Tel:
+49 (0)241 95 163 153
Fax:
+49 (0)241 95 163 155
E-Mail:
orders@anticorps-enligne.fr

PRG2 Anticorps

(Bone Marrow Proteoglycan (PRG2))

Choisissez l’un des 53 anticorps PRG2 de notre liste de produits basés sur 1 publication et 12 images de validation.

Découvrez des anticorps PRG2 fiables issus d’une large sélection de fabricants renommés. Notre portefeuille permet une détection précise de PRG2 dans plusieurs espèces, y compris Human, Mouse, Rat, Guinea Pig, Cow, et prend en charge diverses applications de recherche telles que WB, ELISA, IF (cc), IF (p), IHC.

Trouvez rapidement l’anticorps adapté grâce à nos outils de recherche, de filtrage et de comparaison. Chaque page produit fournit des données de validation détaillées, des références bibliographiques et des retours d’utilisateurs. Contrairement aux ressources dédiées uniquement à la comparaison, vous pouvez acheter directement les anticorps sur notre site. Choisissez parmi des anticorps polyclonaux, monoclonaux ou recombinants PRG2, issus de différents hôtes tels que Rabbit, Mouse. Parcourez nos produits ci-dessous et commandez directement pour soutenir vos recherches en toute confiance.

Les noms alternatifs de PRG2 sont Prg2, PRG2.

53 Résultats

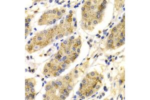
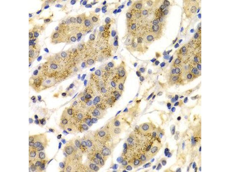
PRG2 Reactivité: Humain WB, IHC, IF Hôte: Lapin Polyclonal unconjugated
N° du produit ABIN3016204
320,00 €
Plus frais de livraison 40,00 € et TVA
100 μL (Autres quantités disponibles)
Destination: France
Envoi sous 8 à 10 jours ouvrables
 
PRG2 Reactivité: Humain WB, IHC (p) Hôte: Lapin Polyclonal RB27160 unconjugated
N° du produit ABIN651919
434,77 €
Plus frais de livraison 40,00 € et TVA
400 μL (Autres quantités disponibles)
Destination: France
Envoi sous 14 à 17 jours ouvrables
 
PRG2 Reactivité: Humain, Souris WB, ELISA, IHC, IF, ICC Hôte: Lapin Polyclonal unconjugated
N° du produit ABIN6264418
525,71 €
Plus frais de livraison 40,00 € et TVA
100 μL (Autres quantités disponibles)
Destination: France
Envoi sous 9 à 11 jours ouvrables
 
PRG2 Reactivité: Humain WB Hôte: Souris Polyclonal unconjugated
N° du produit ABIN519158
651,20 €
Plus frais de livraison 40,00 € et TVA
50 μg
Destination: France
Envoi sous 8 à 9 jours ouvrables
 
PRG2 Reactivité: Humain WB, ELISA, IHC, IF Hôte: Lapin Polyclonal unconjugated
N° du produit ABIN7145674
328,90 €
Plus frais de livraison 40,00 € et TVA
100 μL (Autres quantités disponibles)
Destination: France
Envoi sous 11 à 15 jours ouvrables
 
PRG2 Reactivité: Humain, Rat, Cobaye IHC (p), IHC (fro) Hôte: Souris Monoclonal BMK-13 unconjugated
Pubmed 1 reference
N° du produit ABIN2473459
676,33 €
Plus frais de livraison 40,00 € et TVA
0.1 mg
Destination: France
Envoi sous 4 à 5 jours ouvrables
 
PRG2 Reactivité: Humain WB, IF (cc), IF (p) Hôte: Lapin Polyclonal AbBy Fluor® 750
N° du produit ABIN5009157
426,37 €
Plus frais de livraison 40,00 € et TVA
100 μL
Destination: France
Envoi sous 20 à 25 jours ouvrables
 
PRG2 Reactivité: Humain WB, IF (cc), IF (p) Hôte: Lapin Polyclonal AbBy Fluor® 680
N° du produit ABIN5009156
426,37 €
Plus frais de livraison 40,00 € et TVA
100 μL
Destination: France
Envoi sous 20 à 25 jours ouvrables
 
PRG2 Reactivité: Humain WB, IF (cc), IF (p) Hôte: Lapin Polyclonal AbBy Fluor® 488
N° du produit ABIN1694933
426,37 €
Plus frais de livraison 40,00 € et TVA
100 μL
Destination: France
Envoi sous 20 à 25 jours ouvrables
 
