Tel:
+49 (0)241 95 163 153
Fax:
+49 (0)241 95 163 155
E-Mail:
orders@anticorps-enligne.fr

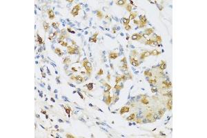
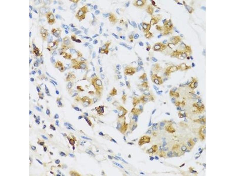
RNASE3 anticorps (AA 28-160)

Cet anticorps anti-RNASE3 Polyclonal Lapin (ABIN3015631) détecte spécifiquement RNASE3 dans IHC. L’anticorps est réactif avec des échantillons de Humain.
N° du produit ABIN3015631
320,00 €
Plus frais de livraison 40,00 € et TVA
Destination: France
Envoi sous 8 à 10 jours ouvrables

Aperçu rapide pour RNASE3 anticorps (AA 28-160) (ABIN3015631)

Antigène

Voir toutes RNASE3 (ECP) Anticorps
RNASE3 (ECP) (Eosinophil Cationic Protein (ECP))

Reactivité

  • 57
  • 19
  • 17
Humain

Hôte

  • 65
  • 13
  • 1
Lapin

Clonalité

  • 63
  • 16
Polyclonal

Conjugué

  • 32
  • 10
  • 5
  • 5
  • 2
  • 2
  • 2
  • 2
  • 2
  • 2
  • 2
  • 2
  • 1
  • 1
  • 1
  • 1
  • 1
  • 1
  • 1
  • 1
  • 1
  • 1
  • 1
Cet anticorp RNASE3 est non-conjugé

Application

  • 49
  • 23
  • 22
  • 21
  • 18
  • 12
  • 11
  • 10
  • 9
  • 4
  • 2
Immunohistochemistry (IHC)
  • Épitope

    • 15
    • 12
    • 7
    • 6
    • 6
    • 4
    • 2
    • 2
    • 1
    • 1
    AA 28-160

    Séquence

    RPPQFTRAQW FAIQHISLNP PRCTIAMRAI NNYRWRCKNQ NTFLRTTFAN VVNVCGNQSI RCPHNRTLNN CHRSRFRVPL LHCDLINPGA QNISNCTYAD RPGRRFYVVA CDNRDPRDSP RYPVVPVHLD TTI

     Réactivité croisée

    Humain

    Attributs du produit

    Polyclonal Antibodies

    Immunogène

    Recombinant fusion protein containing a sequence corresponding to amino acids 28-160 of human RNASE3 (NP_002926.2).

    Isotype

    IgG
  • Indications d'application

    IHC,1:50 - 1:100

    Restrictions

    For Research Use only
  • Buffer

    PBS with 0.02 % sodium azide,50 % glycerol, pH 7.3.

    Agent conservateur

    Sodium azide

    Précaution d'utilisation

    This product contains Sodium azide: a POISONOUS AND HAZARDOUS SUBSTANCE which should be handled by trained staff only.

    Stock

    -20 °C

    Stockage commentaire

    Store at -20°C. Avoid freeze / thaw cycles.
  • Antigène

    RNASE3 (ECP) (Eosinophil Cationic Protein (ECP))

    Autre désignation

    RNASE3

    Sujet

    The protein encoded by this gene belongs to the pancreatic ribonuclease family, a subset of the ribonuclease A superfamily. The protein exhibits antimicrobial activity against pathogenic bacteria,RNASE3,ECP,RAF1,RNS3,RNASE3

    Poids moléculaire

    18 kDa

    ID gène

    6037

    UniProt

    P12724
Vous êtes ici:
Chat with us!