ABIN3015522
320,00 €
Plus frais de livraison 40,00 € et TVA
Destination: France
Envoi sous 8 à 10 jours ouvrables

Aperçu rapide pour IL-6 Receptor anticorps (AA 20-320) (ABIN3015522)

Antigène

Voir toutes IL-6 Receptor (IL6R) Anticorps
IL-6 Receptor (IL6R) (Interleukin 6 Receptor (IL6R))

Reactivité

  • 67
  • 24
  • 21
Humain

Hôte

  • 44
  • 36
  • 9
  • 8
  • 1
Lapin

Clonalité

  • 52
  • 45
  • 1
Polyclonal

Conjugué

  • 60
  • 16
  • 7
  • 5
  • 5
  • 2
  • 1
  • 1
  • 1
Cet anticorp IL-6 Receptor est non-conjugé

Application

  • 54
  • 28
  • 25
  • 22
  • 14
  • 14
  • 6
  • 4
  • 4
  • 3
  • 3
  • 3
  • 3
  • 3
  • 2
  • 2
  • 1
  • 1
Western Blotting (WB), Immunohistochemistry (IHC)
  • Épitope

    • 4
    • 3
    • 3
    • 3
    • 3
    • 3
    • 2
    • 2
    • 2
    • 2
    • 2
    • 2
    • 1
    • 1
    • 1
    • 1
    • 1
    • 1
    • 1
    • 1
    • 1
    • 1
    • 1
    AA 20-320

    Séquence

    LAPRRCPAQE VARGVLTSLP GDSVTLTCPG VEPEDNATVH WVLRKPAAGS HPSRWAGMGR RLLLRSVQLH DSGNYSCYRA GRPAGTVHLL VDVPPEEPQL SCFRKSPLSN VVCEWGPRST PSLTTKAVLL VRKFQNSPAE DFQEPCQYSQ ESQKFSCQLA VPEGDSSFYI VSMCVASSVG SKFSKTQTFQ GCGILQPDPP ANITVTAVAR NPRWLSVTWQ DPHSWNSSFY RLRFELRYRA ERSKTFTTWM VKDLQHHCVI HDAWSGLRHV VQLRAQEEFG QGEWSEWSPE AMGTPWTESR S

     Réactivité croisée

    Humain, Souris, Rat

    Attributs du produit

    Polyclonal Antibodies

    Immunogène

    Recombinant fusion protein containing a sequence corresponding to amino acids 20-320 of human IL6R (NP_000556.1).

    Isotype

    IgG
  • Indications d'application

    WB,1:500 - 1:2000,IHC,1:50 - 1:200

    Restrictions

    For Research Use only
  • Buffer

    PBS with 0.02 % sodium azide,50 % glycerol, pH 7.3.

    Agent conservateur

    Sodium azide

    Précaution d'utilisation

    This product contains Sodium azide: a POISONOUS AND HAZARDOUS SUBSTANCE which should be handled by trained staff only.

    Stock

    -20 °C

    Stockage commentaire

    Store at -20°C. Avoid freeze / thaw cycles.
  • Antigène

    IL-6 Receptor (IL6R) (Interleukin 6 Receptor (IL6R))

    Autre désignation

    IL6R

    Sujet

    This gene encodes a subunit of the interleukin 6 (IL6) receptor complex. Interleukin 6 is a potent pleiotropic cytokine that regulates cell growth and differentiation and plays an important role in the immune response. The IL6 receptor is a protein complex consisting of this protein and interleukin 6 signal transducer (IL6ST/GP130/IL6-beta), a receptor subunit also shared by many other cytokines. Dysregulated production of IL6 and this receptor are implicated in the pathogenesis of many diseases, such as multiple myeloma, autoimmune diseases and prostate cancer. Alternatively spliced transcript variants encoding distinct isoforms have been reported. A pseudogene of this gene is found on chromosome 9.,IL6R,CD126,IL-6R-1,IL-6RA,IL6Q,IL6RA,IL6RQ,gp80,Immunology & Inflammation,CD markers,Cytokines,Interleukins,Cell Intrinsic Innate Immunity Signaling Pathway,Stem Cells,Hematopoietic Progenitors,IL6R

    Poids moléculaire

    40 kDa/51 kDa

    ID gène

    3570

    UniProt

    P08887

    Pathways

    Signalistation JAK/STAT, Autophagy, Growth Factor Binding, Cancer Immune Checkpoints
Vous êtes ici:
Chat with us!