PRG2 Reactivité: Humain WB, IF (cc), IF (p) Hôte: Lapin Polyclonal AbBy Fluor® 555
N° du produit ABIN1696760
426,37 €
Plus frais de livraison 40,00 € et TVA
100 μL
Destination: France
Envoi sous 20 à 25 jours ouvrables
 
PRG2 Reactivité: Humain WB, IF (cc), IF (p) Hôte: Lapin Polyclonal AbBy Fluor® 350
N° du produit ABIN1693117
426,37 €
Plus frais de livraison 40,00 € et TVA
100 μL
Destination: France
Envoi sous 20 à 25 jours ouvrables
 
PRG2 Reactivité: Humain WB, ELISA, IHC (p), IF (cc), IF (p), IHC (fro), ICC Hôte: Lapin Polyclonal unconjugated
N° du produit ABIN1713886
357,70 €
Plus frais de livraison 40,00 € et TVA
100 μL
Destination: France
Envoi sous 8 à 12 jours ouvrables
 
PRG2 Reactivité: Humain WB, IF (cc), IF (p) Hôte: Lapin Polyclonal Cy3
N° du produit ABIN1702197
437,53 €
Plus frais de livraison 40,00 € et TVA
100 μL
Destination: France
Envoi sous 20 à 25 jours ouvrables
 
PRG2 Reactivité: Humain WB, ELISA, IHC (p), IHC (fro) Hôte: Lapin Polyclonal Biotin
N° du produit ABIN1700384
419,50 €
Plus frais de livraison 40,00 € et TVA
100 μL
Destination: France
Envoi sous 20 à 25 jours ouvrables
 
PRG2 Reactivité: Humain WB, IF (cc), IF (p) Hôte: Lapin Polyclonal AbBy Fluor® 647
N° du produit ABIN1698571
426,37 €
Plus frais de livraison 40,00 € et TVA
100 μL
Destination: France
Envoi sous 20 à 25 jours ouvrables
 
PRG2 Reactivité: Humain WB, IF (cc), IF (p) Hôte: Lapin Polyclonal Cy7
N° du produit ABIN1707777
437,53 €
Plus frais de livraison 40,00 € et TVA
100 μL
Destination: France
Envoi sous 20 à 25 jours ouvrables
 
PRG2 Reactivité: Humain WB, ELISA, IHC (p), IHC (fro) Hôte: Lapin Polyclonal HRP
N° du produit ABIN1711401
437,53 €
Plus frais de livraison 40,00 € et TVA
100 μL
Destination: France
Envoi sous 20 à 25 jours ouvrables
 
PRG2 Reactivité: Humain WB, IF (cc), IF (p) Hôte: Lapin Polyclonal FITC
N° du produit ABIN1709588
437,53 €
Plus frais de livraison 40,00 € et TVA
100 μL
Destination: France
Envoi sous 20 à 25 jours ouvrables
 
PRG2 Reactivité: Humain WB, IF (cc), IF (p) Hôte: Lapin Polyclonal Cy5.5
N° du produit ABIN1705819
437,53 €
Plus frais de livraison 40,00 € et TVA
100 μL
Destination: France
Envoi sous 20 à 25 jours ouvrables
 
PRG2 Reactivité: Humain WB, IF (cc), IF (p) Hôte: Lapin Polyclonal Cy5
N° du produit ABIN1704008
437,53 €
Plus frais de livraison 40,00 € et TVA
100 μL
Destination: France
Envoi sous 20 à 25 jours ouvrables
 
