Tel:
+49 (0)241 95 163 153
Fax:
+49 (0)241 95 163 155
E-Mail:
orders@anticorps-enligne.fr

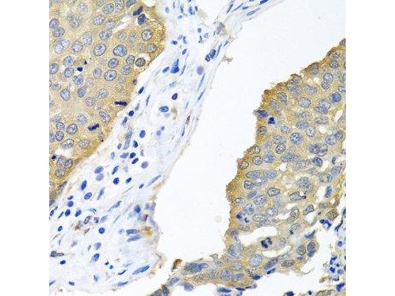
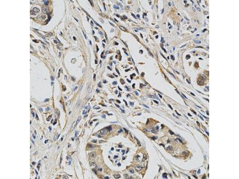
EIF4E anticorps (AA 1-100)

Il existe 2+ publications pour ce produit. L’anticorps anti-EIF4E Polyclonal Lapin est utilisé pour la détection de EIF4E dans des échantillons de Humain. Il a été validé pour WB, IHC, IF et IP.
N° du produit ABIN3023085
385,00 €
Plus frais de livraison 40,00 € et TVA
Destination: France
Envoi sous 8 à 10 jours ouvrables

Aperçu rapide pour EIF4E anticorps (AA 1-100) (ABIN3023085)

Antigène

Voir toutes EIF4E Anticorps
EIF4E (Eukaryotic Translation Initiation Factor 4E (EIF4E))

Reactivité

  • 150
  • 95
  • 83
  • 20
  • 5
  • 5
  • 4
  • 4
  • 3
  • 3
  • 2
  • 2
  • 2
  • 1
Humain

Hôte

  • 131
  • 19
  • 2
Lapin

Clonalité

  • 99
  • 53
Polyclonal

Conjugué

  • 65
  • 11
  • 8
  • 6
  • 6
  • 4
  • 4
  • 4
  • 4
  • 4
  • 4
  • 4
  • 3
  • 3
  • 2
  • 2
  • 2
  • 2
  • 2
  • 2
  • 2
  • 2
  • 2
  • 2
  • 2
Cet anticorp EIF4E est non-conjugé

Application

  • 130
  • 69
  • 51
  • 39
  • 34
  • 34
  • 32
  • 27
  • 26
  • 16
  • 7
  • 6
  • 2
  • 1
  • 1
Western Blotting (WB), Immunohistochemistry (IHC), Immunofluorescence (IF), Immunoprecipitation (IP)
  • Épitope

    • 55
    • 15
    • 8
    • 7
    • 6
    • 5
    • 4
    • 3
    • 2
    • 2
    • 2
    • 1
    • 1
    • 1
    • 1
    • 1
    • 1
    AA 1-100

    Séquence

    MATVEPETTP TPNPPTTEEE KTESNQEVAN PEHYIKHPLQ NRWALWFFKN DKSKTWQANL RLISKFDTVE DFWALYNHIQ LSSNLMPGCD YSLFKDGIEP

     Réactivité croisée

    Humain, Souris, Rat

    Attributs du produit

    Polyclonal Antibodies

    Purification

    Affinity purification

    Immunogène

    A synthetic peptide corresponding to a sequence within amino acids 1-100 of human eIF4E (NP_001959.1).

    Isotype

    IgG
  • Indications d'application

    WB,1:500 - 1:2000,IHC,1:50 - 1:100,IF,1:50 - 1:200,IP,1:50 - 1:100

    Restrictions

    For Research Use only
  • Format

    Liquid

    Buffer

    PBS with 0.02 % sodium azide,50 % glycerol, pH 7.3.

    Agent conservateur

    Sodium azide

    Précaution d'utilisation

    This product contains Sodium azide: a POISONOUS AND HAZARDOUS SUBSTANCE which should be handled by trained staff only.

    Conseil sur la manipulation

    Avoid freeze / thaw cycles

    Stock

    -20 °C

    Stockage commentaire

    Store at -20°C. Avoid freeze / thaw cycles.
  • Yang, Hu, Fan, Zhang, Zhong, Guo, Qin, Chen: "Picornavirus 2A protease regulates stress granule formation to facilitate viral translation." dans: PLoS pathogens, Vol. 14, Issue 2, pp. e1006901, (2018) (PubMed).

    Hu, Wang, Tang, Yang, Qin, Chen: "Inclusion bodies of human parainfluenza virus type 3 inhibit antiviral stress granule formation by shielding viral RNAs." dans: PLoS pathogens, Vol. 14, Issue 3, pp. e1006948, (2018) (PubMed).

  • Antigène

    EIF4E (Eukaryotic Translation Initiation Factor 4E (EIF4E))

    Autre désignation

    EIF4E

    Sujet

    The protein encoded by this gene is a component of the eukaryotic translation initiation factor 4F complex, which recognizes the 7-methylguanosine cap structure at the 5' end of messenger RNAs. The encoded protein aids in translation initiation by recruiting ribosomes to the 5'-cap structure. Association of this protein with the 4F complex is the rate-limiting step in translation initiation. This gene acts as a proto-oncogene, and its expression and activation is associated with transformation and tumorigenesis. Several pseudogenes of this gene are found on other chromosomes. Alternative splicing results in multiple transcript variants.,AUTS19,CBP,EIF4E1,EIF4EL1,EIF4F,eIF-4E,EIF4E,Epigenetics & Nuclear Signaling,Translation Control,Regulation of eIF4 and p70 S6 Kinase,Signal Transduction,Endocrine & Metabolism,Insulin Receptor Signaling Pathway,Immunology & Inflammation,Cardiovascular,Angiogenesis,EIF4E

    Poids moléculaire

    25 kDa/27 kDa/28 kDa

    ID gène

    1977

    UniProt

    P06730

    Pathways

    BCR Signaling
Vous êtes ici:
Chat with us!