Tel:
+49 (0)241 95 163 153
Fax:
+49 (0)241 95 163 155
E-Mail:
orders@anticorps-enligne.fr

M-CSF/CSF1 anticorps (AA 33-262)

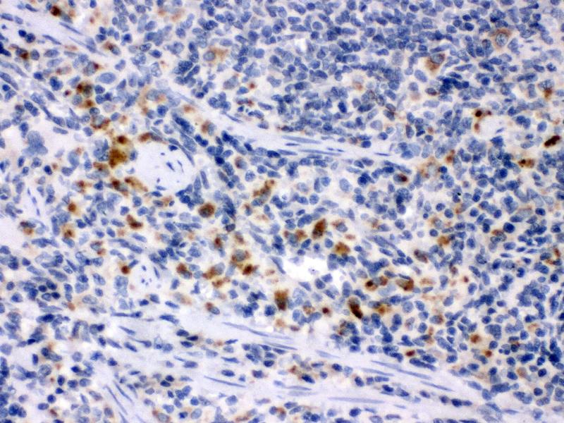
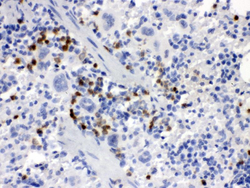
Cet anticorps Lapin Polyclonal détecte spécifiquement M-CSF/CSF1 dans ELISA et IHC. Il présente une réactivité avec des échantillons de Souris et Rat.Il a été cité dans 1 publication.
N° du produit ABIN3042763
500,50 €
Plus frais de livraison 40,00 € et TVA
100 μg
Destination: France
Envoi sous 8 à 12 jours ouvrables

Aperçu rapide pour M-CSF/CSF1 anticorps (AA 33-262) (ABIN3042763)

Antigène

Voir toutes M-CSF/CSF1 (CSF1) Anticorps
M-CSF/CSF1 (CSF1) (Colony Stimulating Factor 1 (Macrophage) (CSF1))

Reactivité

  • 115
  • 45
  • 13
  • 9
  • 6
  • 5
  • 3
  • 2
  • 1
Souris, Rat

Hôte

  • 105
  • 20
  • 5
  • 3
  • 3
  • 2
Lapin

Clonalité

  • 93
  • 41
  • 2
Polyclonal

Conjugué

  • 65
  • 11
  • 10
  • 5
  • 5
  • 4
  • 3
  • 3
  • 3
  • 3
  • 3
  • 3
  • 2
  • 1
  • 1
  • 1
  • 1
  • 1
  • 1
  • 1
  • 1
  • 1
  • 1
  • 1
  • 1
  • 1
  • 1
  • 1
  • 1
Cet anticorp M-CSF/CSF1 est non-conjugé

Application

  • 87
  • 46
  • 43
  • 19
  • 18
  • 17
  • 13
  • 13
  • 12
  • 11
  • 10
  • 6
  • 4
  • 2
  • 2
  • 1
  • 1
  • 1
ELISA, Immunohistochemistry (IHC)
  • Épitope

    • 15
    • 9
    • 7
    • 5
    • 3
    • 3
    • 2
    • 2
    • 2
    • 2
    • 2
    • 2
    • 2
    • 1
    • 1
    • 1
    • 1
    • 1
    • 1
    AA 33-262

    Fonction

    Anti-MCSF/CSF1 Antibody

    Réactivité croisée (Details)

    No cross-reactivity with other proteins

    Attributs du produit

    Anti-MCSF/CSF1 Antibody (ABIN3042763). Tested in ELISA, IHC applications. This antibody reacts with Mouse, Rat.

    Purification

    Immunogen affinity purified.

    Immunogène

    E. coli-derived mouse MCSF recombinant protein (Position: K33-E262). Mouse MCSF shares 80.9 % and 88.6% amino acid (aa) sequence identity with human and rat MCSF, respectively.

    Isotype

    IgG
  • Indications d'application

    ELISA, 0.1-0.5 μg/mL, -
    Immunohistochemistry (Paraffin-embedded Section), 0.5-1 μg/mL, Mouse, Rat

    Commentaires

    Antibody can be supported by ABIN921231 in IHC(P).

    Restrictions

    For Research Use only
  • Format

    Lyophilized

    Reconstitution

    Add 0.2 mL of distilled water will yield a concentration of 500 μg/mL.

    Concentration

    500 μg/mL

    Buffer

    Each vial contains 5 mg BSA, 0.9 mg NaCl, 0.2 mg Na2HPO4, 0.05 mg Sodium azide.

    Agent conservateur

    Sodium azide

    Précaution d'utilisation

    This product contains Sodium azide: a POISONOUS AND HAZARDOUS SUBSTANCE which should be handled by trained staff only.

    Conseil sur la manipulation

    Avoid repeated freezing and thawing.

    Stock

    4 °C,-20 °C

    Stockage commentaire

    Store at -20°C for one year from date of receipt. After reconstitution, at 4°C for one month.
    It can also be aliquotted and stored frozen at -20°C for six months. Avoid repeated freeze-thaw cycles.
  • Pei, Sun, Zhang, Wang, Ren: "Interstitial tumor-associated macrophages combined with tumor-derived colony-stimulating factor-1 and interleukin-6, a novel prognostic biomarker in non-small cell lung cancer." dans: The Journal of thoracic and cardiovascular surgery, Vol. 148, Issue 4, pp. 1208-1216.e2, (2015) (PubMed).

  • Antigène

    M-CSF/CSF1 (CSF1) (Colony Stimulating Factor 1 (Macrophage) (CSF1))

    Autre désignation

    Csf1

    Sujet

    Synonyms: Macrophage colony-stimulating factor 1,CSF-1,MCSF,Processed macrophage colony-stimulating factor 1,Csf1,Csfm,

    Tissue Specificity: Non-neural epithelial tissues.

    Background: M-CSF (or CSF-1) is a hematopoietic growth factor that is involved in the proliferation, differentiation, and survival ofmonocytes, macrophages, and bone marrow progenitor cells. M-CSF affects macrophages and monocytes in several ways, including stimulating increased phagocytic and chemotactic activity, and increased tumour cell cytotoxicity. The role of M-CSF is not only restricted to the monocyte/macrophage cell lineage. By interacting with its membrane receptor (CSF1R or M-CSF-R encoded by the c-fms proto-oncogene), M-CSF also modulates the proliferation of earlier hematopoietic progenitors and influence numerous physiological processes involved in immunology, metabolism, fertility and pregnancy.

    Sequence Similarities: Contains 5 cadherin domains.

    Poids moléculaire

    130 kDa

    ID gène

    12977

    UniProt

    P07141

    Pathways

    Signalisation RTK
Vous êtes ici:
Chat with us!