Tel:
+49 (0)241 95 163 153
Fax:
+49 (0)241 95 163 155
E-Mail:
orders@anticorps-enligne.fr

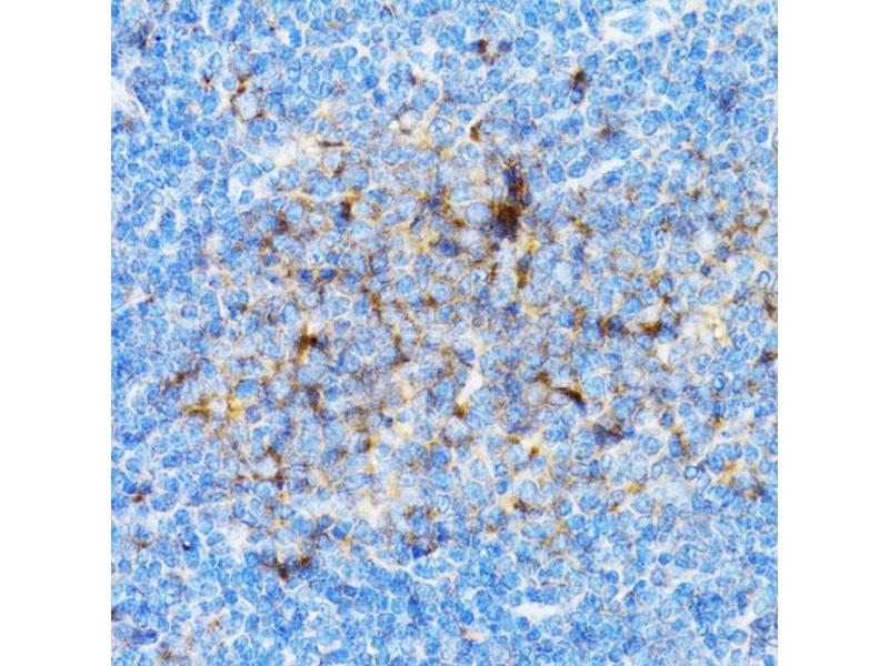
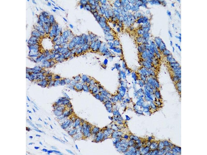
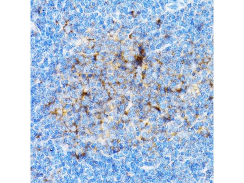
SIAH1 anticorps (AA 1-313)

Cet anticorps anti-SIAH1 Polyclonal Lapin (ABIN3016132) détecte spécifiquement SIAH1 dans WB, IHC et IF. L’anticorps est réactif avec des échantillons de Humain.
N° du produit ABIN3016132
320,00 €
Plus frais de livraison 40,00 € et TVA
Destination: France
Envoi sous 8 à 10 jours ouvrables

Aperçu rapide pour SIAH1 anticorps (AA 1-313) (ABIN3016132)

Antigène

Voir toutes SIAH1 Anticorps
SIAH1 (E3 Ubiquitin-Protein Ligase SIAH1 (SIAH1))

Reactivité

  • 39
  • 33
  • 32
  • 8
  • 7
  • 6
  • 4
  • 4
  • 4
  • 3
  • 3
  • 2
  • 2
  • 2
  • 2
  • 1
Humain

Hôte

  • 51
  • 2
  • 2
Lapin

Clonalité

  • 53
  • 2
Polyclonal

Conjugué

  • 22
  • 4
  • 2
  • 2
  • 2
  • 2
  • 2
  • 2
  • 2
  • 2
  • 1
  • 1
  • 1
  • 1
  • 1
  • 1
  • 1
  • 1
  • 1
  • 1
  • 1
  • 1
  • 1
Cet anticorp SIAH1 est non-conjugé

Application

  • 39
  • 18
  • 13
  • 13
  • 7
  • 5
  • 4
  • 3
  • 1
  • 1
  • 1
  • 1
Western Blotting (WB), Immunohistochemistry (IHC), Immunofluorescence (IF)
  • Épitope

    • 15
    • 7
    • 7
    • 2
    • 2
    • 2
    • 1
    • 1
    • 1
    • 1
    • 1
    • 1
    AA 1-313

    Séquence

    MTGKATPPSL YSWRGVLFTC LPAARTRKRK EMSRQTATAL PTGTSKCPPS QRVPALTGTT ASNNDLASLF ECPVCFDYVL PPILQCQSGH LVCSNCRPKL TCCPTCRGPL GSIRNLAMEK VANSVLFPCK YASSGCEITL PHTEKADHEE LCEFRPYSCP CPGASCKWQG SLDAVMPHLM HQHKSITTLQ GEDIVFLATD INLPGAVDWV MMQSCFGFHF MLVLEKQEKY DGHQQFFAIV QLIGTRKQAE NFAYRLELNG HRRRLTWEAT PRSIHEGIAT AIMNSDCLVF DTSIAQLFAE NGNLGINVTI SMC

     Réactivité croisée

    Humain, Souris, Rat

    Attributs du produit

    Polyclonal Antibodies

    Immunogène

    Recombinant fusion protein containing a sequence corresponding to amino acids 1-313 of human SIAH1 (NP_001006611.1).

    Isotype

    IgG
  • Indications d'application

    WB,1:500 - 1:2000,IHC,1:50 - 1:200,IF,1:50 - 1:200

    Restrictions

    For Research Use only
  • Buffer

    PBS with 0.02 % sodium azide,50 % glycerol, pH 7.3.

    Agent conservateur

    Sodium azide

    Précaution d'utilisation

    This product contains Sodium azide: a POISONOUS AND HAZARDOUS SUBSTANCE which should be handled by trained staff only.

    Stock

    -20 °C

    Stockage commentaire

    Store at -20°C. Avoid freeze / thaw cycles.
  • Antigène

    SIAH1 (E3 Ubiquitin-Protein Ligase SIAH1 (SIAH1))

    Autre désignation

    SIAH1

    Sujet

    This gene encodes a protein that is a member of the seven in absentia homolog (SIAH) family. The protein is an E3 ligase and is involved in ubiquitination and proteasome-mediated degradation of specific proteins. The activity of this ubiquitin ligase has been implicated in the development of certain forms of Parkinson's disease, the regulation of the cellular response to hypoxia and induction of apoptosis. Alternative splicing results in several additional transcript variants, some encoding different isoforms and others that have not been fully characterized.,SIAH1,SIAH1A,Cell Biology & Developmental Biology,Apoptosis,Ubiquitin,Ubiquitin-Proteasome Signaling Pathway,Neuroscience,Neurodegenerative Diseases,Dopamine Signaling in Parkinson's Disease,SIAH1

    Poids moléculaire

    21 kDa/31 kDa/34 kDa

    ID gène

    6477

    UniProt

    Q8IUQ4
Vous êtes ici:
Chat with us!