  • Type Primary
    • Primary
  • Application
    • Western Blotting (WB)
    • ELISA
    • Immunofluorescence (Cultured Cells) (IF (cc))
    • Immunofluorescence (Paraffin-embedded Sections) (IF (p))
    • Immunohistochemistry (IHC)
    • Immunohistochemistry (Paraffin-embedded Sections) (IHC (p))
    • Immunohistochemistry (Frozen Sections) (IHC (fro))
    • Immunofluorescence (IF)
    • Immunocytochemistry (ICC)
    • Enzyme Immunoassay (EIA)
    • Immunofluorescence (fixed cells) (IF/ICC)
  • Réactivité
    • Human
    • Mouse
    • Rat
    • Guinea Pig
    • Cow
  • Cité dans publications
  • Images disponible
  • Sans conservateur uniquement
  • Carrier free only
  • Hote
    • Rabbit
    • Mouse
  • Clonalité
    • Polyclonal
    • Monoclonal
  • Clone
    • BMK-13
    • BMK13
    • RB27160
  • Epitope
    • AA 51-150
    • AA 106-222
    • Internal Region
    • AA 105-222
    • AA 17-104
    • AA 323-352
    • Center
    • AA 1-222
    • AA 37-215
    • AA 80-219
    • AA 100-215
    • AA 151-195
    • AA 17-222
    • AA 316-344
  • Conjugué
    • Inconjugué
    • FITC
    • Biotin
    • HRP
    • AbBy Fluor® 350
    • AbBy Fluor® 488
    • AbBy Fluor® 555
    • AbBy Fluor® 594
    • AbBy Fluor® 647
    • AbBy Fluor® 680
    • AbBy Fluor® 750
    • Alexa Fluor 488
    • Alexa Fluor 555
    • Alexa Fluor 594
    • Alexa Fluor 647
    • Alexa Fluor 680
    • Alexa Fluor 750
    • Cy3
    • Cy5
    • Cy5.5
    • Cy7
    • PE
  • Isotype
    • IgG
    • IgG1
    • Ig Fraction
  • Format
    • Liquid
  • Supplier
    • antibodies-online
    • Signalway
    • Abbexa
    • USBio
    • Acris

Dernières publications pour nos PRG2 Anticorps

Singh, Chand, Banerjee, Agarwal, Raizada, Roy, Sopori: "Acetylcholinesterase Inhibitor Pyridostigmine Bromide Attenuates Gut Pathology and Bacterial Dysbiosis in a Murine Model of Ulcerative Colitis." dans: Digestive diseases and sciences, Vol. 65, Issue 1, pp. 141-149, (2020) (PubMed).

Roy, Ehrbar, Bohorova, Bohorov, Kim, Pauly, Whaley, Rong, Torres-Velez, Vitetta, Didier, Doyle-Meyers, Zeitlin, Mantis: "Rescue of rhesus macaques from the lethality of aerosolized ricin toxin." dans: JCI insight, Vol. 4, Issue 1, (2019) (PubMed).

Hashimoto, Kursewicz, Fayne, Nanda, Shah, Nattkemper, Yokozeki, Yosipovitch: "Pathophysiological mechanisms of itch in bullous pemphigoid." dans: Journal of the American Academy of Dermatology, (2019) (PubMed).

Hashimoto, Kursewicz, Fayne, Nanda, Shah, Nattkemper, Yokozeki, Yosipovitch: "Mechanisms of Itch in Stasis Dermatitis: Significant Role of IL-31 from Macrophages." dans: The Journal of investigative dermatology, (2019) (PubMed).

Costa, Trivellato, Rebech, Oliveira Dos Santos Maciel, Melo, Luvizotto, de Lima: "Eosinophilic inflammation in lymph nodes of dogs with visceral leishmaniasis." dans: Parasite immunology, Vol. 40, Issue 8, pp. e12567, (2018) (PubMed).

Gormley, Ona, Kapidzic, Garrido-Gomez, Zdravkovic, Fisher: "Preeclampsia: novel insights from global RNA profiling of trophoblast subpopulations." dans: American journal of obstetrics and gynecology, Vol. 217, Issue 2, pp. 200.e1-200.e17, (2017) (PubMed).

Bleyer, Curths, Dahlmann, Wichmann, Bauer, Moritz, Braun, Knauf, Kaup, Gruber-Dujardin: "Morphology and staining behavior of neutrophilic and eosinophilic granulocytes of the common marmoset (Callithrix jacchus)." dans: Experimental and toxicologic pathology : official journal of the Gesellschaft für Toxikologische Pathologie, (2016) (PubMed).

Vanheel, Vicario, Vanuytsel, Van Oudenhove, Martinez, Keita, Pardon, Santos, Söderholm, Tack, Farré: "Impaired duodenal mucosal integrity and low-grade inflammation in functional dyspepsia." dans: Gut, Vol. 63, Issue 2, pp. 262-71, (2014) (PubMed).

Pseudonymes pour PRG2 Anticorps

proteoglycan 2, bone marrow (Prg2) Anticorps
proteoglycan 2 (Prg2) Anticorps
proteoglycan 2, pro eosinophil major basic protein (PRG2) Anticorps
BMPG Anticorps
MBP Anticorps
MBP1 Anticorps
mMBP Anticorps
mMBP-1 Anticorps
Vous êtes ici:
Chat with us!