Tel:
+49 (0)241 95 163 153
Fax:
+49 (0)241 95 163 155
E-Mail:
orders@anticorps-enligne.fr

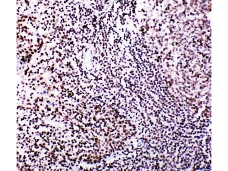
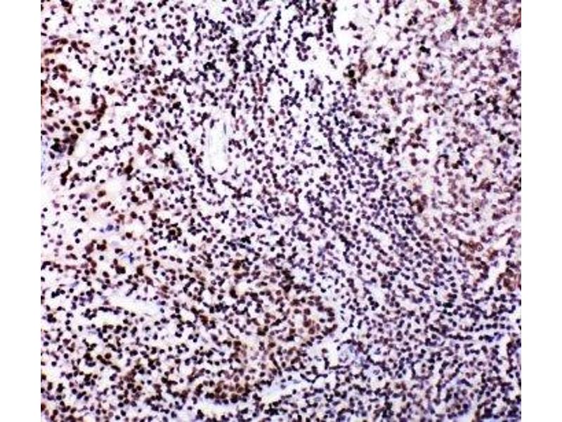
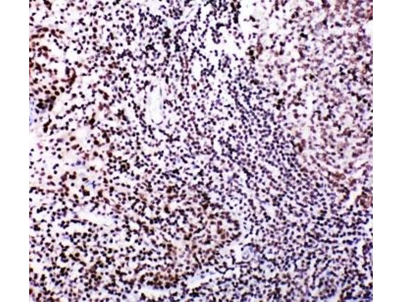
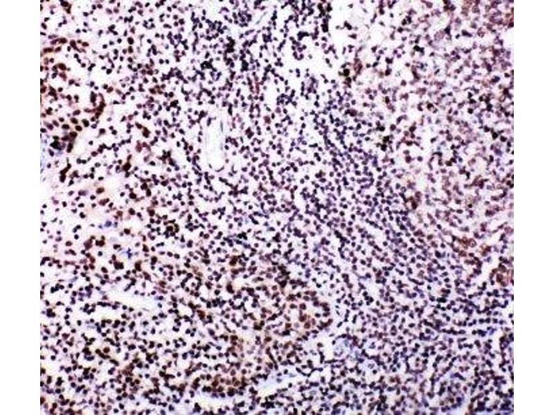
MYBL2 anticorps (N-Term)

Cet anticorps Lapin Polyclonal détecte spécifiquement MYBL2 dans WB, IHC (p) et ICC. Il présente une réactivité avec des échantillons de Humain, Rat et Souris.
N° du produit ABIN3029533
644,88 €
Plus frais de livraison 40,00 € et TVA
100 μg
Destination: France
Envoi sous 6 à 9 jours ouvrables

Aperçu rapide pour MYBL2 anticorps (N-Term) (ABIN3029533)

Antigène

Voir toutes MYBL2 Anticorps
MYBL2 (V-Myb Myeloblastosis Viral Oncogene Homolog (Avian)-Like 2 (MYBL2))

Reactivité

  • 95
  • 38
  • 38
  • 5
  • 4
  • 4
  • 4
  • 3
  • 3
  • 2
  • 2
  • 1
Humain, Rat, Souris

Hôte

  • 89
  • 6
  • 1
Lapin

Clonalité

  • 91
  • 5
Polyclonal

Conjugué

  • 43
  • 5
  • 5
  • 4
  • 3
  • 3
  • 3
  • 3
  • 3
  • 3
  • 3
  • 3
  • 3
  • 3
  • 3
  • 1
  • 1
  • 1
  • 1
  • 1
  • 1
Cet anticorp MYBL2 est non-conjugé

Application

  • 46
  • 39
  • 39
  • 31
  • 17
  • 13
  • 10
  • 9
  • 7
  • 6
  • 2
  • 1
  • 1
  • 1
  • 1
Western Blotting (WB), Immunohistochemistry (Paraffin-embedded Sections) (IHC (p)), Immunocytochemistry (ICC)
  • Épitope

    • 21
    • 15
    • 15
    • 7
    • 7
    • 5
    • 5
    • 3
    • 3
    • 3
    • 2
    • 2
    • 2
    • 2
    • 2
    • 1
    • 1
    • 1
    • 1
    • 1
    • 1
    • 1
    • 1
    N-Term

    Purification

    Antigen affinity

    Immunogène

    An amino acid sequence from the N-terminus of human MYBL2/B-MYB (MSRRTRCEDLDELHYQD) was used as the immunogen for this MYBL2 antibody (100% mouse homology).

    Isotype

    IgG
  • Indications d'application

    The stated application concentrations are suggested starting amounts. Titration of the MYBL2 antibody may be required due to differences in protocols and secondary/substrate sensitivity.\. Western blot: 0.5-1 μg/mL,IHC (Paraffin): 0.5-1 μg/mL,Immunocytochemistry: 0.5-1 μg/mL

    Restrictions

    For Research Use only
  • Buffer

    0.5 mg/mL if reconstituted with 0.2 mL sterile DI water

    Stock

    -20 °C

    Stockage commentaire

    After reconstitution, the MYBL2 antibody can be stored for up to one month at 4°C. For long-term, aliquot and store at -20°C. Avoid repeated freezing and thawing.
  • Antigène

    MYBL2 (V-Myb Myeloblastosis Viral Oncogene Homolog (Avian)-Like 2 (MYBL2))

    Autre désignation

    MYBL2

    Sujet

    V-MYB avian myeloblastosis viral oncogene homolog-like 2, also called MYB-related gene B-MYB, is a protein that in humans is encoded by the MYBL2 gene. The protein encoded by this gene, a member of the MYB family of transcription factor genes, is a nuclear protein involved in cell cycle progression. Barletta et al.(1991) assigned the gene to chromosome Xq13. However, Noben-Trauth et al.(1996) demonstrated that this assignment was an error. Using mouse Mybl2 cDNA clones as probes, they assigned the gene in an interspecific backcross panel to distal mouse chromosome 2. Using human cDNA probes in combination with fluorescence in situ hybridization analysis, they localized MYBL2 to chromosome 20q13.1, a region that is commonly deleted in myeloid disorders and shows high homology of Synteny to mouse chromosome 2. It has been shown to activate the cell division cycle 2, Cyclin D1, and Insulin-like growth factor-binding protein 5 genes. Transcript variants may exist for this gene, but their full-length natures have not been determined.

    UniProt

    P10244

    Pathways

    Cycle Cellulaire, Mitotic G1-G1/S Phases, Chromatin Binding
Vous êtes ici:
Chat with us!