Tel:
+49 (0)241 95 163 153
Fax:
+49 (0)241 95 163 155
E-Mail:
orders@anticorps-enligne.fr

ADAM19 anticorps (N-Term)

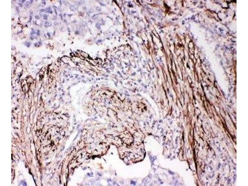
L’anticorps anti-ADAM19 Polyclonal Lapin est utilisé pour la détection de ADAM19 dans des échantillons de Humain, Souris et Rat. Il a été validé pour WB et IHC (p).
N° du produit ABIN3029861
644,88 €
Plus frais de livraison 40,00 € et TVA
100 μg
Destination: France
Envoi sous 6 à 9 jours ouvrables

Aperçu rapide pour ADAM19 anticorps (N-Term) (ABIN3029861)

Antigène

Voir toutes ADAM19 (Adam19) Anticorps
ADAM19 (Adam19) (ADAM Metallopeptidase Domain 19 (Adam19))

Reactivité

  • 45
  • 12
  • 9
  • 4
  • 4
  • 3
  • 3
  • 3
  • 3
  • 2
  • 1
  • 1
  • 1
Humain, Souris, Rat

Hôte

  • 43
  • 1
  • 1
  • 1
Lapin

Clonalité

  • 44
  • 1
Polyclonal

Conjugué

  • 21
  • 2
  • 1
  • 1
  • 1
  • 1
  • 1
  • 1
  • 1
  • 1
  • 1
  • 1
  • 1
  • 1
  • 1
  • 1
  • 1
  • 1
  • 1
  • 1
  • 1
  • 1
  • 1
  • 1
  • 1
Cet anticorp ADAM19 est non-conjugé

Application

  • 38
  • 13
  • 13
  • 10
  • 7
  • 6
  • 3
  • 3
  • 2
  • 2
Western Blotting (WB), Immunohistochemistry (Paraffin-embedded Sections) (IHC (p))
  • Épitope

    • 15
    • 4
    • 2
    • 2
    • 2
    • 2
    • 1
    • 1
    • 1
    • 1
    • 1
    • 1
    • 1
    • 1
    • 1
    N-Term

    Purification

    Antigen affinity

    Immunogène

    An amino acid sequence from the N-terminus of human A Disintegrin and Metalloproteinase Domain 19 (RRKLLAQKYHDNA) was used as the immunogen for this ADAM19 antibody.

    Isotype

    IgG
  • Indications d'application

    The stated application concentrations are suggested starting amounts. Titration of the ADAM19 antibody may be required due to differences in protocols and secondary/substrate sensitivity.\. Western blot: 0.5-1 μg/mL,IHC (Paraffin): 0.5-1 μg/mL

    Restrictions

    For Research Use only
  • Buffer

    0.5 mg/mL if reconstituted with 0.2 mL sterile DI water

    Stock

    -20 °C

    Stockage commentaire

    After reconstitution, the ADAM19 antibody can be stored for up to one month at 4°C. For long-term, aliquot and store at -20°C. Avoid repeated freezing and thawing.
  • Antigène

    ADAM19 (Adam19) (ADAM Metallopeptidase Domain 19 (Adam19))

    Autre désignation

    ADAM19

    Sujet

    A Disintegrin and Metalloproteinase Domain 19, also known as MLTNB, is a human gene. This gene encodes a member of the ADAM family. Members of this family are membrane-anchored proteins structurally related to snake venom disintegrins, and have been implicated in a variety of biological processes involving cell-cell and cell-matrix interactions, including fertilization, muscle development, and neurogenesis. This member is a type I transmembrane protein and serves as a marker for dendritic cell differentiation. It has also been demonstrated to be an active metalloproteinase, which may be involved in normal physiological and pathological processes such as cells migration, cell adhesion, cell-cell and cell-matrix interactions, and signal transduction. Hirohata et al.(1998) used radiation hybrids to map ADAM19 to mouse chromosome 11 and to human chromosome 5q32-q33.

    UniProt

    Q9H013
Vous êtes ici:
Chat with us!