Tel:
+49 (0)241 95 163 153
Fax:
+49 (0)241 95 163 155
E-Mail:
orders@anticorps-enligne.fr

RNASE3 anticorps (AA 30-154)

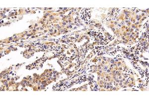
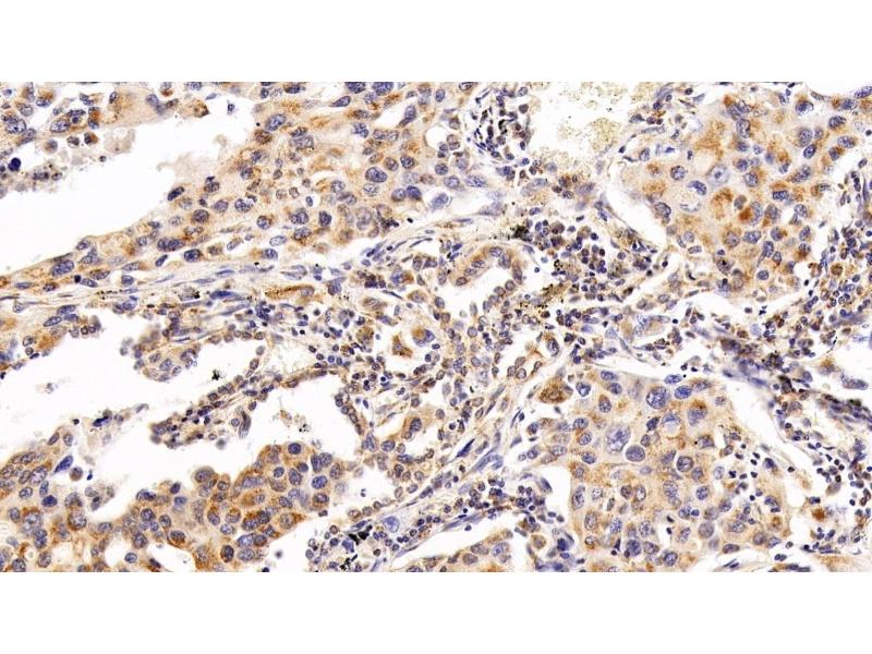
Cet anticorps anti-RNASE3 Polyclonal Lapin (ABIN7434023) détecte spécifiquement RNASE3 dans WB, IHC, IP et ICC. L’anticorps est réactif avec des échantillons de Humain.
N° du produit ABIN7434023
298,22 €
Plus frais de livraison 40,00 € et TVA
Destination: France
Envoi sous 11 à 15 jours ouvrables

Aperçu rapide pour RNASE3 anticorps (AA 30-154) (ABIN7434023)

Antigène

Voir toutes RNASE3 (ECP) Anticorps
RNASE3 (ECP) (Eosinophil Cationic Protein (ECP))

Reactivité

  • 56
  • 19
  • 18
Humain

Hôte

  • 64
  • 13
  • 1
Lapin

Clonalité

  • 62
  • 16
Polyclonal

Conjugué

  • 31
  • 10
  • 5
  • 5
  • 2
  • 2
  • 2
  • 2
  • 2
  • 2
  • 2
  • 2
  • 1
  • 1
  • 1
  • 1
  • 1
  • 1
  • 1
  • 1
  • 1
  • 1
  • 1
Cet anticorp RNASE3 est non-conjugé

Application

  • 48
  • 23
  • 21
  • 21
  • 17
  • 12
  • 10
  • 10
  • 9
  • 4
  • 2
Western Blotting (WB), Immunohistochemistry (IHC), Immunoprecipitation (IP), Immunocytochemistry (ICC)
  • Épitope

    • 15
    • 12
    • 7
    • 7
    • 5
    • 4
    • 2
    • 2
    • 1
    • 1
    AA 30-154

    Fonction

    Polyclonal Antibody to Ribonuclease A3 (RNASE3)

    Specificité

    The antibody is a rabbit polyclonal antibody raised against RNASE3. It has been selected for its ability to recognize RNASE3 in immunohistochemical staining and western blotting.

    Purification

    Antigen-specific affinity chromatography followed by Protein A affinity chromatography

    Immunogène

    Recombinant Ribonuclease A3 (RNASE3) corresdonding to Pro30~Val154 with N-terminal His Tag

    Isotype

    IgG
  • Indications d'application

    Western blotting: 0.5-2 μg/mL,Immunohistochemistry: 5-20 μg/mL,Immunocytochemistry: 5-20 μg/mL,Optimal working dilutions must be determined by end user.

    Commentaires

    The thermal stability is described by the loss rate. The loss rate was determined by accelerated thermal degradation test, that is, incubate the protein at 37°C for 48h, and no obvious degradation and precipitation were observed. The loss rate is less than 5% within the expiration date under appropriate storage condition.

    Restrictions

    For Research Use only
  • Format

    Liquid

    Concentration

    0.67 mg/mL

    Buffer

    0.01M PBS, pH 7.4, containing 0.05 % Proclin-300, 50 % glycerol.

    Agent conservateur

    ProClin

    Précaution d'utilisation

    This product contains ProClin: a POISONOUS AND HAZARDOUS SUBSTANCE which should be handled by trained staff only.

    Stock

    4 °C,-20 °C

    Stockage commentaire

    Store at 4°C for frequent use. Stored at -20°C in a manual defrost freezer for two year without detectable loss of activity. Avoid repeated freeze-thaw cycles.

    Date de péremption

    24 months
  • Antigène

    RNASE3 (ECP) (Eosinophil Cationic Protein (ECP))

    Autre désignation

    RNASE3

    Sujet

    Rnase-A3, RnaseA3, ECP, RNS3, Ribonuclease,RNase A Family 3, Eosinophil Cationic Protein

    UniProt

    P12724
Vous êtes ici:
Chat with us!