Tel:
+49 (0)241 95 163 153
Fax:
+49 (0)241 95 163 155
E-Mail:
orders@anticorps-enligne.fr

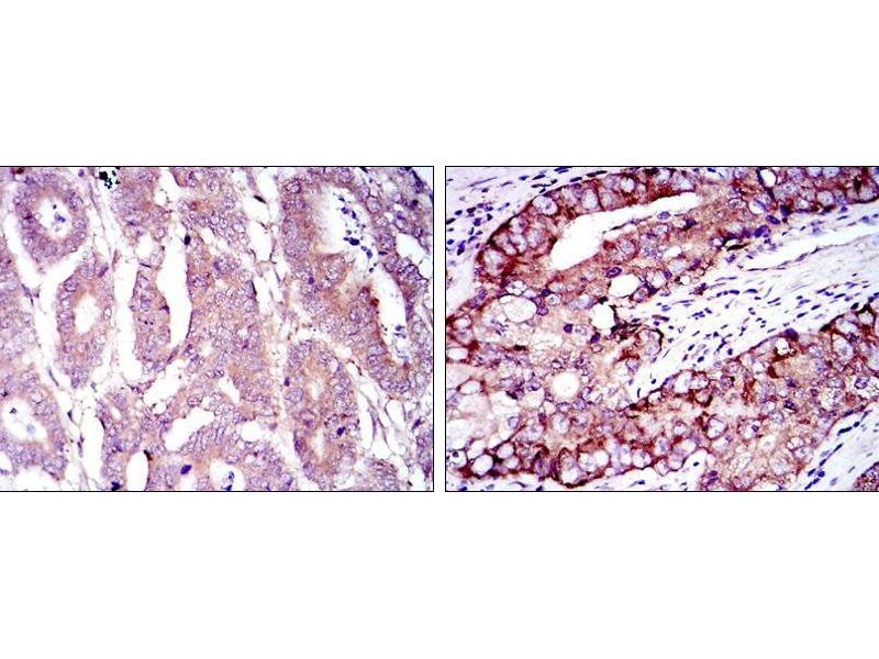
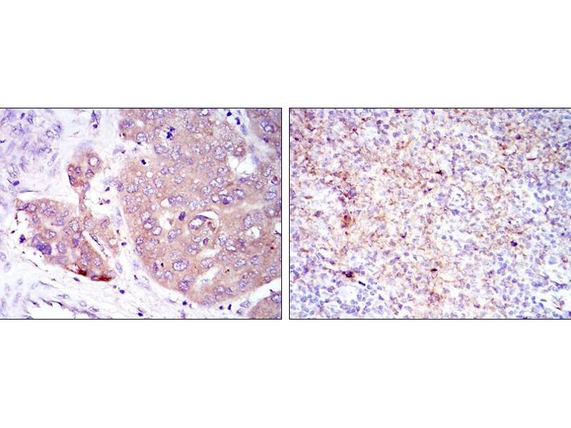
EIF4E anticorps

Cet anticorps Souris Monoclonal détecte spécifiquement EIF4E dans WB, IHC, ELISA, FACS et ICC. Il présente une réactivité avec des échantillons de Humain. Il a été cité dans 2+ publications.
N° du produit ABIN969094
498,33 €
Plus frais de livraison 40,00 € et TVA
100 μL
Destination: France
Envoi sous 7 à 10 jours ouvrables

Aperçu rapide pour EIF4E anticorps (ABIN969094)

Antigène

Voir toutes EIF4E Anticorps
EIF4E (Eukaryotic Translation Initiation Factor 4E (EIF4E))

Reactivité

  • 151
  • 95
  • 83
  • 20
  • 5
  • 5
  • 4
  • 4
  • 3
  • 3
  • 2
  • 2
  • 2
  • 1
Humain

Hôte

  • 132
  • 19
  • 2
Souris

Clonalité

  • 100
  • 53
Monoclonal

Conjugué

  • 66
  • 11
  • 8
  • 6
  • 6
  • 4
  • 4
  • 4
  • 4
  • 4
  • 4
  • 4
  • 3
  • 3
  • 2
  • 2
  • 2
  • 2
  • 2
  • 2
  • 2
  • 2
  • 2
  • 2
  • 2
Cet anticorp EIF4E est non-conjugé

Application

  • 131
  • 70
  • 50
  • 39
  • 37
  • 33
  • 33
  • 27
  • 26
  • 15
  • 7
  • 6
  • 2
  • 1
  • 1
Western Blotting (WB), Immunohistochemistry (IHC), ELISA, Flow Cytometry (FACS), Immunocytochemistry (ICC)

Clone

5D11
  • Fonction

    EIF4E Antibody

    Purification

    Ascitic fluid

    Immunogène

    Purified recombinant fragment of human EIF4E expressed in E. Coli.

    Isotype

    IgG1
  • Indications d'application

    ELISA: 1/10000

    FCM: 1/200 - 1/400

    ICC: 1/200 - 1/1000

    Restrictions

    For Research Use only
  • Format

    Liquid

    Buffer

    Ascitic fluid containing 0.03 % sodium azide.

    Agent conservateur

    Sodium azide

    Précaution d'utilisation

    This product contains Sodium azide: a POISONOUS AND HAZARDOUS SUBSTANCE which should be handled by trained staff only.

    Stock

    4 °C,-20 °C

    Stockage commentaire

    Store at 4°C short term. Aliquot and store at -20°C long term. Avoid freeze/thaw cycles.
  • Slepenkov, Korneeva, Rhoads: "Kinetic mechanism for assembly of the m7GpppG.eIF4E.eIF4G complex." dans: The Journal of biological chemistry, Vol. 283, Issue 37, pp. 25227-37, (2008) (PubMed).

    Holm, Byrnes, Johnson, Abreo, Sehon, Alley, Meschonat, Md, Li: "A prospective trial on initiation factor 4E (eIF4E) overexpression and cancer recurrence in node-negative breast cancer." dans: Annals of surgical oncology, Vol. 15, Issue 11, pp. 3207-15, (2008) (PubMed).

  • Antigène

    EIF4E (Eukaryotic Translation Initiation Factor 4E (EIF4E))

    Autre désignation

    EIF4E

    Sujet

    EIF4E, a protein modulates translation of maternal mRNAs in early embryos before the onset of zygotic transcription. eIF4E also influences the overall rate of translation. eIF4E binds to the 7 methyl GTP cap structure of eukaryotic mRNAs. Phosphorylation of eIF4E on serine 209 regulates the affinity of this protein for the 7 methyl GTP cap and/or RNA. Phosphorylation also enhances the interaction of eIF4E with eIF4G, which form a complex known as eIF4F. eIF4E phosphorylation is correlated with increased translational rate in a number of cell types. Several kinases are currently being investigated as potential regulators of eIF4E including PKC and/or the MAP kinase activated Mnk.

    Poids moléculaire

    25 kDa

    ID gène

    1977

    UniProt

    P06730

    Pathways

    BCR Signaling
Vous êtes ici:
Chat with us!