Tel:
+49 (0)241 95 163 153
Fax:
+49 (0)241 95 163 155
E-Mail:
orders@anticorps-enligne.fr

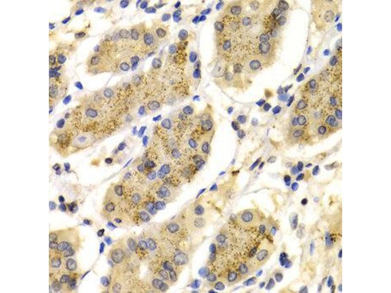
PRG2 anticorps (AA 17-222)

Cet anticorps anti-PRG2 Polyclonal Lapin (ABIN3016204) détecte spécifiquement PRG2 dans WB, IHC et IF. L’anticorps est réactif avec des échantillons de Humain.
N° du produit ABIN3016204
320,00 €
Plus frais de livraison 40,00 € et TVA
Destination: France
Envoi sous 8 à 10 jours ouvrables

Aperçu rapide pour PRG2 anticorps (AA 17-222) (ABIN3016204)

Antigène

Voir toutes PRG2 Anticorps
PRG2 (Bone Marrow Proteoglycan (PRG2))

Reactivité

  • 46
  • 5
  • 5
  • 2
  • 1
Humain

Hôte

  • 43
  • 9
Lapin

Clonalité

  • 45
  • 7
Polyclonal

Conjugué

  • 15
  • 10
  • 6
  • 3
  • 1
  • 1
  • 1
  • 1
  • 1
  • 1
  • 1
  • 1
  • 1
  • 1
  • 1
  • 1
  • 1
  • 1
  • 1
  • 1
  • 1
  • 1
Cet anticorp PRG2 est non-conjugé

Application

  • 38
  • 18
  • 13
  • 13
  • 9
  • 9
  • 7
  • 3
  • 2
  • 1
  • 1
Western Blotting (WB), Immunohistochemistry (IHC), Immunofluorescence (IF)
  • Épitope

    • 15
    • 4
    • 4
    • 3
    • 3
    • 3
    • 3
    • 2
    • 2
    • 2
    • 1
    • 1
    • 1
    AA 17-222

    Séquence

    LHLRSETSTF ETPLGAKTLP EDEETPEQEM EETPCRELEE EEEWGSGSED ASKKDGAVES ISVPDMVDKN LTCPEEEDTV KVVGIPGCQT CRYLLVRSLQ TFSQAWFTCR RCYRGNLVSI HNFNINYRIQ CSVSALNQGQ VWIGGRITGS GRCRRFQWVD GSRWNFAYWA AHQPWSRGGH CVALCTRGGH WRRAHCLRRL PFICSY

     Réactivité croisée

    Humain, Souris, Rat

    Attributs du produit

    Polyclonal Antibodies

    Immunogène

    Recombinant fusion protein containing a sequence corresponding to amino acids 17-222 of human PRG2 (NP_002719.3).

    Isotype

    IgG
  • Indications d'application

    WB,1:500 - 1:2000,IHC,1:50 - 1:200,IF,1:50 - 1:200

    Restrictions

    For Research Use only
  • Buffer

    PBS with 0.02 % sodium azide,50 % glycerol, pH 7.3.

    Agent conservateur

    Sodium azide

    Précaution d'utilisation

    This product contains Sodium azide: a POISONOUS AND HAZARDOUS SUBSTANCE which should be handled by trained staff only.

    Stock

    -20 °C

    Stockage commentaire

    Store at -20°C. Avoid freeze / thaw cycles.
  • Antigène

    PRG2 (Bone Marrow Proteoglycan (PRG2))

    Autre désignation

    PRG2

    Sujet

    The protein encoded by this gene is the predominant constituent of the crystalline core of the eosinophil granule. High levels of the proform of this protein are also present in placenta and pregnancy serum, where it exists as a complex with several other proteins including pregnancy-associated plasma protein A (PAPPA), angiotensinogen (AGT), and C3dg. This protein may be involved in antiparasitic defense mechanisms as a cytotoxin and helminthotoxin, and in immune hypersensitivity reactions. The encoded protein contains a peptide that displays potent antimicrobial activity against Gram-positive bacteria, Gram-negative bacteria, and fungi. It is directly implicated in epithelial cell damage, exfoliation, and bronchospasm in allergic diseases. Alternatively spliced transcript variants encoding different isoforms have been found for this gene.,PRG2,BMPG,MBP,MBP1,proMBP,PRG2

    Poids moléculaire

    23 kDa/25 kDa

    ID gène

    5553

    UniProt

    P13727
Vous êtes ici:
Chat with us!